AOTRAUMA.ORG Центр Илизарова  

Ортопедия и травматология Общие вопросы/General questions Help Информационные технологии в медицине
 вверх
 отправить
 поиск
 админ
 главная


Деформация голени
Ортопедия и травматология Отправлено Alexander Chelnokov 19 Октябрь 2005, 23:36
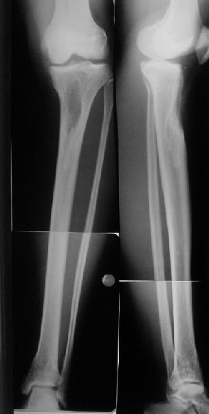
Коллеги из детского отделения направили 18-летнюю студентку с варусно-рекурвационной деформацией проксимального отдела голени.
Она ранее у них наблюдалась, но сейчас по возрасту уже не их, а также коллеги быстро сориентировались насчет закрытого штифтования при деформациях этой локализации ;-)
Жалобы у нее на появившиеся боли в колене при нагрузках. Признаков воспаления не было и нет, опухолевого роста также. Природа дефекта в области бугристости не очень понятна. Дополнительно сделали КТ и боковой снимок в максимальном разгибании - все в приложении.
На какие особенности при коррекции здесь обратить внимание? На какой угол и на каком уровне устранять деформацию? Как быть с переразгибанием в колене? То есть что взять за точку отсчета при устранении рекурвации - максимально возможное сейчас переразгибание, или положение с правильным взаимоотношениями суставных концов?А также готовы принять любые другие соображения, которые Вы полагаете существенными.
Заранее спасибо.

<  |  >

 

  • Сообщения о Ортопедия и травматология
  • Также Alexander Chelnokov
  • Связаться с автором
  • Ответить

    Re: Деформация голени
    Odessky Jacob 20 Октябрь 2005, 02:52
    Уважаемый Александр!
    Вас больше интересует коррекционная часть лечения, а меня - природа остеолизиса, потому, что механическая часть особого труда не представляет. Поэтому надо сначала, на мой взгляд поставить диагноз.
    По-поводу деформации - Вы имеете дело с епи-метафизарной деформацией, скорее всего по причине преждевременного частичного закратия проксимальной зоныы роста большеберцовой кости.
    Рекурвации в коленном суставе нет, есть рекурвационная деформация проксимальной части голени.
    За точку отсчёта при планировании коррекции надо взять латеральный снимок в максимальном стрессе на разгибание. Остеотомию необходимо произвести тот час дистальнее места прикрепления собственной связки надколенника.(очень важно)
    Для точных расчётов необходимо сделать снимки двух ног прямые и боковые на всю длину от тазобедренных суставов до стоп.
    Ориентировачно на боковой проекции угол между тибиальным плато и анатомической осью тибии на передне-боковой проэкции должен быть порядка 90 градусов, а на боковой 80, кроме того на боковой проэкции при выпрямленном колене передний кортекс большеберцовой кости должен находиться на одной линии с передним кортексом бедренной кости.
    Аппарат Илизарова, Аппарат Тэйлора или Аппарат Илизарова с Гексаподной приставкой являются методами выбора для даноой деформации.
    Но прежде всего - дообследование, включая и биопсию.
    Желаю сделать правильныый выбор.
    С уважением.
    [ Ответить ]

    • Re: Деформация голени
      Отправитель: Alexander Chelnokov 20 Октябрь 2005, 11:25
      Глубокоуважаемый Яков,

      Thursday, October 20, 2005, 8:33:02 AM, you wrote:

      OJ> Вас больше интересует коррекционная часть лечения, а меня - природа
      OJ> остеолизиса, потому, что механическая часть особого труда не
      OJ> представляет. Поэтому надо сначала, на мой взгляд поставить диагноз.

      На сегодня заключение рентгенолога - монолокальная монооссальная фиброзная дисплазия.
      IMHO можно с достаточной уверенностью полагать, что это не опухоль и не инфекция, остальное с точки зрения тактики вряд ли значимо, поскольку лечение потребуется "синдромологическое", а не
      этиопатогенетическое.

      OJ> За точку отсчёта при планировании коррекции надо взять латеральный
      OJ> снимок в максимальном стрессе на разгибание. Остеотомию необходимо
      OJ> произвести тот час дистальнее места прикрепления собственной связки

      Спасибо за важные соображения.

      OJ> Но прежде всего - дообследование, включая и биопсию.

      Сегодня направили пациентоку на биопсию.

      [ Ответить ]
    Re: Деформация голени
    Дрягин В. 21 Октябрь 2005, 01:33
    Уважаемый Алесандр.Случай чрезвычайно интересный.По поводу обследования Вам дали на мой взгляд полный ответ.А вот поподу исправления деформации надо подумать.Исправлять её при помощи наружно фиксатора вообщем то не сложно но костный дефект надо чем то заполнять.Поэтому обойтись только одноной микро кортикотомией Вам не удастся.Поэтому сегодня имеются специальные пластины LCPназываются Tomofix.Они для этого и предназначены.Пластина имеет потрясающую стабильность и Вам удастся полность закрыть дефект трансплантатом.А может и блочным хроносом надо подумать.Да кстати как правило пластину практически не нужно моделировать она полность естественно в средних размерах повторяет все изгибы этой области к ней даже имеется специальная таблица картинка для рассчёта остеотомии и коррекции.
    [ Ответить ]


    ( Ответить )

    Powered by Zope  Squishdot Powered MedLink
    Посетитель: 0403264
      "По форме правильно, а по существу - издевательство" В.И.Ленин
    ©2001-2019Orthoforum Coordinator.
    [ Главная | Отправить сообщение | Поиск | Админ ]