ВХОД ДЛЯ ПАЦИЕНТОВ
вверх
поиск
админ
главная
исходное
|
Re: Разрыв симфиза
послал Djoldas Kuldjanov 19 Январь 2006, 22:59
|

Выбор метода фиксации переломов симфиза зависит не только от опыта врача и традиций, установленных в о тделении, но и от характера повреждения. Например, к изолированным повреждениям симфиза у рожениц подходы другие, нежели к повреждениям симфиза с разрывом тазового кольца в результате высокоэнергетической травмы.
Насчет проволочной (серкляжной) фиксации из-за отсутствия опыта ничего не могу добавить, но неоднократно наблюдал несостоятельность не только после проволочной фиксации, но и после фиксации пластинами, иногда трудно представить взаимодействия тазовых сил.
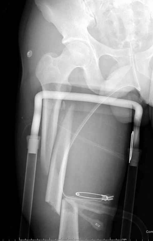
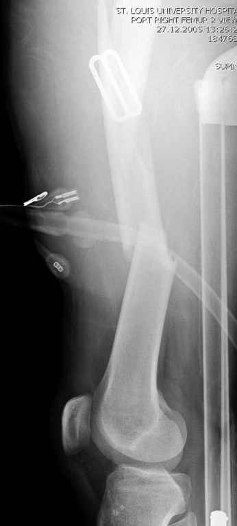
Здесь слайды случая больного с политравмой, включающей сегментарный перелом бедра и повреждение таза с нарушением тазового кольца, разрыв симфиза и перелома крестца зон 2 и 3.
На множественных слайдах важные моменты операции. Хотел бы подчеркнуть, как важно иметь возможности всех необходимых ренгенограмм, включая компютерную томографию и стандартных внутритазовых рентгенограмм (инлет и оутлет).
Djoldas Kuldjanov, MD
Department of Orthopedic Surgery
St. Louis University Medical Center
|
| Послать ответ |
Обратите внимание: Поля с жирными названиями обязательны.
Старайтесь отвечать в рамках обсуждаемой темы, а не начинать новые обсуждения.
Указывайте адекватную тему сообщения, чтобы было ясно, о чем оно.
Не послайте сообщений не по теме (оффтопик), раздраженных, грубых или обидных комментариев. Здесь это неуместно.
|