Ответить
|
Re: Консолид. перелом г/ стопного
Лукавин Руслан 10 Март 2006, 11:11
|
Мне кажется, что не помешало бы укрепить голеностоп одним компресирующим винтом через синдесмоз в дополнение к кортикальным винтам пластины. Но нужен дополнительный разрез на противоположной стороне (если идете по задне-латеральному доступу). Так что если думать о функциональности - этот вариант более премлим (по моему мнению). Но если думать о косметическом результате (Вы же вроде подчеркнули, что девушка симпатичная) - тогда Вам решать, так как фото самой девушки Вы не вложили ;-)
Удачи.
|
[
Ответить ]
|
Re: Консолид. перелом г/ стопного
Влад 10 Март 2006, 14:35
|
8 месяцев назад такой же перелом мне довелось лечить из заднего даступа. произведён МОС 2мя винтами заднего края и из этого же доступа получилось синтазировать малоберцовую кость пластиной на 4 винтах. однако снимков на руках и в электронном виде не сохранилось. месяц назад удалена пластина, а винты, фиксирующие задний край, я не трогал. Правда моей девушке было около 55 лет? так же я бы провел и компрессирующий винт для пластики ДМБС. так что делайте как вам удобно.
|
[
Ответить ]
|
Re: Консолид. перелом г/ стопного
Djoldas Kuldjanov 11 Март 2006, 09:51
|
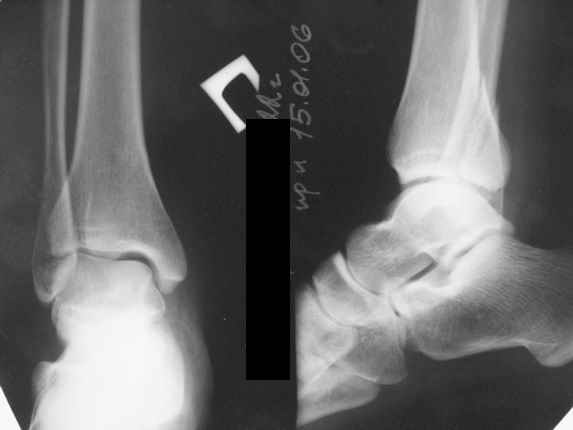
Тему неоднократно разбирали (см. архив), как всегда, недостаточны ренгенологические исследования - кроме прямого и боковых снимков, еще нужна косая ренгенограмма для определения ankle mortise, без мортиз снимка трудно определить высоту и ротацию малоберцовой. (снимки)
Ренгенология даст ответ как классифицировать перелом, на сегодня применяется классификация “Lauge Hansen fracture classification SER supination-external rotation или supination-eversion classification Danis
Weber А, В, С.”
SER 1: AITFL (anterior inferior tibia-fibula ligament injury)
SER 2: + LM (lateral malleolus fracture)
SER 3: + PITFL ? Fx (either a posterior malleolar
avulsion or a disruption of the posterior inferior
tibio-fibular ligament).
SER 4: + Medial (deltoid ligament disruption or medial malleolar avulsion).
Показания для фиксации: укорочения и ротация малоберцовой, особенно обращают внимание на любой подвывих таранной кости: неустраненый подвывих впоследствии приводит к раннему артрозу. Задний край фиксирует тогда, когда перелом составляет около 25% суставной поверхности голеностопного сочленения и смещение более 2мм.
По снимку ваш случай относится к Weber В, фиксацию производят восстановлением длины малоберцовой кости, под ренгеном (ЭП)контролем, для этого я предпочел бы латеральный доступ, остеотомия по линии перелома, удлинение малоберцовой засчет скоса линии остеотомии, компрессия “lag technique”по линии остеотомии и фиксацию провести латеральной пластиной. Отдельный задний доступ, остеотомия по линии перелома, репозиция и фиксация заднего края вашим предпочтительным методом: 3.5мм шурупом с шайбой или пластиной Antiglide Butress
method. При восстановленном суставе, уменьшится медиальная щель, а при Weber В повреждается только передне-нижняя межберцовая связка синдесмоза, повреждение которой приводит к наружной ротации
малоберцовой, но после восстановления всех смещений, связка автоматический приближается к исходному и нет необходимости восстановления синдесмоза.
Здесь линк к лекциям и снимкам случаев, хотя лекции устаревшие, но принцип лечения остается прежними, за исключением сегодняшних пластин с угловой стабильностью для наружной лодыжки, анатомически преконтурные и делятся на правые и левые, и еще бывают задние и наружные.
http://www.hwbf.org/ota/bfc/white/exp.htm
http://www.hwbf.org/ota/bfc/rutl1/exp.htm
http://www.hwbf.org/ota/bfc/traft2/exp.htm
Удачи и с уважением,
Djoldas Kuldjanov, MD
Department of Orthopedic Surgery
St. Louis University Medical Center
|
[
Ответить ]
|
Re: Консолид. перелом г/ стопного
Антон Андрианов 11 Март 2006, 12:38
|
Коллега Кульджанов,
Респект! Ответ исчерпывающий. Ссылка на лекции хорошая, но не сочтите за труд-поясните как ее открывать. Дальше меню у меня дело не идет.
|
[
Ответить ]
|
Re: Консолид. перелом г/ стопного
Отправитель: Середа андрей Петрович 11 Март 2006, 17:48
|
Да все отлично открывается, лекции замечательные, спасибо.
|
[
Ответить ]
|
Re: Консолид. перелом г/ стопного
Отправитель: Alexander Chelnokov 11 Март 2006, 17:55
|
В левом нижнем фрейме кнопочки со стрелками вперед и назад. А если нажмете кнопку Exit, выйдете в оглавление Basic Fracture Course.
|
[
Ответить ]
|
|
Re: Консолид. перелом г/ стопного
Александр Нагога 11 Март 2006, 17:19
|
Уважаемый Алексей, Мне кажется, что за 6 недель прочного сращения еще не наступило и Вам удастся мобилизовать все фрагменты через два доступа, а к Вашему плану операции я бы еще добавил стягивающий межберцовый винт (4.5 мм.) через 3 или 4 отверстие пластины или даже болт стяжку через пластину на малой берцовой (доступ по заднему краю м.б. кости).
А в целом оперативное лечение застарелых повреждений голеностопа - такая непредсказуемая работа, так что, желаю успеха!
С уважением, Александр Нагога.
|
[
Ответить ]
|
Re: Консолид. перелом г/ стопного
Ильин Вадим 13 Март 2006, 00:45
|
Однозначно- остеотомия наружной лодыжки(ковырять линию перелома через 6 неделль ни к чему). В отношении дельтовидной связки - в 6- недельныйсрок её разрыв прекрасно виден и подлежит ушиванию как с позиции травматолога так и биомеханика.Советую сделать латеральный и медиальный доступы, контрольную рентгенографию или ЭОП-контроль после завершения основных этапов операции до зашивания ран , что может уберечь от ошибок, в частности при интерпозиции дельтовидной связки в сустав, которую визуально, при операции не видно.
|
[
Ответить ]
|
Re: Консолид. перелом г/ стопного
Сергей 13 Март 2006, 03:49
|
Один задний доступ - тогда расширенный, но из него нелегко выделить отломки наружной лодыжки. Остеотомия малоберцовой кости не понадобиться, линия перелома видна отчетливо и срок в 6 недель не так велик, выделить отломки труда не составит.Труднее с задним краем, тем более из одного доступа. Если синтезируете наружную лодыжку пластиной, а задний край винтом, то конечно никаких стяжек ДМБС не требуется, он уже будет восстановлен. Дельтовидная связка судя по первичным снимкам должна быть интактна, проверьте во время операции под ЭОП-контролем.
Р.S. болт-стяжка на мой взгляд должен стать историей, он затягивает таран в тиски, и абсолютно ригиден, целесообразнее использовать обычный маллеолярный винт через пластину или шайбу, который своей резьбой фиксируется на внутреннем кортексе тибиа, или короткий винт через наружную лодыжку в наружный кортекс тибиа с исключением нагрузки на 6 недель и все.
|
[
Ответить ]
|
Re: Консолид. перелом г/ стопного
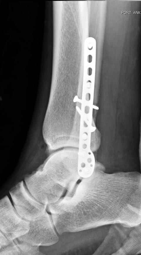
Алексей Минервин 16 Март 2006, 17:06
|

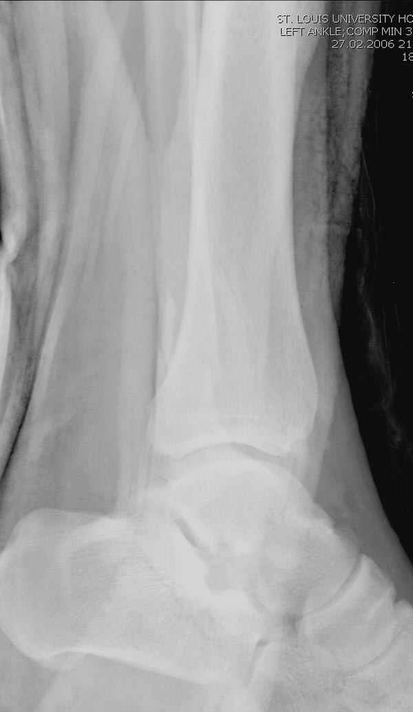
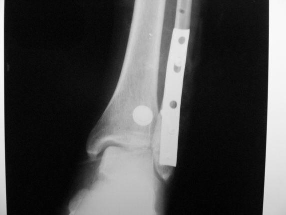
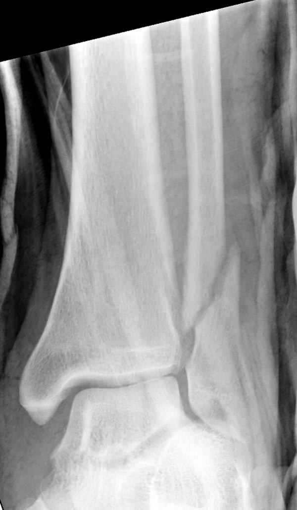
Уважаемые коллеги! Как и обещал, представляю плоды своей работы. Хвалиться особо нечем. Пошли задним
доступом сначала к м/берцовой кости, благодаря смещению линию перелома удалось сразу дифференцировать и по ней узким долотом (без молотка) мобилизовали отломки. Затем выделили задний край, там было проще пройти по линии перелома. Далее пластина по задней поверхности в дистальный отломок, винт проксимальнее пластины и дистрактором с трудом растянули отломки, ощущение было идеальной репозиции м/берцовой кости( доступен осмотр по задней и наружной поверхности), далее винты стандартно. Кстати, положение больной на боку: очень неудобно, но по-другому потом не повернуть на спину, чтобы сделать снимки в стандартных проекциях (ЭОПа нет). Затем дистрактор (два полукольца, спицы), репозиция заднего края, спонгиозный винт с шайбой, слишком проксимально, поэтому + еще один. Доступ к дельтовидной связке: рубец в передней порции, частично иссечен, шов. В общем, длительность операции 3,5 часа, а сказать, что все задуманное получилось, не могу.
А.Минервин.
|
[
Ответить ]
|
Re: Консолид. перелом г/ стопного
Отправитель: Djpldas Kuldjanov 16 Март 2006, 17:11
|
Отличная, грамотная работа, поздравляю, я бы держал в гипсовой повязке до трех недель, затем разработку сустава без нагрузки, нагрузку при такой фиксации,
думаю, можно начать в 6 недель.
|
[
Ответить ]
|
Re: Консолид. перелом г/ стопного
Отправитель: Андрей Капустин 16 Март 2006, 17:15
|
Все таки нужно было стянуть ДМС. Судя по снимкам остался подвывих.
--
С уважением,
Andrew
|
[
Ответить ]
|
Re: Консолид. перелом г/ стопного
Отправитель: Alexander Chelnokov 16 Март 2006, 17:18
|
Да все прилично получилось, и случай ведь запоздалый, так что все труднее было, чем обычно. Так что присоединяюсь к поздравлениям!
|
[
Ответить ]
|
Re: Консолид. перелом г/ стопного
Отправитель: дмитрий бондарь 23 Март 2006, 21:50
|
был подобный случай,но через 5мес.из латерального доступа остеотомия н.лодыжки,низведение ее,затем иссечение рубцов из зоны синдесмоза.остеосинтез3\трубчатой пластиной +маллеолярный винт чтоб вилку сжать. 10 сут гипсовая лонгета затем ЛФК через 1мес.отека нет (а до того был)движения практически в полном объеме нагружать разрешу через 2 мес
|
[
Ответить ]
|
|
( Ответить )
|
|