AOTRAUMA.ORG Центр Илизарова  

Ортопедия и травматология Общие вопросы/General questions Help Информационные технологии в медицине
 вверх
 отправить
 поиск
 админ
 главная


Застарелый вывих бедра (7 мес)
Ортопедия и травматология Отправлено Иван Марков 05 Май 2005, 18:50 Уральский НИИТО
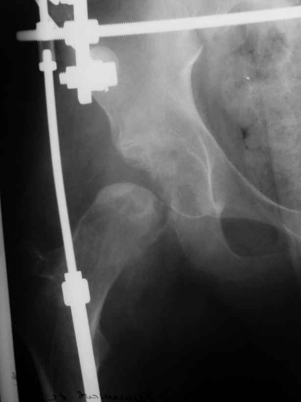
Здравствуйте. К нам поступил мальчик 15 лет с застарелым 7-месячным вывихом бедра из области. Травма мотоциклетная, при поступлении в больницу по месту жительства диагностирован перелом диафиза бедра и не распознан вывих бедра с этой же стороны.
Бедро было синтезировано пластиной и успешно срослось. Как поступить сейчас с вывихом? По КТ видны интерпонированные отломки, впечатление что это фрагменты головки бедра. Поделитесь, пожалуста, опытом. Спасибо.


<  |  >

 

  • Сообщения о Ортопедия и травматология
  • Также Иван Марков
  • Связаться с автором
  • Ответить

    Re: Застарелый вывих бедра (7 мес)
    Mike Shnider 05 Май 2005, 22:30
    Я бы наверно решился бы (с дрожащими коленками )-на resurfacing.У кого либо есть сомнения насчет жизнеспособности сустава?Как по-русски resurfacing?
    [ Ответить ]

    • Re: Застарелый вывих бедра (7 мес)
      Отправитель: Alexander Chelnokov 05 Май 2005, 22:38
      Бирмингемская артропластика? ;-)








      [ Ответить ]
    Re: Застарелый вывих бедра (7 мес)
    Смирнов Алексей 05 Май 2005, 23:06
    Мы бы поступили так: наложили аппарат таз-бедро, постепенно низвели бы головку бедра до уровеня впадины, после чего - открытое вправление вывиха, с сохранением аппарата для последующего удержания головки во впадине. На эндопротезирование пока рука бы не поднялась. Хотя в нашем институте богатый опыт эндопротезирования головки бедренной кости титановыми конусовидными эндопротезами,но слишком уж молодой пациент.
    [ Ответить ]

    Re: Застарелый вывих бедра (7 мес)
    mark eidelman 10 Май 2005, 02:40
    What happened with femoral head?AVN?Plain x ray uncertain.
    [ Ответить ]

    Re: Застарелый вывих бедра (7 мес)
    Денис Елкин, ГКБ№31, Москва 12 Май 2005, 02:09
    По-моему варианты с вправлением вывиха бесперспективны, вследствие явных признаков (КТ) асептического некроза головки. Все равно повторной операции - эндопротезирования - не избежать. А оперировать по старым рубцам потом будет сложнее. Поэтому, целесообразным представляется все-таки первичное тотальное эндопротезирование. Учитывая срок травмы и возраст, думаю, удастся компенсировать укорочение одномоментно. В противном случае лучшие годы жизни 15-20 лет парень может провести инвалидом и упустить массу возможностей. Жалко.


    [ Ответить ]

    Re: Застарелый вывих бедра (7 мес)
    Dmitry Vasilistov 14 Май 2005, 02:15
    Странно, что Денис Елкин не говорит о необходимости оперировать по старым рубцам в процессе износа эндопротеза и последующих заменах компонентов.
    В то же время имеются многочисленные свидетельства о несоответствии рентгенологической картины - грибовидная, деформированная головка и функционального результата - удовлетворительный объем движений и отсутствие болевого синдрома у подростков , перенесших болезнь Пертеса.
    Думается, в данном случае необходимо приложить усилия к сохранению проксимального отдела бедра, что предполагает низведения головки до уровня впадины спицестержневым аппаратом с последующим открытым вправлением вывиха (несмотря на перспективу АВН головки).
    Фрагменты в проекции вертлужной впадины кажутся задненижним сектором голоки бедра
    Согласен с тем, что впоследствии (в более зрелом возрасте) все таки эндопротезирования избежать не удасться
    [ Ответить ]

    • Re: Застарелый вывих бедра (7 мес)
      Отправитель: Денис Елкин, ГКБ 31, Москва 18 Май 2005, 02:17
      Странно, что Dmitry не упоминает о многочисленных свидетельствах длительного функционирования надежных и долговечных эндопротезов без клинически и рентгенологически значимых признаков износа. А также о том, что многочисленные пациенты с сожалением вспоминаю упущенные годы полноценной жизни. Но те, с кем нам приходится иметь дело, не имели альтернативы лет 12-15 назад, в связи с отсутствием надлежащего качества эндопротезов, но сейчас-то альтернатива есть! А вот длительная выживаемость конструкций, установленных при сильных анатомических изменениях с грибовидной деформацией, скошенностью и уплощением вертлужной впадины с ее склерозом, будет более сомнительной. Хотя все в этом мире относительно - многое определяется потребностями пациента и его планами на дальнейшую жизнь.

      [ Ответить ]
    Re: Застарелый вывих бедра (7 мес)
    Иван Марков 16 Май 2005, 12:13
    Уважаемые коллеги! Две недели назади мы прооперировали данного пациента: монтаж аппарата таз-бедро (с двусторонней фиксацией за крылья) и постепенная дистракция. Достигнуто низведение бедра.
    планируется открытое вправление вывиха с удалением интерпонированных тканей.







    [ Ответить ]

    • Re: Застарелый вывих бедра (7 мес)
      Отправитель: Alexey Mozgounov 17 Май 2005, 01:31
      Dear Иван,

      И кончится все костно-фиброзным анкилозом...
      К сожалнению...
      Или я не прав???
      :-)
      В любом случае покажите отдаленные результатыв, ежели не затруднит...

      --
      Best regards,

      [ Ответить ]
    Re: Застарелый вывих бедра (7 мес)
    Dmitry Vasilistov 18 Май 2005, 03:06
    Наконец то и мы дозрели до западного типа мышления при лечения патологии тазобедренного сустава, малейшие признаки несостоятельности функции рождают пионерские настроения избавиться от перипетий длительной, требующей совместных ( врача и пациента) лечебных и реабилитационных усилий. Гораздо проще и главное экономически выгоднее произвести удаление «негодного» отдела бедра, заменив его эндопротез надлежащего качества и соответственно надлежащей стоимости. Интересно, что даже в США такие операция надолго загоняют пациента в долговую яму, видимо с целью стимуляции его двигательной активности по поиску новых источников финансирования компаний, занимающихся производством протезов тазобедренного сустава.

    Если я не прав приведите, пожалуйста, статистику исходов и стоимости лечения данной патологии различными методиками.

    [ Ответить ]

    • Re: Застарелый вывих бедра (7 мес)
      Отправитель: Александр Сабсай 19 Май 2005, 09:38
      В нашем опыте имеется случай успешного закрытого вправления застарелого задневерхнего вывиха прав.бедра 2,5 летней давности,также сочетавшегося с синтезированным в раннем сроке переломом с/3 бедра у парня 17 лет.Честно говоря,взялись тогда за лечение с огромным сомнением в хорошем исходе.Использовали спице-стержневую фиксацию дуги аппарата Илизарова на подвздошной кости и 2 кольца со спицами на бедре.На удивление очень легко удалось низвести головку до уровня вертл.впадины,а дальше решили попробовать втолкнуть головку в неё закрытым путём,перемещая медиально среднее кольцо аппарата относительно дуги и дистального кольца.При этом были сомнения относительно выполнимости такого замысла по причине возможного заполнения впадины рубцовой тканью.С помощью аксиальных р-грамм и ротационной подгонки(внутр.ротации) в аппарате удалось точно совместить головку с входом в acetabulum,после чего начали собственно перемещение,которое пришлось временно приостановить из-за начавшегося вырывания спиц и стержней из подвздошной кости.Тогда мы их удалили и наложили вокруг таза гипсовый пояс,в который жёстко вгипсовали ту же дугу аппарата с зафиксированными в ней резьбовыми стержнями для лучшего крепления в гипсе,и так же,как и прежде, соединили её с кольцом на подвертельной обл. бедра.Задав после этого усилие на медиальное перемещение бедра,к нашему удивлению удалось довольно легко вставить головку во впадину,после чего столкнулись ещё с одним обстоятельством:при задне-верхнем вывихе головке некуда встать,из-за чего бедро ротируется кнаружи почти на 90 град.,а хирурги,выполнявшие остеосинтез и не подозревавшие о наличии вывиха,установили дистальный отломок так,чтобы стопа "смотрела" вперёд,т.е.с внутренней торсией 90 град.Естественно,после вправления вывиха это сразу проявилось.Во вправленном положении продержали бедро в аппарате 6 нед.,после чего без всякой надежды,на всякий случай начали разработку движений в суставе.Это было невероятно,но движения пошли - и отведение,и сгибание-разгибание.Спустя 4 мес.,после достижения умерен.объёма движений, произвели на границе с/3 и н/3 бедра малоинвазивную перфорационную остеоклазию с наложеним на бедро ап.Илизарова из 3-х колец,в котором дозированно произвели деротацию бедра с последующим сращением.В процессе наблюдения через 3 года на р-грамме костная структура головки сохранена,движения в удовлетв.объёме

      [ Ответить ]
    • Re: Застарелый вывих бедра (7 мес)
      Отправитель: Денис Елкин 20 Май 2005, 02:33
      Уважаемый Dmitry, не хочется расширять дискуссию, но отмечу, что глубокий анализ исходов и даже стоимости лечения, если рассматривать ее широко и полноценно - это объем работы на докторскую диссертацию. А вот смотреть на зарубежный опыт с презрением все-таки не стоит. Даже если пациент вынужден лезть в долговую яму, он выберет менее глубокую, поскольку "перипетии длительной, требующей совместных (врача и пациента) лечебных и реабилитационных усилий" тоже кто-то оплачивает. Если это понятно и за океаном и в Европе (где, кстати, все расходы покрывает страховая компания), то почему это не пора понять и нам. Если не поймем сами, государство нам поможет, заставив выполнять стандарты и экономически наказывая за превышение затрат на лечение пациента. Нас это уже касается ближе некуда, вас, похоже еще нет. Поэтому не говорите с иронией, что "Мы дозрели..", говорите за себя.
      А уж разговоры об источниках финансирования производителей эндопротезов и вообще смахивают на обвинение в пособничестве мировому экономическому проглобализму, которого мы все как огня боимся:)

      [ Ответить ]
    Re: Застарелый вывих бедра (7 мес)
    ильдар 27 Февраль 2006, 01:26
    у нас был такой же случай.Мы сделали попытку закрытого вправления,но т.к.закрыто не получилось вправили открыто и наложили скелетное вытяжение на 2 месяца,затем 4 месяца разработка движнений без нагрузки.

    [ Ответить ]


    ( Ответить )

    Powered by Zope  Squishdot Powered MedLink
    Посетитель: 0000111
      "По форме правильно, а по существу - издевательство" В.И.Ленин
    ©2001-2019Orthoforum Coordinator.
    [ Главная | Отправить сообщение | Поиск | Админ ]