AOTRAUMA.ORG Центр Илизарова  

Ортопедия и травматология Общие вопросы/General questions Help Информационные технологии в медицине
 ВХОД ДЛЯ ПАЦИЕНТОВ
 вверх
 поиск
 админ
 главная
 исходное
 последующие


Re: застарелый вывих бедра
послал Рашид Муртузалиевич Тихилов 19 Май 2005, 23:11
Уважаемый Д-р Рунков,
Вы затронули очень интересный вопрос который до настоящего времени толком не решен. Мы проанализировали лечение 56 пациентов с различными травмами вертлужной впадины и подготовили статью, которую планируем опубликовать во 2-м номере ж-ла "Травматология и ортопедия России".
Коротко по сути Ваших вопросов.

РАВ> Уважаемый Рашид Муртузалиевич,
РАВ> Есть ли у Вас примеры установки протеза при обширных дефектах впадины?
РАВ> Какой был самый большой дефицит задней колонны, какой срок наблюдения,
РАВ> довольны ли Вы результатом?

Максимальные сроки наблюдения 5-6 лет. С появлением современных эндопротезов результаты сравнимы с первичным протезированием при обычном КА. Но, каждая операция нестандартная и требуется
тщательнейшее планирование каждого шага и необходимо иметь несколько запасных вариантов.

РАВ> Существуют ли рекомендации по эндопротезированию с дефектами впадины,
РАВ> с указанием количественных характеристик дефекта и его расположения?

Схематично можно сказать так - если есть контакт с 60% и более ВВ, то этого достаточно для последующей биологической фиксации чашки. Опять же НО, мы стараемся "подрыться" фрезами так, что бы был приемлимый упор чашки, а фиксация аутотрансплантата головки была прочной без каких либо дефектов и зазоров.

РАВ> В предлагаемой ситуации имеется последствия перелома задней колонны,
РАВ> что значительно больше усугубляет ситуацию, чем банальный дефект
РАВ> заднего края, и костного материала из головки может просто не хватить,
РАВ> тем более что в таком случае как раз вся нагрузка должна лечь на эту
РАВ> несчастную костную пластику.

Если у Вас есть дефект крыши, то никакая пластика не выдержит, лучше сразу ставить опорные кольца, все зависит от локализации костного дефекта.

РАВ> Наколько оправданы такие опасения, на Ваш
РАВ> взгляд?

Такие опасения абсолютно оправданы.
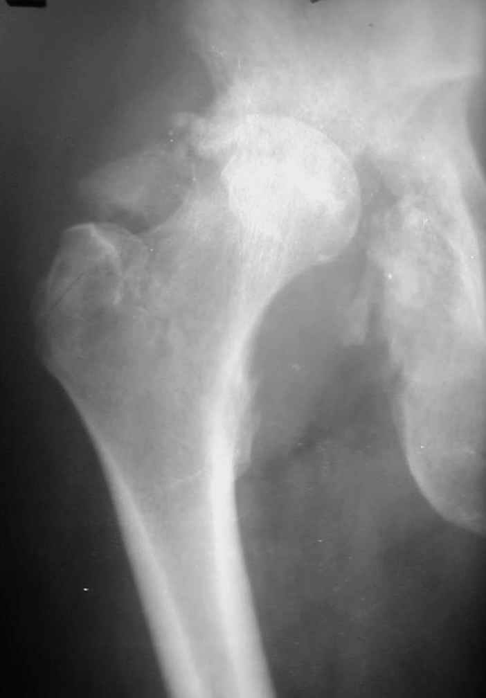
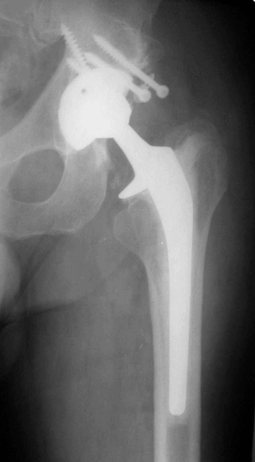
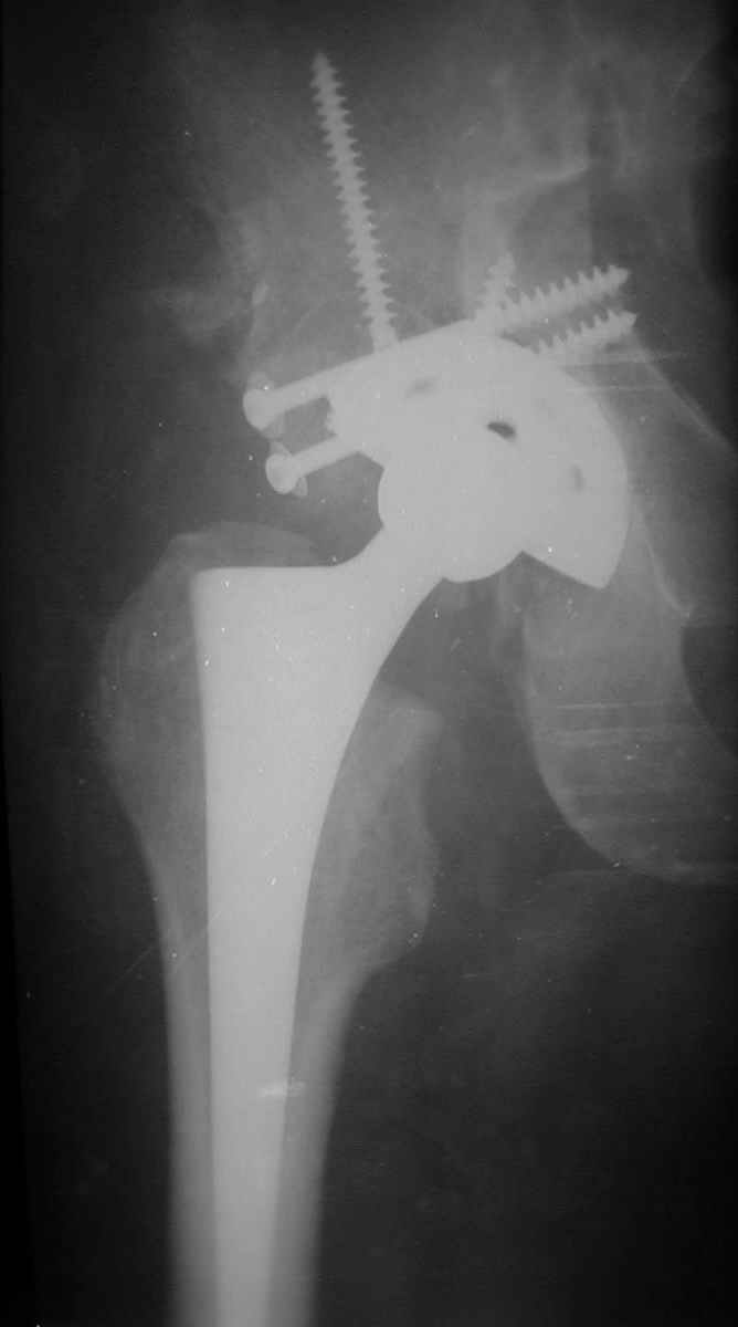
В институте совместно с фирмой Зиммер достаточно регулярно (практически ежемесячно) проводятся 2-х недельные циклы по различным вопросам эндопротезирования. Если есть возможность и желание, мы готовы поделиться с Вами нашим опытом, тем более есть что показать и что обсудить - в настоящее время ежедневно выполняется от 6 до 10 эндопротезирований коленного и тазобедренного сустава. В качестве примеров хочу показать 2 наблюдения, через 1 год и 5 лет после операции

С уважением, Р.Тихилов

























1 год







5 лет




Послать ответ

Имя
Email
Уведомление Сообщить мне по e-mail об ответах на это сообщение
Название
Комментарий
(Проверьте URL! Не забудьте написать http://!)
Кодировка
Если не знаете, что выбрать, выберите "Просто текст"!
Приложение
Можно приложить к сообщению файл c изображением, который затем будет доступен увидевшим сообщение.
Подготовка иллюстраций:
  • Рентгенограммы: черно-белые полутоновые изображения в формате JPEG (8 bit, greyscale) с разрешением от 300х200 до 1024х768 пикселов;
  • Клинические фотографии: полноцветные изображения в формате JPEG (24 bit, truecolor) с разрешением от 300х200 до 1024х768 пикселов;
  • Схемы и рисунки: черно-белые (2 bit) штриховые (line-art) изображения в формате GIF или compressed TIFF
  • Подберите степень сжатия файла JPEG и размер изображения таким образом, чтобы необходимые детали были различимы, но размер файла не превышал 75 кб.
  • Учтите, что текущая версия программного обеспечения Форума позволяет приложить к одному сообщению лишь один файл-вложение. Поэтому, если необходимо отправить несколько изображений, можно либо послать каждое как отдельное сообщение, либо в графическом редакторе объединить изображения в одно (сделать коллаж).
  • Если при подготовке изображений встречаются трудности, не стесняйтесь обратиться к координатору Форума.

  • Введите видимые символы в обратном порядке. Enter the above characters in reverse order (*Обязательно)
    В тексте сообщения можно использовать теги HTML <B> <I> <P> <A> <LI> <OL> <UL> <EM> <BR> <TT> <HR> <STRONG> <BLOCKQUOTE> <DIV .*> <DIV> <P .*>
  • Обратите внимание: Поля с жирными названиями обязательны.
  • Старайтесь отвечать в рамках обсуждаемой темы, а не начинать новые обсуждения.
  • Указывайте адекватную тему сообщения, чтобы было ясно, о чем оно.
  • Не послайте сообщений не по теме (оффтопик), раздраженных, грубых или обидных комментариев. Здесь это неуместно.
  • Powered by Zope  Squishdot Powered MedLink
    Посетитель: 0147250
      "По форме правильно, а по существу - издевательство" В.И.Ленин
    ©2001-2019Orthoforum Coordinator.
    [ Главная | Отправить сообщение | Поиск | Админ ]