AOTRAUMA.ORG Центр Илизарова  

Ортопедия и травматология Общие вопросы/General questions Help Информационные технологии в медицине
 вверх
 отправить
 поиск
 админ
 главная
 Предыдущее


Re: bone defect
Castro 03 Декабрь 2005, 19:49
Hi Dr. Firas Berro
This Patient have to be treated by using Ilizarov bifocal bone transport, aproximatly as showen here.




Your Dr. Castro
  • Сообщения о Ортопедия и травматология
  • Также Castro
  • Связаться с автором
  • Ответить

    Re: bone defect
    Firas Berro 04 Декабрь 2005, 11:57
    Thanks for your response

    One more question:

    If im going to do ilizarov trans osseous osteo synthesis with distraction
    at two metaphyseal corticotomies, some suggest to take only half of each
    metaphysis\to make faster bone bridge?\

    Should here do this or just do it by classic way\the whole bone\

    Thx in advance

    Regards

    Dr.Firas Berro
    [ Ответить ]

    • Re: bone defect
      Отправитель: Alexander Chelnokov 04 Декабрь 2005, 13:04
      DFB> If im going to do ilizarov trans osseous osteo synthesis with distraction
      DFB> at two metaphyseal corticotomies, some suggest to take only half of each
      DFB> metaphysis\to make faster bone bridge?\

      I am not sure what exactly do you mean about "to take only half of each metaphysis". It is reasonable to perform transport from both ends.
      Levels and direction of osteo/corticotomy lines can be discussed - but more detailed images are necessary (loks like initial ones were taken with a mobile phone).

      In general all techniques you listed in the initial message like fibula latero-medial transport, fibula splitting also can do the job and i don't have evidence which approach is more quick/effective/comlicated.

      DFB> Should here do this or just do it by classic way\the whole bone\

      I would insert a solid titanium locked nail immedialtely after docking. So i would plan previous steps to be done that way not to make additional difficulties for nail insertion, particularly to provide medullary canal in transported fragments. So my choice would be to forget the fibula and do metaphyseal perQ osteotomy of the tibia, transverse or close to, and bone transport. Frame assembly can be discussed if necessary.

      [ Ответить ]
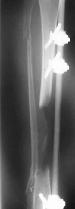
    Re: bone defect
    Bill Burman 04 Декабрь 2005, 12:02
    from case archives - also see Ilizarov split fibula
    "fibula pro tibia" transfer for segmental tibia defects
    [ Ответить ]


    ( Ответить )

    Powered by Zope  Squishdot Powered MedLink
    Посетитель: 0012695
      "По форме правильно, а по существу - издевательство" В.И.Ленин
    ©2001-2019Orthoforum Coordinator.
    [ Главная | Отправить сообщение | Поиск | Админ ]