Ответить
|
Re: Перелом acetabulum и проксимального отдела бед
V M Iyer 16 Август 2005, 22:32
|
Dear Alex,
Interesting case1 I wonder why nothing was done for 18 days. I would concentrate on fixing the neck fracture in the best way I can and keep the patient on heavy skeletal traction, upper tibial traction for 3 weeks and then mobilise. This traction will not disturb the fracture fixation.Only that mobilisation is delayed. Keep us posted.
vishu
Dr V M Iyer
Iyer Orthopaedic centre, 103 Railway lines, Solapur.413001.India
|
[
Ответить ]
|
Re: Перелом acetabulum и проксимального отдела бед
ALAMPALLAM VENKATACHALAM 18 Август 2005, 10:09
|
Primary THR would be difficult to do with both column acetabular fracture, since there would be no support for the cup. You could use the two columns of the acetabulum to screw the uncemented cup with a mesh.
THR through a trochanteric fracture may cause Myositis
A.K.VENKATACHALM
|
[
Ответить ]
|
Re: Перелом acetabulum и проксимального отдела бед
Ndubuisi Uzohuo 18 Август 2005, 12:58
|
hi
sir u are a man, i like your faith over the case.
i therefor, sugest that u fix the proxmal femur fracture and acetabular fracture before other once,.becouse they more important than other once.the more u wait the more undrected callus cell covering acetabulum[hip joint] and it will be hard to fix later.
i am not an ordopaedic doctor, but i'm a native bone doctor. from nigeria residing in the city of porthercourt. my name is ndubuisi uzohuo.
if may interest u email me by lordbushgift(at)yahoo.co.uk
|
[
Ответить ]
|
Re: Перелом acetabulum и проксимального отдела бед
Vineesh Mathur 18 Август 2005, 21:33
|
Dear Alex,
I would choose one of the two options below depending on my technical
ability.
1) Get aggressive, fix everything to anatomical shape, mobilize and if avn,
nonunion etc develops later do a THR after a minimum of 12-18 months
preceded by implant removal.
Pros : Outside chance to retain the natural hip. Easier THR if required.
Cons : Difficult surgery, infection, blood loss, heterotopic ossification.
2)Plan for a THR, put the patient on skeletal traction and follow a
completely conservative line of treatment. When everything except the neck
is united go for a THR.
Pros : Virgin hip - Less chances of deep infection and ossification.
The other problems of the patient (not mentioned) but probably
existing can be tackled in the period.
Primary THR - Difficult because of poor acetabular support.
Dr V Mathur
Kalyani Hospital, Gurgaon, India.
|
[
Ответить ]
|
Re: Перелом acetabulum и проксимального отдела бед
DR C CHERIAN KOVOOR 20 Август 2005, 09:42
|
Dear alex
Forget the # acetabulam , fix the neck #- any avascular necrosis is guarantted and OA changes are sure to happen.
The idea is to buy time for so that THR can be delayed
I wonder why nothing was doen for 18 days
DR C CHERIAN KOVOOR
KOCHI
INDIA
|
[
Ответить ]
|
Re: Перелом acetabulum и проксимального отдела бед
Юрий Алексеевич Булахтин 21 Август 2005, 16:27
|
Уважаемый Александр Николаевич!
Считаю, что в представленном Вами случае целесообразно подумать о первичном протезировании. Привожу пример более легкого повреждения, где потерял время надеясь спасти сустав.
 19/05/03
|
 При поступлении в госпиталь 3.06.03
|
 Послеоперационный снимок прямой 5/05/03
|
 Послеоперационный снимок боковой 5/06/03
|
 Контрольный снимок перед разрешением нагрузки прямой 13/10/03
|
 Перед разрешением нагрузки боковой 13/10/03
|
 Два месяца нагрузки без костылей 19/12/03
|
 Еще месяц 20/02/04
|
 После протезирования прямой 5/04/04
|
 После протезирования боковой 5/04/04
|
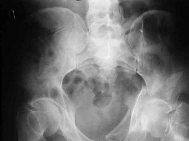
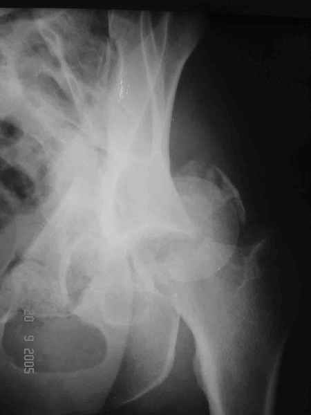
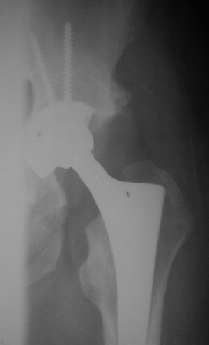
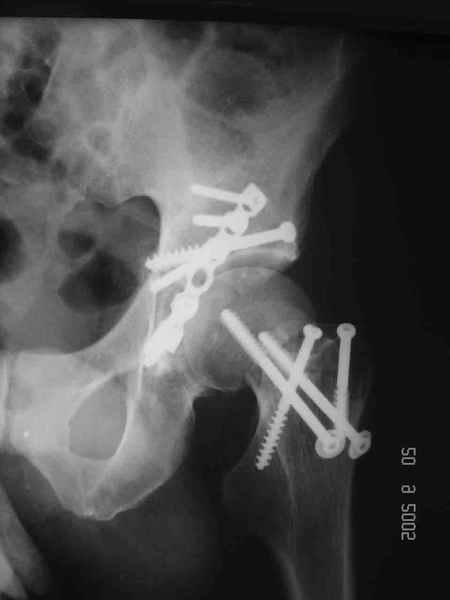
Больной 18 мая 2003 года в автоаварии получил перелом левой вертлужной впадины, вывих бедра. Госпитализирован в один из стационаров области.Вывих вправлен. В последствии бедро вывихивалось еще дважды. На консультацию был представлен снимок от 19.05.03г., больной переведен к нам 3.06.03г. Снимок при поступлении - перелом впадины, задне-верхний вывих бедра. 05.06.2003 г. выполнено открытое вправление вывиха левого бедра и остеосинтез стенки вертлужной впадины двумя винтами. Послеоперационный период без осложнений. Объем движений в левом тазобедренном суставе восстановился полностью. Выписан на амбулаторное лечение в удовлетворительном состоянии с рекомендациями 3 месяца ходить на костылях без нагрузки на оперированную конечность. На контрольных рентгенограммах левого тазобедренного сустава 13.10.2003 г. - признаки консолидации перелома; плотность, форма головки и состояние суставных поверхностей удовлетворительные. Разрешена дозированная осевая нагрузка, на конечность с использованием дополнительной опоры. 19.12.2003 г. больной обратился с жалобами на боли в левом тазобедренном суставе. На рентгенограммах левого тазобедренного сустава 19.12.2003 г., 20.02.04г. - асептичекий некроз головки бедра. 5.04.04г. - эндопротез. Сейчас ходит без трости, не хромает. Особенность эндопротезирования - при удалении винтов прослежена линия перелома заднего края впадины и предложено установить чашку несколько меньшего диаметра, чтобы она была покрыта несломанной частью.
Главный травматолог Камчатского Военно-морского госпиталя Юрий Алексеевич Булахтин
|
[
Ответить ]
|
Re: Перелом acetabulum и проксимального отдела бед
Отправитель: Рунков Алексей 23 Август 2005, 17:24
|
Случай, представленный Вами, совсем не идентичен обсуждаемому. У Вашего пациента был поперечный перелом с переломом заднего края, а в обсуждаемом случае - высокий двухколонный перелом вертлужной впадины.
То есть в представленном Вами случае был перелом заднего типа, в нашем случае центрального. У Вашего больного был застарелый задний вывих, у нашего - перелом шейки. Столь раннее разрушение головки, вероятно, было во многом обусловлено тем, что не была достигнута анатомическая репозиция, головка бедра осталась смещенной кзади, что является частой ошибкой при крупных фрагментах свода.
Необходимость фиксации вертлужной впадины в нашем случае вообще под вопросом, так как конгруэнтность сохранена (вторичная конгруэнтность типична для двухколонных переломов).
Наш больной пока обследуется, сделали сегодня КТ наконец-то.
Алексей Рунков
|
[
Ответить ]
|
|
Re: Перелом acetabulum и проксимального отдела бед
Chip Routt 24 Август 2005, 00:07
|
Would you send along some acetabular CT images?
Chip
|
[
Ответить ]
|
Re: Перелом acetabulum и проксимального отдела бед
Отправитель: Alexander Chelnokov 24 Август 2005, 00:37
|
Today CT was performed.
Сегодня КТ сделали.
|
[
Ответить ]
|
Re: Перелом acetabulum и проксимального отдела бед
Отправитель: Chip Routt 24 Август 2005, 09:33
|
I'd probably start with femoral open reduction and internal fixation initially, and then reassess potential acetabular repair.
Chip
|
[
Ответить ]
|
|
Re: Перелом acetabulum и проксимального отдела бед
Максим Агалаков 22 Сентябрь 2005, 16:55
|
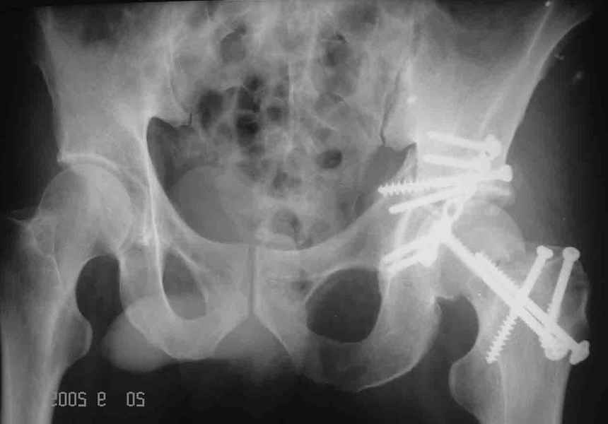
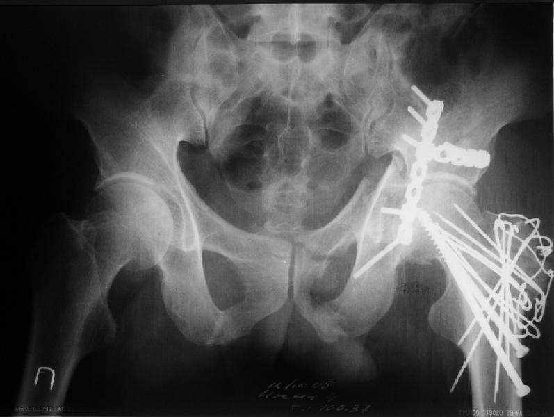
Уважаемые коллеги. Больной был оперирован в одну сессию 25 августа. Сначала на голень наложен спице-стержнвой аппарат. Затем выполнен остеосинтез вертлужной впадины Y-образным доступом. Пришлось дополнительно отсекать вертел. Шейка синтезирована спонгиозными винтами и спицами, вертел - спицами и стягивающей петлей. После операции находился на вытяжении 3 нед. Раны зажили первичным натяжением. Сейчас уже дома. Будет и дальше без нагрузки на левую ногу. Будем наблюдать в динамике. Ждем комментарии.
|
[
Ответить ]
|
Re: Перелом acetabulum и проксимального отдела бед
Отправитель: Anton Vakulenko 22 Сентябрь 2005, 20:50
|
> дополнительно отсекать вертел. Шейка синтезирована спонгиозными
> винтами и спицами,
Мы бы ограничились фиксацией шейки 3 спонгиозными винтами. Это стабильнее пучка спиц...
> вертел - спицами и стягивающей петлей. После
> операции находился на вытяжении 3 нед.
Была ли необходимость в вытяжении? Разве не достаточно простой ортопедической укладки?
|
[
Ответить ]
|
Re: Перелом acetabulum и проксимального отдела бед
Отправитель: Максим Агалаков 22 Сентябрь 2005, 21:41
|
> Мы бы ограничились фиксацией шейки 3 спонгиозными винтами. Это стабильнее пучка спиц...
Обычно мы поступаем так же, однако в этом случае имелся дефект верхней части шейкии, перелом и остеотомия вертельной области, так же с дефектами, спицы - вынужденная мера. Здесь ведь пучок спиц не вместо трех винтов, а в дополнние к двум. Эти-то два пришлось провести чуть ли не с уровня диафиза, проксимальнее было сплошное крошево.
>Была ли необходимость в вытяжении? Разве не достаточно простой ортопедической укладки?
Как тут узнать, достаточно или нет? Хотелось сделать максимум возможного, т.е. разгрузить сустав, исключить контактное давление ишемизированных суставных поверхностей даже за счет мышечной тяги. Напомню, и бедренный, и вертлужный компонент сустава были тяжело повреждены, оба подверглись открытой репозиции. То есть это профилактика аваскулярного некроза головки и впадины. Да и вытяжение "дисцплинирует" больного.
Привет Донецку, с уважением, Агалаков.
|
[
Ответить ]
|
Re: Перелом acetabulum и проксимального отдела бед
Отправитель: Рунков А.В. 23 Сентябрь 2005, 12:14
|
Наконец добрался до компьютера, прочитал коментарии, хочу внести дополнения к сообщенному.
Перелом шейки был многооскольчатйй очень медиальный, по сути шейку и вертел расколотило об подвздошную кость с кучей мелких фрагментов, вертел был полностьб вовлечен в перелом, головка заподлицо скрывалась в расширенной вертлужной впадине. Качество кости приличное. Остатки дуги Адамса с предварительно проведенными винтами я вколотил в головку и компрессировал винтами - оказалось прочно, но образовался дефект верхнего отдела шейки, который был заплнен фрагментами фиксироваными трансфрактурными спицами - отсюда пучек.
Вертел во время доступа пришлось еще рубить, т.к.
переломы распространялись чересчур дистально.
Отсюда еще пучек спиц.
На счет вытяжения - пациент по русски общался на уровне "твоя моя не понимай" - чистокровный китайца. Словарик не помог. Не в силах объянить правила поведения, я его привязал от греха подальше.
|
[
Ответить ]
|
Re: Перелом acetabulum и проксимального отдела бед
Отправитель: Anton Vakulenko 24 Сентябрь 2005, 09:58
|
Тогда все понятно! Иногда сами так делаем :) А вообще меня обычно огорчают попытки некоторых врачей проводить "профилактику" АВН головки бедра "разгрузкой" сустава вытяжением. 21 век все-таки, пора меняться...
--
С уважением,
А. В. Вакуленко
Донецкий НИИ травматологии и ортопедии, Украина
|
[
Ответить ]
|
Re: Перелом acetabulum и проксимального отдела бед
Отправитель: Alexander Chelnokov 24 Сентябрь 2005, 10:01
|
А что не так с разгрузкой сустава вытяжением?
|
[
Ответить ]
|
Re: Перелом acetabulum и проксимального отдела бед
Отправитель: Anton Vakulenko 24 Сентябрь 2005, 10:03
|
IMHO, АВН возникает не в результате давления суставных поверхностей друг на друга, а в результате глубоких нарушений кровоснабжения головки бедра при разрыве капсулы сустава (что имеет место при вывихе или в ходе травматичного оперативного доступа). Дополнительная тракция едва ли способствует лучшей циркуляции крови в оставшихся сосудах капсулы (если
таковые есть) и абсолютно бессмысленна при отсутствии таковых...
--
С уважением,
А. В. Вакуленко
Донецкий НИИ травматологии и ортопедии, Украина
|
[
Ответить ]
|
Re: Перелом acetabulum и проксимального отдела бед
Отправитель: Vitaly Kazennov 24 Сентябрь 2005, 10:04
|
Уважаемые коллеги,
> АВН возникает не в результате давления суставных поверхностей друг
> на друга, а в результате глубоких нарушений кровоснабжения головки бедра
> при разрыве капсулы сустава
А почему мы говорим только о головке? А реакция поврежденной вертлужной впадины на ранннюю нагрузку? Тракция imho не ради "разгрузки" а ради исключения нагрузки! Чем вы кроме скелетного удержите пациента в койке?
С уважением,
В.Е.Казеннов, кафедра травматологии-ортопедии ДВГМУ, Хабаровск
PS Привет Владзимирскому!
В.К.
|
[
Ответить ]
|
Re: Перелом acetabulum и проксимального отдела бед
Отправитель: Anton Vakulenko 24 Сентябрь 2005, 18:20
|
> А почему мы говорим только о головке? А реакция поврежденной вертлужной
> впадины на ранннюю нагрузку?
Асептическому некрозу все-таки намного чаще подвержена головка (именно ввиду ее "несовершенной" васкуляризации). Во впадине по нашим наблюдениям чаще развивается вторичный артроз уже на фоне имеющегося АВН головки.
> Тракция imho не ради "разгрузки" а ради исключения нагрузки!
> Чем вы кроме скелетного удержите пациента в койке?
Если речь идет о non-complient пациентах, то я обеими руками за вытяжение (хотя отдельные уникумы умудряются и со скобами ходить).. Если же речь о разумном больном, то постельного режима вполне достаточно. В любом случае, пациент не лежит пластом в койке. Те же процедуры с судном
вызывают вполне определенную нагрузку на т/б сустав, но избежать этого imho невозможно. А пассивная разработка движений в т/б суставе во время вытяжения весьма затруднительна....
>
> PS Привет Владзимирскому!
Да он тут и так регулярно бывает, но при встрече передам лично! :)
--
С уважением,
А. В. Вакуленко
Донецкий НИИ травматологии и ортопедии, Украина
|
[
Ответить ]
|
Re: Перелом acetabulum и проксимального отдела бед
Отправитель: Vitaly Kazennov 24 Сентябрь 2005, 18:24
|
Уважаемый А.В.Вакуленко!
Извините, не знаю Вашего имени-отчества, попытался посмотреть, может где на сайте есть -- с интернетом не коннектится, да ладно.
Вы пишете:
> Во впадине по нашим наблюдениям
> чаще развивается вторичный артроз уже на фоне имеющегося АВН головки.
Конечно! Но как быть с теми, у кого и головка-то вроде более или менее сохранна, а сустав стремится к ограничению движений и нагрузки всеми имеющимися у него средствами?
> Если речь идет о non-complient пациентах, то я обеими руками за
> вытяжение (хотя отдельные уникумы умудряются и со скобами ходить).
Это и у нас бывает... Отдельные уникумы в кокситной повязке умудряются камасутру практиковать...
Если
> же речь о разумном больном, то постельного режима вполне достаточно.
Извините, но что такое "разумный больной"? Если у него нет СИЛЬНЫХ болей -- он что, будет пользоваться уткой и судном? А если к нему подруга или жена придет -- он будет изображать умирающего лебедя и не проводит ее?
>В
> любом случае, пациент не лежит пластом в койке. Те же процедуры с судном
> вызывают вполне определенную нагрузку на т/б сустав, но избежать этого
> imho невозможно.
Это физиологические нагрузки на разгруженный горизонтальным положением сустав. Это не вертикальные нагрузки при ходьбе и стоянии.
>А пассивная разработка движений в т/б суставе во время
> вытяжения весьма затруднительна....
А зачем она нужна, эта "разработка", и что это вообще такое? Это типа "Закаляйся, как сталь!"? Аэробикой, что ли, ему после травмы потребуется развлекаться, ногу за ухо закладывать? Опорная безболезненная нога, да чтобы хотя бы ночами не болела -- вполне приемлемый исход повреждений тазобедренного сустава, imho. Или "шпагат" показывать они должны? На бревне...
> Да он тут и так регулярно бывает, но при встрече передам лично! :)
Спасибо!
Кстати, две недели назад исполнилось -- страшно подумать! -- 30 (тридцать) лет, как в Донецком мединституте проводили Всесоюзную конференцию научных студенческих работ, на которой мне посчастливилось побывать. Посетил тогда и ДонНИИТО, он у вас такой полукруглый, кажется.
С наилучшими пожеланиями,
Казеннов
|
[
Ответить ]
|
Re: Перелом acetabulum и проксимального отдела бед
Отправитель: Anton Vakulenko 25 Сентябрь 2005, 21:18
|
> Извините, не знаю Вашего имени-отчества,
Антон Валерьевич
> А пассивная разработка движений в т/б суставе во время
> вытяжения весьма затруднительна....
>
> А зачем она нужна, эта "разработка", и что это вообще такое? Это типа
> "Закаляйся, как сталь!"? Аэробикой, что ли, ему после травмы потребуется
> развлекаться, ногу за ухо закладывать? Опорная безболезненная нога, да чтобы
> хотя бы ночами не болела -- вполне приемлемый исход повреждений
> тазобедренного сустава, imho. Или "шпагат" показывать они должны? На
> бревне...
Имеется ввиду простое выполнение принципа при повреждениях суставов "раняя функция - поздняя нагрузка". В странах развитого капитализма для
этих целей успешно применяются всякие там constant passive motion machine. У нас для этих целей успешно применяются лечащие врачи :)
> Кстати, две недели назад исполнилось -- страшно подумать! -- 30 (тридцать)
> лет, как в Донецком мединституте проводили Всесоюзную конференцию научных
> студенческих работ, на которой мне посчастливилось побывать. Посетил тогда и
> ДонНИИТО, он у вас такой полукруглый, кажется.
Именно так! Снаружи довольно красиво выглядит, внутри - увы... :(
Картинка здесь: http://avv.boom.ru/dniito.htm
|
[
Ответить ]
|
Re: Перелом acetabulum и проксимального отдела бед
Отправитель: Alexander Chelnokov 24 Сентябрь 2005, 19:00
|
Приветствую, Антон,
Saturday, September 24, 2005, 4:22:35 PM, you wrote:
АВВ> Асептическому некрозу все-таки намного чаще подвержена головка (именно в
При сочетании тяжелого перелома вертлужной впадины и шейки бедра, после открытого остеосинтеза и того, и другого, впадина в немногим лучшей ситуации...
АВВ> же речь о разумном больном, то постельного режима вполне достаточно. В
АВВ> любом случае, пациент не лежит пластом в койке. Те же процедуры с судном
Хочется принять любые меры, которые хотя бы потенциально полезны, на уровне здравого смысла. При прочих равных снижение давления суставных поверхностей друг на друга должно способствовать их выживанию. Даже не говоря о меньшей вероятности нарушения постельного режима, когда есть скоба со спицей.
|
[
Ответить ]
|
Re: Перелом acetabulum и проксимального отдела бед
Отправитель: Anton Vakulenko 25 Сентябрь 2005, 21:16
|
> после открытого открытого остеосинтеза и того, и другого, впадина в
> немногим лучшей ситуации...
Согласен.
> Хочется принять любые меры, которые хотя бы потенциально полезны, на
> уровне здравого смысла.
Вот тут мы вступаем на скользкую тропинку, уводящую нас вдаль от EBM ;)
Кто определит, что потенциально полезно, что бесполезно, а что вредно?
Только слепые рандомизированные и т.д. исследования. Таких по данному вопросу я не нашел (правда, возможно плохо искал)...
> При прочих равных снижение давления суставных
> поверхностей друг на друга должно способствовать их выживанию.
См. выше
> Даже не говоря о меньшей вероятности нарушения постельного режима, когда
> есть скоба со спицей.
Еще раз повторю, что я говорю о вменяемом пациенте (т.е. таком, для которого достаточно устных указаний врача о соблюдении ортопедического
режима)..
--
С уважением,
А. В. Вакуленко
Донецкий НИИ травматологии и ортопедии, Украина
|
[
Ответить ]
|
Re: Перелом acetabulum и проксимального отдела бед
Отправитель: Alexander Chelnokov 25 Сентябрь 2005, 21:44
|
АВВ> Вот тут мы вступаем на скользкую тропинку, уводящую нас вдаль от EBM ;)
АВВ> Кто определит, что потенциально полезно, что бесполезно, а что вредно?
В отсутствие доказательных данных приходится руководствоваться упомянутым здравым смыслом. Скажем, вполне традиционно сохранение небольшого растягивающего усилия на уровне сустава при использовании шарнирных аппаратов. Пролежни заживают более благоприятно при подвешивании больного за аппарат на тазу... И тэдэ и тэпэ.
АВВ> Только слепые рандомизированные и т.д. исследования. Таких по данному
Вряд ли мы по этому вопросу мы скоро дождемся randomized controlled trials, не говоря уже о мета-анализах. Тут и этические трудности - все ли доступные меры были приняты, пусть даже их польза не доказана на уровне RCT? Вред вытяжение в такой ситуации самоочевидно не приносит, максимум это может оказаться "балластный" метод. Ну и чисто методологические проблемы - набор сопоставимых больных (шейка+вертел+впадина - вообще можно до пенсии не встретить), плацебо-вытяжение...
|
[
Ответить ]
|
Re: Перелом acetabulum и проксимального отдела бед
Отправитель: Anton Vakulenko 27 Сентябрь 2005, 17:34
|
В отношении вреда на ум приходят контрактура коленного сустава и воспаление мягких тканей в области спицы (последнее, конечно же, во многом зависит от качества ухода за спицей).
PS. однако, какой большое обсуждение вызвала эта, в общем-то, банальная тема! :) Наглядный пример пользы формума!..
--
С уважением,
А. В. Вакуленко
Донецкий НИИ травматологии и ортопедии, Украина
|
[
Ответить ]
|
|
Re: Перелом acetabulum и проксимального отдела бед
Alexey Smirnov 26 Сентябрь 2005, 23:36
|
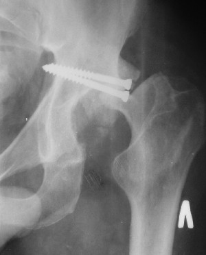
Привет! Вот недавно прооперировали похожий на ваш случай - впадина + шейка (правда у нас впадина поперечный+задний край). После травмы прошло 4 недели. мужчине 46 лет. С такой комбинацией все показания к первичному протезированию. Морально и технически мы к этому уже созрели.Но больной не собрал денег на протез. Выполнили остеосинтез впадины и шейки, прекрасно понимая, что головка вскоре рассосется, мы хотя бы надемся что к этому времени таз срастется, как говорится создали все условия для дальнейшего протезирования (может, и протез в последующем подешевле будет, в смысле, без укрепляющего кольца?). Привет Рункову!
Смирнов Алексей.
|
[
Ответить ]
|
Re: Перелом acetabulum и проксимального отдела бед
Отправитель: Рунков 27 Сентябрь 2005, 09:57
|
Привет Алекей! Сделано неплохо, поздравляю, хотя второй винтик можно было бы и подлиннее в шейку загнать! Пара вопроов: доступ такой же? головка была свободной или висела на капсуле?
|
[
Ответить ]
|
Re: Перелом acetabulum и проксимального отдела бед
Отправитель: Алексей Смирнов 27 Сентябрь 2005, 22:35
|
Согласен, можно было и подлиннее. Доступ такой же - чрезвертельный, только разрез кожи прямой (а не Y, чего то я разницы не ощущаю). Головка была абсолютно свободной (то есть во время остеосинтеза таза лежала в стакане и не мешалась). Шансов, что она прирастет 0,00001%. Хотели даже выбросить, но привинтили как временный биологический протез (читай свободный трансплантат), чтоб на период срастания таза бедро проксимально не ушло (может ортопеды потом спасибо скажут). Ну а у вас первичное протезирование при переломе впадины тоже пока полько в планах?
|
[
Ответить ]
|
Re: Перелом acetabulum и проксимального отдела бед
Отправитель: Waldemar Kindswater 27 Сентябрь 2005, 17:24
|
Хороший результат. Одного не пойму. Почему страховка не оплачивает протеза?
С уважением
Вальдемар.
|
[
Ответить ]
|
|
( Ответить )
|
|