Ответить
|
Re: Разрыв симфиза
Максим Агалаков 17 Январь 2006, 10:00
|
Лучше ознакомиться сначала с уже существующими решениями проблемы, чтобы не изобрести велосипед. ответить на такой воопрос "вобще", наверное, невозможно.
P.S. Если не секрет, почему вас посетила такая мысль?
С уважением Агалаков М.В. Уральский НИИ травматологии и ортопедия.
|
[
Ответить ]
|
Re: Разрыв симфиза
Георгий 17 Январь 2006, 17:41
|
Я ознакомлен с уже существующими методами лечения,дело в том что слишком мало информации о проблемах возникающих при их использовании, мне бы очень хотелось узнать о них от людей непосредственно проводящих операции,на сколько надежны пластины которые сейчас используют ,каковы их недостатки.
|
[
Ответить ]
|
Re: Разрыв симфиза
Отправитель: Alexander Chelnokov 17 Январь 2006, 19:02
|
Пока Ваш вопрос требует слишком пространного ответа. Рассчитывать на то, что за Вас кто-то будет проводить информационный поиск - это заведомо злоупотреблять любезностью участников. Поэтому покажите, что Вы работали над проблемой, что удалось найти, и что не получается. В частности, про какие конкретно пластины Вы уже прочитали? Про какие другие способы фиксации? Что и где читали? Какие сетевые и обычные ресурсы использовали? Что именно Вам предстоит делать? То есть каковы цель и задачи Вашей работы? Когда будет ясен конкретный контекст, можно будет ответить коротко и по существу.
|
[
Ответить ]
|
Re: Разрыв симфиза
Отправитель: Ельцин Александр 17 Январь 2006, 21:11
|
А почему Вы решили, что для лечения этих повреждений нужна пластина.
Хотите решить эту проблему, начните "от печки" - ознакомтесь с нормальной анатомией данной области скелета человека, с особенностями строения и т.д. тогда, может быть тогда и предете к ответам на Ваши вопросы.
Успехов.
|
[
Ответить ]
|
Re: Разрыв симфиза
Отправитель: Alexander Chelnokov 19 Январь 2006, 22:47
|

Приветствую, Михаил,
Wednesday, January 18, 2006, 5:23:57 AM, you wrote:
МЯМ> Неудачное место вы выбрали. Проблема давно и просто решена дедушкой
МЯМ> Мюллером: два шурупа и серкляж.
Что-то такое подразумевается? См. приложение...
"Многие сложные проблемы имеют простые и легкие для понимания неправильные решения".
ЕА>>А почему Вы решили, что для лечения этих повреждений нужна
ЕА>>пластина...
МЯМ> Александр в отличие от Бориса прав!
Есть, есть пока там место пластинам... Георгий ведь еще свою работу не завершил.
|
[
Ответить ]
|
Re: Разрыв симфиза
Отправитель: Alexander Rykov 19 Январь 2006, 22:50
|
Привет всем. С пластинами случается тоже самое, так как ключ к решению проблемы спереди - находится увы сзади.
Александр Николаевич! Доктор Раров Андрей Анатольевич собирает котомку и готовится к ВАМ на учебу в середине февраля (с 20.02.06) Если можно. Принимает заявки на ??? Про тусовку ДЕОСТа ничего не ведаю. С приветом
А Рыков. Хабаровка. Еще гвоздик один поставили.
|
[
Ответить ]
|
Re: Разрыв симфиза
Отправитель: Alexander Chelnokov 21 Январь 2006, 02:08
|
РАГ> ключ к решению проблемы спереди - находится увы сзади.
Так нечестно! Вы знали! ;-))
РАГ> Александр Николаевич! Доктор Раров Андрей Анатольевич собирает котомку и
РАГ> готовится к ВАМ на учебу в середине февраля (с 20.02.06) Если можно.
Да, оргметодотдел я предупредил.
РАГ> Принимает заявки на ??? Про тусовку ДЕОСТа ничего не ведаю.
Анонс здесь был 20 декабря. Буклет лежит тут.
РАГ> Еще гвоздик один поставили.
Коллеги из краевых больниц N1 и 2 приглядываются уже?
|
[
Ответить ]
|
Re: Разрыв симфиза
Отправитель: Vitaly Kazennov 21 Январь 2006, 02:10
|
> Коллеги из краевых больниц N1 и 2 приглядываются уже?
А то!
С уважением,
Казённов
|
[
Ответить ]
|
Re: Разрыв симфиза
Отправитель: Alexander Rykov 21 Январь 2006, 02:28
|
Приветствую, Александр Николаевич,
РАГ>> ключ к решению проблемы спереди - находится увы сзади.
> Так нечестно! Вы знали! ;-))
Так это же старая школьная загадка - "чтобы спереди погладить - нужно сзади полизать". Не ищите сравнений в нашей практике .... Это.....почтовая марка. Конечно знал - так как сам так влетел дважды - и с серкляжом, и с пластиной.
> РАГ> Еще гвоздик один поставили.
>
> Коллеги из краевых больниц N1 и 2 приглядываются уже?
>
Конечно же приглядываются и делают, и это здорово, поменьше уродиков глядишь будет.
Best regards, A. Rykov.
|
[
Ответить ]
|
Re: Разрыв симфиза
Отправитель: Михаил Яковлевич Малиновский 21 Январь 2006, 02:23
|
МЯМ>> Неудачное место вы выбрали. Проблема давно и просто решена дедушкой
МЯМ>> Мюллером: два шурупа и серкляж.
Но IMHO считаю, что недостатком применения пластин в этой области является именно не физиологическая стабилизация, которая нередко приводит к перелому оных или расшатыванию винтов. Таких картинок ни у кого нет.
AC> Что-то такое подразумевается? См. приложение...
AC> "Многие сложные проблемы имеют простые и легкие для понимания
AC> неправильные решения".
Александр Николаевич при всём моём глубоком уважении, несколько формальный подход. Серкляж разорван, так и на локтевых отростках рвут и на бедре пластины гнут, однажды даже видел погнутый аппарат Илизарова, но там д.т.п. было.
МА> Некорректно рассматривать изолированно проблему разрыва
МА> симфиза без учета варианта поврждения таза.
Вот тут уж крыть нечем. И как подтверждение цитата.
"By far the greatest proportion of load goes through the posterior ring structures, giving them the key role when pelvic stability is assessed."- T. P. Ruedi W. M. Murphy "AO Principles of Fracture Management."
А посему имеет смысл при нестабильности тазового кольца фиксировать крестцово-подвздошное сочленение или применить для стабилизации аппарат внешней фиксации.
Георгий, таким наверное должно было быть моё первое письмо.
--
С глубоким уважением,
Михаил Я. Малиновский
|
[
Ответить ]
|
Re: Разрыв симфиза
Отправитель: Maxim Agalakov 19 Январь 2006, 22:49
|
Дело в том, что проблему лечения (фиксации) повреждения симфиза нельзя рассматривать изолированн от повреждения таза. существует принцип разумной достаточности фиксации. кроме пластин есть и другие импланты.
|
[
Ответить ]
|
|
Re: Разрыв симфиза
Евгений Львович Паклин 17 Январь 2006, 23:15
|
Вы не могли бы уточнить, студентом какого замечательного технического вуза вы являетесь?
Эта тема интересна для нас и мы могли бы объединить усилия.
Евгений Львович Паклин
НПО "ДЕОСТ"
e-mail paklin(at)deost.ru
|
[
Ответить ]
|
Re: Разрыв симфиза
Djoldas Kuldjanov 19 Январь 2006, 22:59
|

Выбор метода фиксации переломов симфиза зависит не только от опыта врача и традиций, установленных в о тделении, но и от характера повреждения. Например, к изолированным повреждениям симфиза у рожениц подходы другие, нежели к повреждениям симфиза с разрывом тазового кольца в результате высокоэнергетической травмы.
Насчет проволочной (серкляжной) фиксации из-за отсутствия опыта ничего не могу добавить, но неоднократно наблюдал несостоятельность не только после проволочной фиксации, но и после фиксации пластинами, иногда трудно представить взаимодействия тазовых сил.
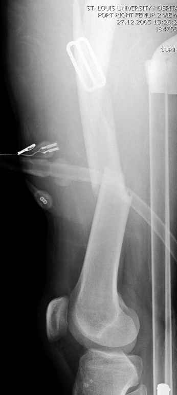
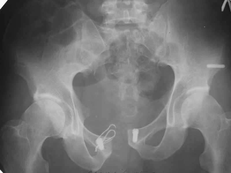
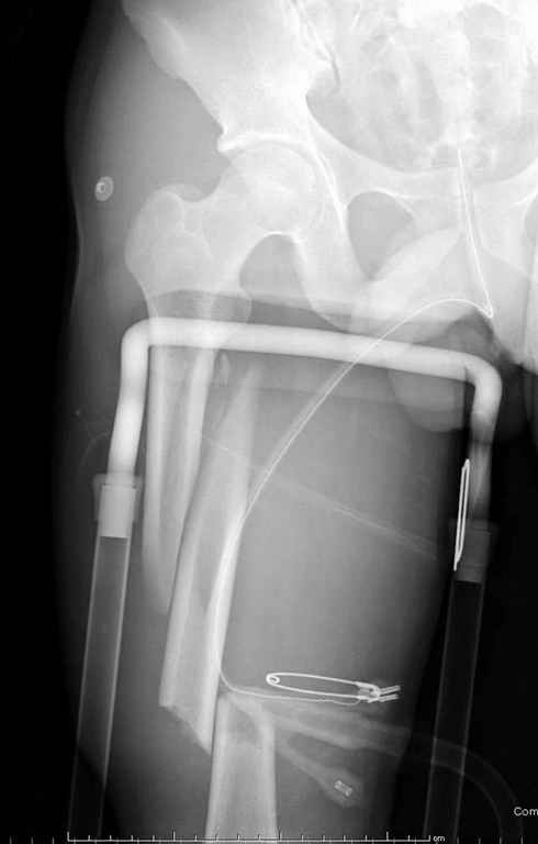
Здесь слайды случая больного с политравмой, включающей сегментарный перелом бедра и повреждение таза с нарушением тазового кольца, разрыв симфиза и перелома крестца зон 2 и 3.
На множественных слайдах важные моменты операции. Хотел бы подчеркнуть, как важно иметь возможности всех необходимых ренгенограмм, включая компютерную томографию и стандартных внутритазовых рентгенограмм (инлет и оутлет).
Djoldas Kuldjanov, MD
Department of Orthopedic Surgery
St. Louis University Medical Center
|
[
Ответить ]
|
( Ответить )
|
|