вверх
отправить
поиск
админ
главная
|
Повреждение таранной кости |
 |
 |
 |
Отправлено Djoldas Kuldjanov, M.D. 10 Январь 2006, 22:03
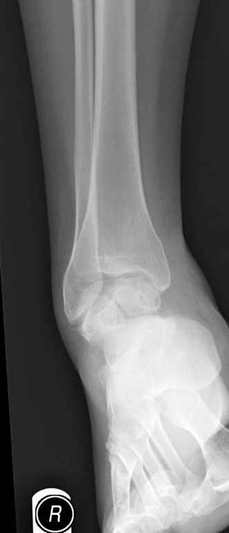
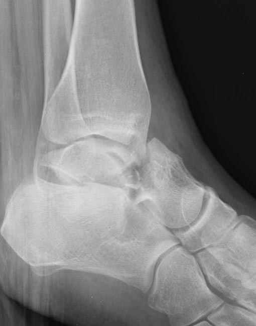
Уважаемые участники русского Ортофорума, поздравляю всех со всеми прошедшими праздниками: Новым годом, Рождеством, Hanukkah, Kwanzaa, желаю участникам всего наилучшего и здоровья.Повреждение таранной кости.Больной 81г автоавария, повреждение таранной кости, здесь снимки. Какие рекомендации?Djoldas Kuldjanov, MDDepartment of Orthopedic SurgerySt. Louis University Medical Center
<
|
>
|
|
Ответить
|
Re: Повреждение таранной кости
Ерохин А, В, 11 Январь 2006, 00:55
|
Вообще то мало данных: торчит ли осколок под кожей, сопутствующая паталогия (атеросклероз, диабет), сколько времени прошло после травмы? Я думаю, что в данном случае можно ограничиться или небольшим вмешательством вплоть до удаления дистального отломка из небольшого разреза, или наложением аппарата с дистракцией переднего отдела стопы в эквинусе, может быть удастся этот отломок и вправить. Опорная функция в любом случае должна сохраниться при любом варианте лечения, не думаю что будет страдать кровоснабжение таранной кости. Я когда то удалил дистальную половину таранной кости, с последующим анкилозированием в тарано-ладьевидном суставе, хотя более опытные товарищи советовали провести астрагалэктомию, но тем не менее тогда результат оказался хороший. Конечно объязательно назначение препаратов улучшающих микроциркуляцию, противоотечная терапия и т.п. Удачи.
|
[
Ответить ]
|
Re: Повреждение таранной кости
Evgueny Tschekashkine 12 Январь 2006, 20:42
|
Уважаемый Джолдас,
Спасибо за поздравления и вам здоровья и благополучия в наступившем году!
В декабре у меня был пациент с политравмой и аналогичным повреждением тарана с подвывихом в таранно- ладьевидном суставе, единственное отличие - отломок головки тарана был меньше по размеру и фрагментирован, поэтому его фиксация была невозможна.
Для доступа к задне-медиальному суставному фрагменту я выполнил косую остеотомию внутренней лодыжки у её основания -получается хороший доступ к голеностопу, адекватный обзор и возможность восстановить суставную поверхность. фрагмент фиксировал двумя 3,5 мм спонгиозными винтами с неполной резьбой, *утопив* головки винтов в кость. Аналогичная фиксация и двумя тягловыми винтами и внутренней лодыжки. \в качестве альтернативы для
фиксации фрагмента тарана можно было бы использовать и герберт винты, но по организационным причинам :-(( набора не оказалось под рукой).
Вывих в таранно-ладьевидном суставе удалось вправить с помощью Howard retractor, используя его в качестве рычага.Сегодня искал в рентген архиве
послеоперационные снимки, чтобы показать, но тщётно, видимо, больной прихватил их с собой.
Помимо повреждения тарана у больного был ипсилатеральный перелом ключицы и множественные ребра с гемотораксом, перелом локтевого отростка ( фиксация по Веберу в ту же сессию)с другой стороны, что казалось бы должно было осложнить активизацию с помощью костылей, но невзирая на это, больной начал ходить, приступая на оперированную стопу и попросился на выписку.
Видимо, интенсивность болей в оперрованной стопе была незначительной или вполне умеренной,позволяющая частично нагружать стопу при ходьбе.
Повторный осмотр назначил через 2 мес с момента операции. Отдаленных наблюдений такого подхода у меня нет( достаточно редкий тип повреждений таранаHawkins II), но наблюдения в ближайшем послеоперационном периоде выглядели вполне прилично, на мой взгляд.
Хотелось бы знать, что вы решили для этого пациента (наверняка уже прооперировали)
Всего доброго,
Евгений Чекашкин
|
[
Ответить ]
|
Re: Повреждение таранной кости
Djoldas Kuldjanov 19 Январь 2006, 22:36
|

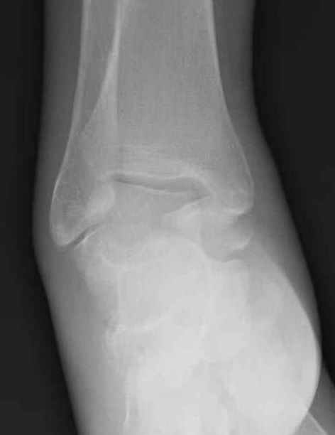
Вдогонку по поводу перелома таранной кости, больная 81, не страдает диабетом, перелом закрытый, в первый же день поступления ограничились временным наружным фиксатором (как на снимке).
Планировалась открытая фиксация после спадения отека, но больная пожелала лечиться по месту жительству в другом штате..
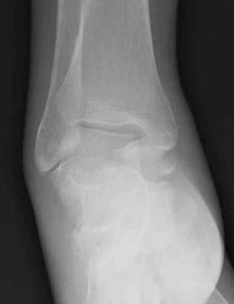
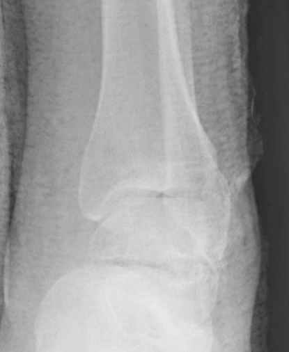
За пару недель насчитал 5 больных с переломом таранной кости, из них двое с двусторонним повреждением.
Из-за отека на стопе тактика лечения у всех была
одинаковая: временная наружная фиксация до спадения отека, при изолированных переломах они выписывались домой и через дней 7 госпитализировались на оперативное лечение.
Примеры на снимке...
Djoldas Kuldjanov, MD
Department of Orthopedic Surgery
St. Louis University Medical Center
|
[
Ответить ]
|
( Ответить )
|
|