AOTRAUMA.ORG Центр Илизарова  

Ортопедия и травматология Общие вопросы/General questions Help Информационные технологии в медицине
 ВХОД ДЛЯ ПАЦИЕНТОВ
 вверх
 поиск
 админ
 главная
 исходное


Re: Консолид. перелом г/ стопного
послал Djoldas Kuldjanov 11 Март 2006, 09:51

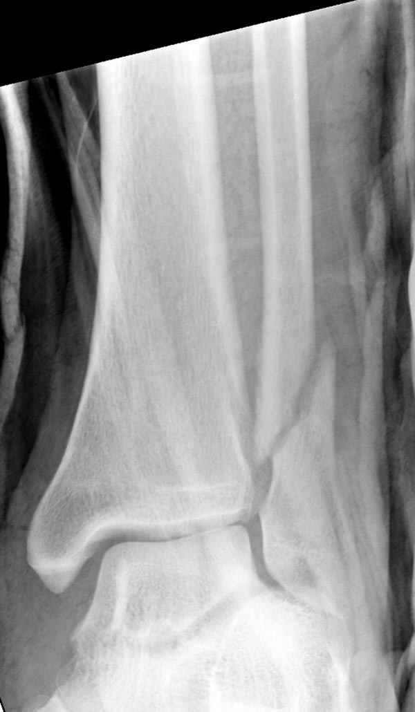
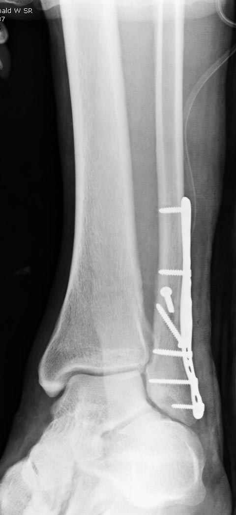
Тему неоднократно разбирали (см. архив), как всегда, недостаточны ренгенологические исследования - кроме прямого и боковых снимков, еще нужна косая ренгенограмма для определения ankle mortise, без мортиз снимка трудно определить высоту и ротацию малоберцовой. (снимки)
Ренгенология даст ответ как классифицировать перелом, на сегодня применяется классификация “Lauge Hansen fracture classification SER supination-external rotation или supination-eversion classification Danis
Weber А, В, С.”
SER 1: AITFL (anterior inferior tibia-fibula ligament injury)
SER 2: + LM (lateral malleolus fracture)
SER 3: + PITFL ? Fx (either a posterior malleolar
avulsion or a disruption of the posterior inferior
tibio-fibular ligament).
SER 4: + Medial (deltoid ligament disruption or medial malleolar avulsion).

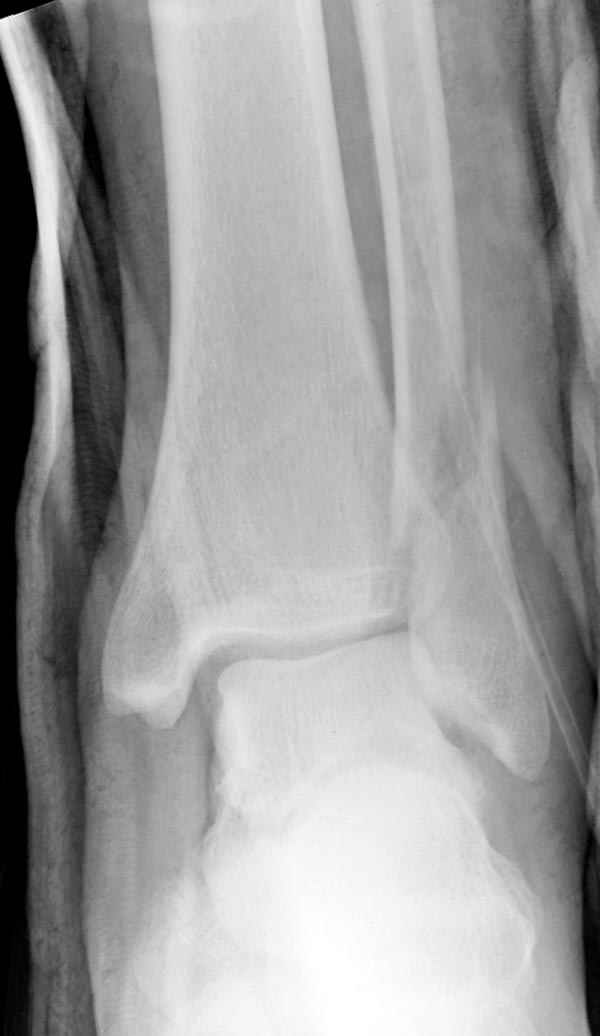
Показания для фиксации: укорочения и ротация малоберцовой, особенно обращают внимание на любой подвывих таранной кости: неустраненый подвывих впоследствии приводит к раннему артрозу. Задний край фиксирует тогда, когда перелом составляет около 25% суставной поверхности голеностопного сочленения и смещение более 2мм.
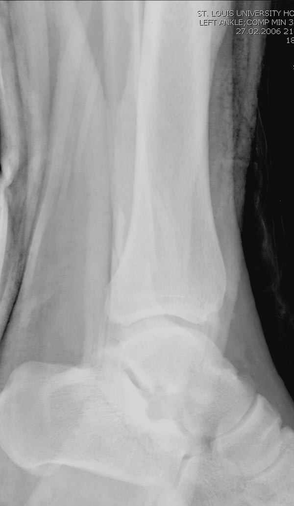
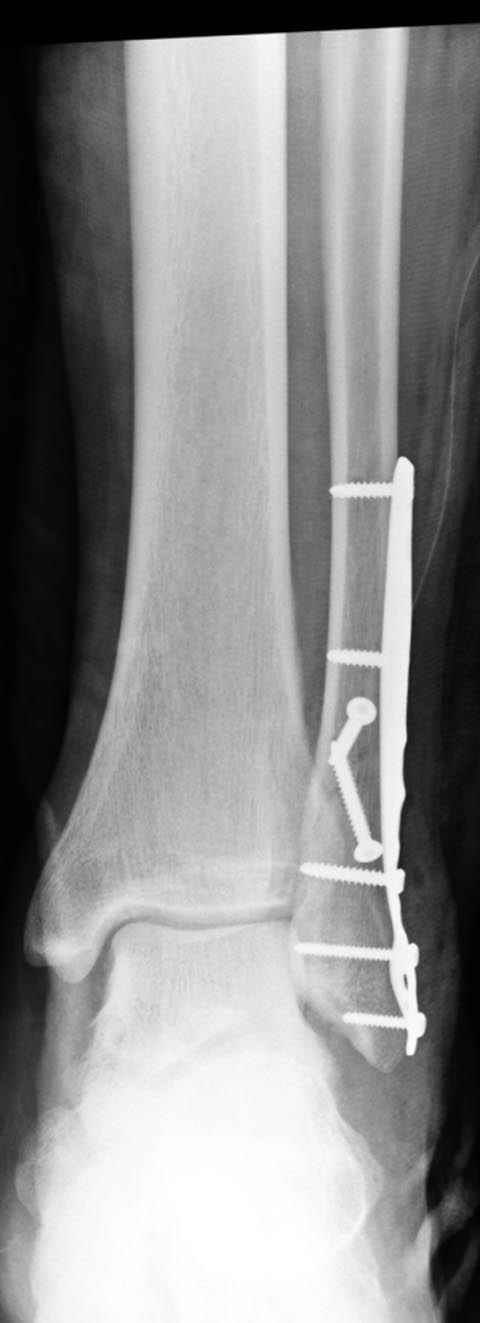
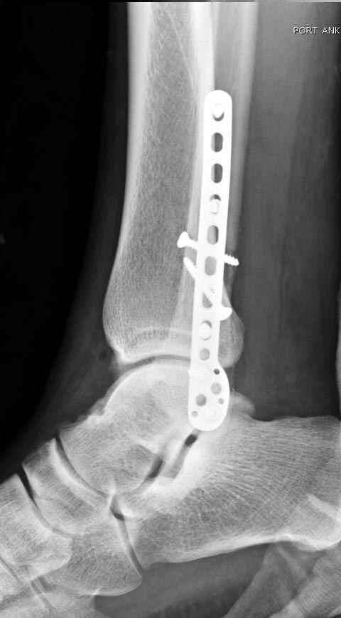
По снимку ваш случай относится к Weber В, фиксацию производят восстановлением длины малоберцовой кости, под ренгеном (ЭП)контролем, для этого я предпочел бы латеральный доступ, остеотомия по линии перелома, удлинение малоберцовой засчет скоса линии остеотомии, компрессия “lag technique”по линии остеотомии и фиксацию провести латеральной пластиной. Отдельный задний доступ, остеотомия по линии перелома, репозиция и фиксация заднего края вашим предпочтительным методом: 3.5мм шурупом с шайбой или пластиной Antiglide Butress
method. При восстановленном суставе, уменьшится медиальная щель, а при Weber В повреждается только передне-нижняя межберцовая связка синдесмоза, повреждение которой приводит к наружной ротации
малоберцовой, но после восстановления всех смещений, связка автоматический приближается к исходному и нет необходимости восстановления синдесмоза.
Здесь линк к лекциям и снимкам случаев, хотя лекции устаревшие, но принцип лечения остается прежними, за исключением сегодняшних пластин с угловой стабильностью для наружной лодыжки, анатомически преконтурные и делятся на правые и левые, и еще бывают задние и наружные.

http://www.hwbf.org/ota/bfc/white/exp.htm
http://www.hwbf.org/ota/bfc/rutl1/exp.htm
http://www.hwbf.org/ota/bfc/traft2/exp.htm

Удачи и с уважением,

Djoldas Kuldjanov, MD
Department of Orthopedic Surgery
St. Louis University Medical Center
Послать ответ

Имя
Email
Уведомление Сообщить мне по e-mail об ответах на это сообщение
Название
Комментарий
(Проверьте URL! Не забудьте написать http://!)
Кодировка
Если не знаете, что выбрать, выберите "Просто текст"!
Приложение
Можно приложить к сообщению файл c изображением, который затем будет доступен увидевшим сообщение.
Подготовка иллюстраций:
  • Рентгенограммы: черно-белые полутоновые изображения в формате JPEG (8 bit, greyscale) с разрешением от 300х200 до 1024х768 пикселов;
  • Клинические фотографии: полноцветные изображения в формате JPEG (24 bit, truecolor) с разрешением от 300х200 до 1024х768 пикселов;
  • Схемы и рисунки: черно-белые (2 bit) штриховые (line-art) изображения в формате GIF или compressed TIFF
  • Подберите степень сжатия файла JPEG и размер изображения таким образом, чтобы необходимые детали были различимы, но размер файла не превышал 75 кб.
  • Учтите, что текущая версия программного обеспечения Форума позволяет приложить к одному сообщению лишь один файл-вложение. Поэтому, если необходимо отправить несколько изображений, можно либо послать каждое как отдельное сообщение, либо в графическом редакторе объединить изображения в одно (сделать коллаж).
  • Если при подготовке изображений встречаются трудности, не стесняйтесь обратиться к координатору Форума.

  • Введите видимые символы в обратном порядке. Enter the above characters in reverse order (*Обязательно)
    В тексте сообщения можно использовать теги HTML <B> <I> <P> <A> <LI> <OL> <UL> <EM> <BR> <TT> <HR> <STRONG> <BLOCKQUOTE> <DIV .*> <DIV> <P .*>
  • Обратите внимание: Поля с жирными названиями обязательны.
  • Старайтесь отвечать в рамках обсуждаемой темы, а не начинать новые обсуждения.
  • Указывайте адекватную тему сообщения, чтобы было ясно, о чем оно.
  • Не послайте сообщений не по теме (оффтопик), раздраженных, грубых или обидных комментариев. Здесь это неуместно.
  • Powered by Zope  Squishdot Powered MedLink
    Посетитель: 0000095
      "По форме правильно, а по существу - издевательство" В.И.Ленин
    ©2001-2019Orthoforum Coordinator.
    [ Главная | Отправить сообщение | Поиск | Админ ]