AOTRAUMA.ORG Центр Илизарова  

Ортопедия и травматология Общие вопросы/General questions Help Информационные технологии в медицине
 вверх
 отправить
 поиск
 админ
 главная
 Предыдущее


Re: Otkrity perelom (OI)
Alexander Artemiev 29 Май 2005, 13:14
Здравствуйте.
1. Хотелось бы посмотреть рентгенограммы после фиксации в
аппарате. Ну и основной вопрос - жизнеспособна ли стопа.
2. Закрытие раны по задней поврехности голени обычно не
представляет проблем. Можно использовать и расщепленный лоскут.
3. Определитесь с функцией голеностпоного сустава.
4. Что касается замещения дефекта б/б кости величиной 10 см, то
я бы рассматривал три варианта:
- замещение малоберцовой костью в аппарате (спицами с упорными
площадками)
- пересадка кости и лоскута на сосудистой ножке (если есть
такая возможность).
- постепенное сближение (но ни в коем случае не одномоментное)
отломков до полного контакта с одновременным удлинением гоелни
в проксимальном отделе.

Дополнительная информация может вызвать дополнительныевопросы и
комментарии.
С уважением Александр Артемьев
  • Сообщения о Ортопедия и травматология
  • Также Alexander Artemiev
  • Связаться с автором
  • Ответить

    Re: Otkrity perelom (OI)
    Dr. Castro 29 Май 2005, 21:36
    Zdrastvuete Dr. A. Arteimev,
    Sposibo za Vashe viskazivanie,
    1. Chto kasaetsa snimkov bolnogo to oni budut segodnjia v horoshim digital forme,
    2. segodnjia ja pereviazival bolnogo pod GA, stopa zivaja, teplaja, hot' i otekaet sylno iz za "vidimo" narushenjia venoznongo atoka,
    3. Chto menjia smushet: kak ja smogu sdelat' "bone trasport" v budeshim, esli znat', chto anatomia ochen' sylno izminilas', i kazitsa, chto a. tibialis anterior, prosto nahoditsa v prostranstve mezhdu otlomkami tibia, VOPROS: Sleduet li sdealat' reviziyu ee na dalnishih pereviazkah, chto bi transpozirovat' ee? Ili ne nuzhno ito sdelat'? Budet li promezutochny fragment otodvigat' ee peremishes' vniz ILI ona zashemitsa mezdu otlomkami?
    4. Aktivnih dvizhenjia v golenostopnom sustave NET! no poka rano ob itom sudit' okonchatrelno.
    5. Ne tolko zadnjia poverhnost' otkritajia, est' chast' kosty na protezenjii okolo 4-h cm. obnazena po peredne-vnutrennoi poverhnoste Prox. kones tibia".
    Castro


    [ Ответить ]

    • Re: Otkrity perelom (OI)
      Отправитель: Alexander Chelnokov 29 Май 2005, 22:08
      DC> kazitsa, chto a. tibialis anterior, prosto nahoditsa v prostranstve
      DC> mezhdu otlomkami tibia, VOPROS: Sleduet li sdealat' reviziyu ee na
      DC> dalnishih pereviazkah, chto bi transpozirovat' ee?

      Псоле восстановления длины голени она вряд ли ушемляется в отломках.

      DC> Ili ne nuzhno ito sdelat'? Budet li promezutochny fragment
      DC> otodvigat' ee peremishes' vniz ILI ona zashemitsa mezdu otlomkami?

      Если эти опасения серьезны, можно сделать ангиографию. Ну а при bone transport наблюдать за состоянием кровоснабжения, и при каких-то сомнениях опять сделать контрастное исследование. Вообще, куда более опасны одномоментные значительные смещения типа acute docking, что может вызвать гофрирование тканей, перегиб сосуда с последующим тромбозом, или даже прямое его ущемление.

      DC> 4. Aktivnih dvizhenjia v golenostopnom sustave NET! no poka rano ob
      DC> itom sudit' okonchatrelno.
      DC> 5. Ne tolko zadnjia poverhnost' otkritajia, est' chast' kosty na

      И все-таки тут бы еще как следует все оценить, прикинуть, что получится даже при полном успехе. Долгие труды врача и страдания больного могут дать в итоге малопригодную в функциональном плане конечность, хотя стопа будет живая. Если доступно хорошее протезирование, стоит хорошо подумать, не будет ли ампутация оптимальным выходом, прежде чем ввязываться в многомесячный "марафон".

      [ Ответить ]
    • Re: Otkrity perelom (OI)
      Отправитель: Alexander Artemiev 30 Май 2005, 08:44
      DC> mezhdu otlomkami tibia, VOPROS: Sleduet li sdealat' reviziyu ee na
      DC> dalnishih pereviazkah, chto bi transpozirovat' ee? Ili ne nuzhno ito
      DC> sdelat'?
      Не стоит. Зачем искать приключения?

      DC> Budet li promezutochny fragment otodvigat' ee peremishes'
      DC> vniz ILI ona zashemitsa mezdu otlomkami?
      Не будет.
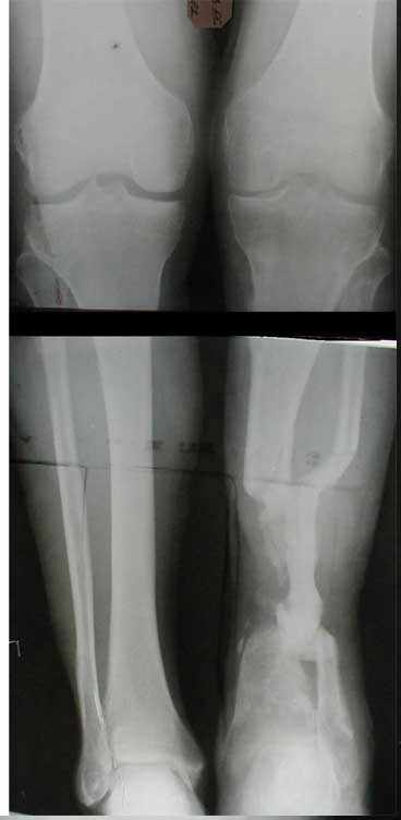
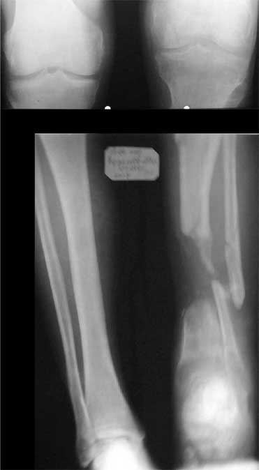
      В приложении - моё наблюдение (возможно, уже представлял, тогда
      извините).
      Нога попала в пресс.
      Ко мне больной попал черз 1,5-2 года после травмы и нескольких
      операций с синегнойной инфекцией на всю голень. Меня пригласили на консультацию
      насчет ампутации.
      Лечил я его месяцев 8.
      Малоберцовка полностью перестроилась, нога опороспособна.
      При ходьбе на дальние расстояния пользуется тростью.
      Осталась трофическая язва, периодически закрывается.
      Клинические снимки где-то есть, но не очень качественные.
      Один из вариантов.

















      С уважением Александр Артемьев

      [ Ответить ]

     

    ( Ответить )

    Powered by Zope  Squishdot Powered MedLink
    Посетитель: 0412897
      "По форме правильно, а по существу - издевательство" В.И.Ленин
    ©2001-2019Orthoforum Coordinator.
    [ Главная | Отправить сообщение | Поиск | Админ ]