AOTRAUMA.ORG Центр Илизарова  

Ортопедия и травматология Общие вопросы/General questions Help Информационные технологии в медицине
 вверх
 отправить
 поиск
 админ
 главная


Как классифицировать?..
Ортопедия и травматология Отправлено Alexander Chelnokov 30 Июнь 2005, 01:59
Дорогие коллеги,Как правильно определить такой перелом по классификации AO?
Как два отдельных или есть один соответствующий код? Фиксировать-то оба можно одним фиксатором...

<  |  >

 

  • Сообщения о Ортопедия и травматология
  • Также Alexander Chelnokov
  • Связаться с автором
  • Ответить

    Re: Как классифицировать?..
    Anatoly F. Lazarev 01 Июль 2005, 20:27
    Привет Сашуля. Мы пишем обе локализации по АО со знаком +...

    ЛАФ 50.
    [ Ответить ]

    • Re: Как классифицировать?..
      Отправитель: Alexander Chelnokov 01 Июль 2005, 20:42
      Вариант хоть и не документированный, но рациональный. Спасибо.

      [ Ответить ]
    Re: Как классифицировать?..
    Djoldas Kuldjanov 15 Июль 2005, 08:31
    AC >>Как правильно определить такой перелом по классификации AO? Как
    AC >>два отдельных или есть один соответствующий код?

    LAF>Мы пишем обе локализации по АО со знаком +...

    AC >> Фиксировать-то оба можно одним фиксатором...

    А что у вас где-то надо писать классификацию?

    Какой метод выбрали для фиксации, имеется ли и другие рентгенологические проекции перелома?

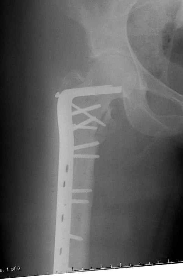
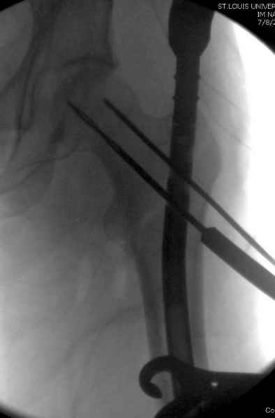
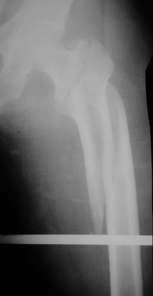
    Как раз недавно у меня был примерный случай: больному 36 лет, поступил ночью, травма в результате мотоциклетной аварии, кроме чрезвертельного и спирального перелома левого бедра имеется переломы костей предплечья с этой же стороны. Скелетное вытяжение, а на следующий день больной про оперирован на ортопедическом столе с дистракцией. Чтобы не расколоть чрезвертельный перелом провели временную спицу ближе к переднему кортексу, из малого разреза костодержатель для репозиции, а фиксацию провели антиградным штифтом. Этапы операции на снимках.






































    Джолдас Кульджанов


    Djoldas Kuldjanov, MD
    Department of Orthopedic Surgery
    St. Louis University Medical Center
    [ Ответить ]

    • Re: Как классифицировать?..
      Отправитель: Alexander Chelnokov 15 Июль 2005, 23:42
      DK> А что у вас где-то надо писать классификацию?

      В диагноз пишем... Потом же как-то анализировать надо. Что-то никто не откликнулся на этот вопрос из англоязычных коллег. Все-таки - как такой перелом надо классифицировать? А если шейка бедра + диафиз? Завтра покажу такой случай.

      DK> Какой метод выбрали для фиксации,

      Реконструкционный гвоздь.

      DK> с этой же стороны. Скелетное вытяжение, а на следующий день больной
      DK> про оперирован на ортопедическом столе с дистракцией.

      Наш туземный подход - flat radiolucent table и спицевой дистрактор.

      DK> Чтобы не расколоть чрезвертельный перелом провели временную спицу
      DK> ближе к переднему кортексу,

      Мы обычно проводим спицу ближе к заднему кортексу - иногда бывает, гвоздь смещается кзади, за фрагменты, особено при многооскольчатых переломах...

      DK> из малого разреза костодержатель для репозиции,

      Это тоже не делаем. Разве что иногда приходится шилом подтолкнуть промежуточный фрагмент, если он перекрывает вход в дистальный отломок. Но костедержатель засовывать - зачем??? Ведь при введении гвоздя репозиция происходит "автомагически"?

      DK> фиксацию провели антеградным штифтом.

      Да, сейчас это и у нас самый напрашивающийся выбор. Сделали гвоздем ChM, картинки в приложении.





































      У молодых реконструкционный гвоздь самое то. При остеопорозе надо что-то помассивнее.

      [ Ответить ]
    Re: Как классифицировать?..
    Djoldas Kuldjanov 15 Июль 2005, 23:22
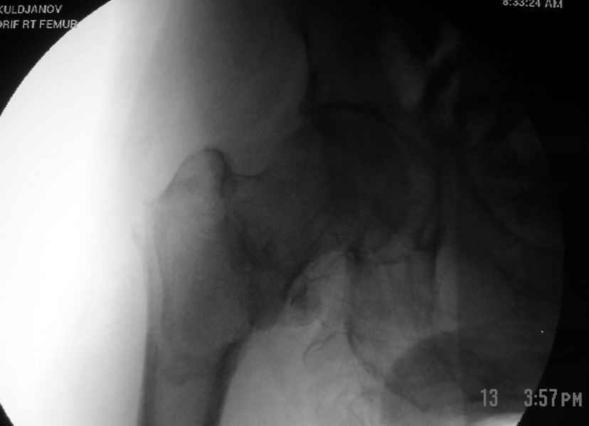
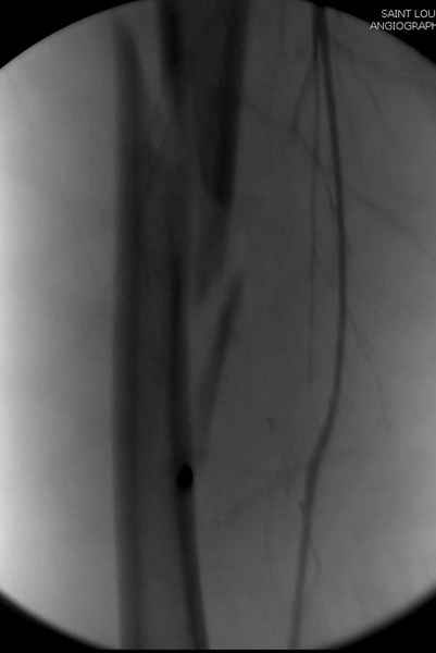
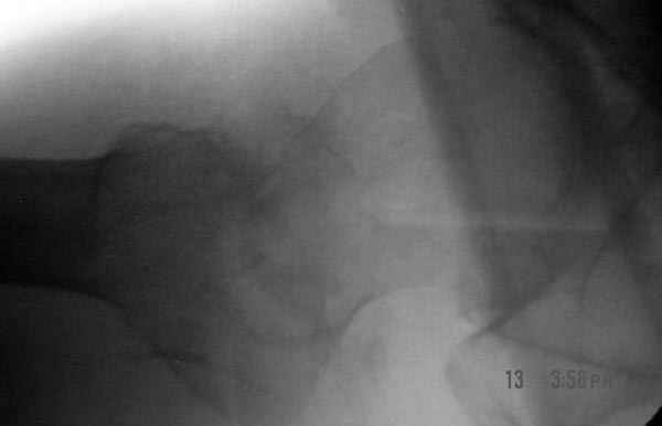
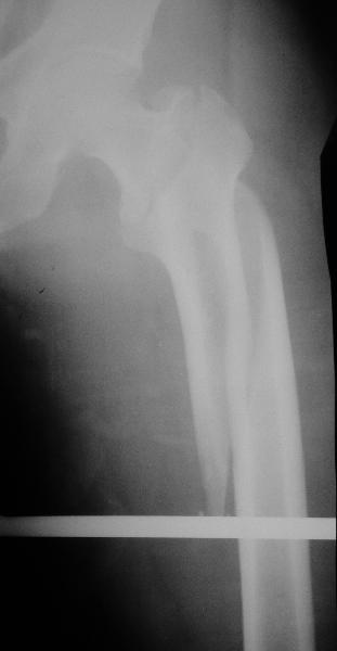
    Второй случай тоже репозиция из малого доступа, больному 19 лет, множественные огнестрельные повреждениия конечностей, живота и черепа, правая конечность холодная, без пульсации. Ортопедический диагноз: огнестрельный перелом правого бедра. При срочной ангиографии повреждения сосудов не подтвердилось, конечность из-за ургентности состояния больного зафиксирована временным наружным фиксатором и больной оставлен на операционном столе для срочной лапаротомии хирургической службой.

    Больной долго оставался нестабильным, только на 14 день удалось заменить на антеградный интромедуллярный штифт TFN (trochanteric femoral nail) SmithNephew. После неудачной попытки закрытой репозиции, несмотря на использование "joystick", проксимальный стержень от
    наружного фиксатора, (перелом начал срастаться) репозицию провели из малого доступа, затем остальные этапы операции.


































































    Случай был представлен из-за того, что больного оперировали после наружной фиксации и был риск инфекцирования через места проведения стержней (на снимках), прошло больше 3 месяцев, выписан из амбулаторной службы из-за отсутсвия надобности дальнейшего наблюдения.
    Джолдас Кульджанов


    Djoldas Kuldjanov, MD
    Department of Orthopedic Surgery
    St. Louis University Medical Center


    [ Ответить ]

    • Re: Как классифицировать?..
      Отправитель: Alexander Chelnokov 15 Июль 2005, 23:35
      Мы полых стальных гвоздей в таких случаях опасаемся, делаем титановые сплошные.

      [ Ответить ]
    Re: Как классифицировать?..
    Djoldas Kuldjanov, M.D. 16 Июль 2005, 00:16



























    Другие случаи: применение Synthes TTFN (trochanteric titanium femoral nail) и Blade Plate (угловая пластина), так что много различных вариантов фиксации подобных переломов.

    Djoldas Kuldjanov, MD
    Department of Orthopedic Surgery
    St. Louis University Medical Center
    [ Ответить ]

    Re: Как классифицировать?..
    Djoldas Kuldjanov 16 Июль 2005, 17:19
    Сегодня обсудили твой случай с Бил Бурманом и вот его мнение. Честно говоря, мы не смогли найти классификацию этого случая, у всех мнение, переломы считать как два отдельных перелома.
    [ Ответить ]

    Re: Как классифицировать?..
    Bill Burman 16 Июль 2005, 17:24
    Djoldas

    Here are some classification suggestions








    (Seinsheimer 5 , AO 31 A2.3 or Russell Taylor 2B - see http://www.hwbf.org/ota/bfc/tonyr2/ft028.html

    for your sub-intertrochanteric femur fracture case. Excellent work and technique with the reconstruction nailing.

    All the best,

    Bill

    Bill Burman, MD
    HWB Foundation
    [ Ответить ]


    ( Ответить )

    Powered by Zope  Squishdot Powered MedLink
    Посетитель: 0175017
      "По форме правильно, а по существу - издевательство" В.И.Ленин
    ©2001-2019Orthoforum Coordinator.
    [ Главная | Отправить сообщение | Поиск | Админ ]