вверх
отправить
поиск
админ
главная
Предыдущее
|
Re: Перелом acetabulum и проксимального отдела бед
Юрий Алексеевич Булахтин 21 Август 2005, 16:27
|
Уважаемый Александр Николаевич!
Считаю, что в представленном Вами случае целесообразно подумать о первичном протезировании. Привожу пример более легкого повреждения, где потерял время надеясь спасти сустав.
 19/05/03
|
 При поступлении в госпиталь 3.06.03
|
 Послеоперационный снимок прямой 5/05/03
|
 Послеоперационный снимок боковой 5/06/03
|
 Контрольный снимок перед разрешением нагрузки прямой 13/10/03
|
 Перед разрешением нагрузки боковой 13/10/03
|
 Два месяца нагрузки без костылей 19/12/03
|
 Еще месяц 20/02/04
|
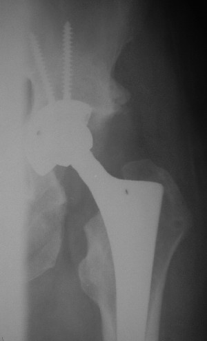
 После протезирования прямой 5/04/04
|
 После протезирования боковой 5/04/04
|
Больной 18 мая 2003 года в автоаварии получил перелом левой вертлужной впадины, вывих бедра. Госпитализирован в один из стационаров области.Вывих вправлен. В последствии бедро вывихивалось еще дважды. На консультацию был представлен снимок от 19.05.03г., больной переведен к нам 3.06.03г. Снимок при поступлении - перелом впадины, задне-верхний вывих бедра. 05.06.2003 г. выполнено открытое вправление вывиха левого бедра и остеосинтез стенки вертлужной впадины двумя винтами. Послеоперационный период без осложнений. Объем движений в левом тазобедренном суставе восстановился полностью. Выписан на амбулаторное лечение в удовлетворительном состоянии с рекомендациями 3 месяца ходить на костылях без нагрузки на оперированную конечность. На контрольных рентгенограммах левого тазобедренного сустава 13.10.2003 г. - признаки консолидации перелома; плотность, форма головки и состояние суставных поверхностей удовлетворительные. Разрешена дозированная осевая нагрузка, на конечность с использованием дополнительной опоры. 19.12.2003 г. больной обратился с жалобами на боли в левом тазобедренном суставе. На рентгенограммах левого тазобедренного сустава 19.12.2003 г., 20.02.04г. - асептичекий некроз головки бедра. 5.04.04г. - эндопротез. Сейчас ходит без трости, не хромает. Особенность эндопротезирования - при удалении винтов прослежена линия перелома заднего края впадины и предложено установить чашку несколько меньшего диаметра, чтобы она была покрыта несломанной частью.
Главный травматолог Камчатского Военно-морского госпиталя Юрий Алексеевич Булахтин
|
|
|
Ответить
|
Re: Перелом acetabulum и проксимального отдела бед
Рунков Алексей 23 Август 2005, 17:24
|
Случай, представленный Вами, совсем не идентичен обсуждаемому. У Вашего пациента был поперечный перелом с переломом заднего края, а в обсуждаемом случае - высокий двухколонный перелом вертлужной впадины.
То есть в представленном Вами случае был перелом заднего типа, в нашем случае центрального. У Вашего больного был застарелый задний вывих, у нашего - перелом шейки. Столь раннее разрушение головки, вероятно, было во многом обусловлено тем, что не была достигнута анатомическая репозиция, головка бедра осталась смещенной кзади, что является частой ошибкой при крупных фрагментах свода.
Необходимость фиксации вертлужной впадины в нашем случае вообще под вопросом, так как конгруэнтность сохранена (вторичная конгруэнтность типична для двухколонных переломов).
Наш больной пока обследуется, сделали сегодня КТ наконец-то.
Алексей Рунков
|
[
Ответить ]
|
( Ответить )
|
|