AOTRAUMA.ORG Центр Илизарова  

Ортопедия и травматология Общие вопросы/General questions Help Информационные технологии в медицине
 вверх
 отправить
 поиск
 админ
 главная
 Предыдущее


Re: Как классифицировать?..
Djoldas Kuldjanov 15 Июль 2005, 08:31
AC >>Как правильно определить такой перелом по классификации AO? Как
AC >>два отдельных или есть один соответствующий код?

LAF>Мы пишем обе локализации по АО со знаком +...

AC >> Фиксировать-то оба можно одним фиксатором...

А что у вас где-то надо писать классификацию?

Какой метод выбрали для фиксации, имеется ли и другие рентгенологические проекции перелома?

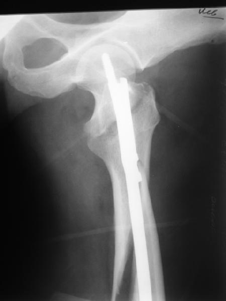
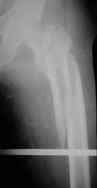
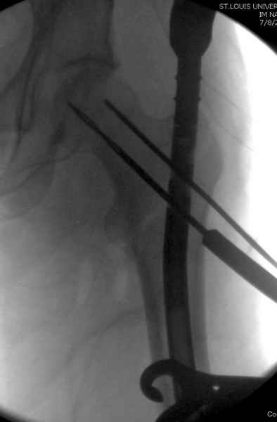
Как раз недавно у меня был примерный случай: больному 36 лет, поступил ночью, травма в результате мотоциклетной аварии, кроме чрезвертельного и спирального перелома левого бедра имеется переломы костей предплечья с этой же стороны. Скелетное вытяжение, а на следующий день больной про оперирован на ортопедическом столе с дистракцией. Чтобы не расколоть чрезвертельный перелом провели временную спицу ближе к переднему кортексу, из малого разреза костодержатель для репозиции, а фиксацию провели антиградным штифтом. Этапы операции на снимках.






































Джолдас Кульджанов


Djoldas Kuldjanov, MD
Department of Orthopedic Surgery
St. Louis University Medical Center
  • Сообщения о Ортопедия и травматология
  • Также Djoldas Kuldjanov
  • Связаться с автором
  • Ответить

    Re: Как классифицировать?..
    Alexander Chelnokov 15 Июль 2005, 23:42
    DK> А что у вас где-то надо писать классификацию?

    В диагноз пишем... Потом же как-то анализировать надо. Что-то никто не откликнулся на этот вопрос из англоязычных коллег. Все-таки - как такой перелом надо классифицировать? А если шейка бедра + диафиз? Завтра покажу такой случай.

    DK> Какой метод выбрали для фиксации,

    Реконструкционный гвоздь.

    DK> с этой же стороны. Скелетное вытяжение, а на следующий день больной
    DK> про оперирован на ортопедическом столе с дистракцией.

    Наш туземный подход - flat radiolucent table и спицевой дистрактор.

    DK> Чтобы не расколоть чрезвертельный перелом провели временную спицу
    DK> ближе к переднему кортексу,

    Мы обычно проводим спицу ближе к заднему кортексу - иногда бывает, гвоздь смещается кзади, за фрагменты, особено при многооскольчатых переломах...

    DK> из малого разреза костодержатель для репозиции,

    Это тоже не делаем. Разве что иногда приходится шилом подтолкнуть промежуточный фрагмент, если он перекрывает вход в дистальный отломок. Но костедержатель засовывать - зачем??? Ведь при введении гвоздя репозиция происходит "автомагически"?

    DK> фиксацию провели антеградным штифтом.

    Да, сейчас это и у нас самый напрашивающийся выбор. Сделали гвоздем ChM, картинки в приложении.





































    У молодых реконструкционный гвоздь самое то. При остеопорозе надо что-то помассивнее.
    [ Ответить ]


    ( Ответить )

    Powered by Zope  Squishdot Powered MedLink
    Посетитель: 0386662
      "По форме правильно, а по существу - издевательство" В.И.Ленин
    ©2001-2019Orthoforum Coordinator.
    [ Главная | Отправить сообщение | Поиск | Админ ]