вверх
отправить
поиск
админ
главная
Предыдущее
|
Re: Консолид. перелом г/ стопного
Алексей Минервин 16 Март 2006, 17:06
|

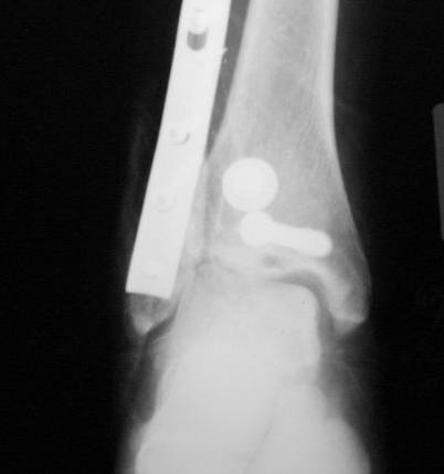
Уважаемые коллеги! Как и обещал, представляю плоды своей работы. Хвалиться особо нечем. Пошли задним
доступом сначала к м/берцовой кости, благодаря смещению линию перелома удалось сразу дифференцировать и по ней узким долотом (без молотка) мобилизовали отломки. Затем выделили задний край, там было проще пройти по линии перелома. Далее пластина по задней поверхности в дистальный отломок, винт проксимальнее пластины и дистрактором с трудом растянули отломки, ощущение было идеальной репозиции м/берцовой кости( доступен осмотр по задней и наружной поверхности), далее винты стандартно. Кстати, положение больной на боку: очень неудобно, но по-другому потом не повернуть на спину, чтобы сделать снимки в стандартных проекциях (ЭОПа нет). Затем дистрактор (два полукольца, спицы), репозиция заднего края, спонгиозный винт с шайбой, слишком проксимально, поэтому + еще один. Доступ к дельтовидной связке: рубец в передней порции, частично иссечен, шов. В общем, длительность операции 3,5 часа, а сказать, что все задуманное получилось, не могу.
А.Минервин.
|
|
|
Ответить
|
Re: Консолид. перелом г/ стопного
Djpldas Kuldjanov 16 Март 2006, 17:11
|
Отличная, грамотная работа, поздравляю, я бы держал в гипсовой повязке до трех недель, затем разработку сустава без нагрузки, нагрузку при такой фиксации,
думаю, можно начать в 6 недель.
|
[
Ответить ]
|
Re: Консолид. перелом г/ стопного
Андрей Капустин 16 Март 2006, 17:15
|
Все таки нужно было стянуть ДМС. Судя по снимкам остался подвывих.
--
С уважением,
Andrew
|
[
Ответить ]
|
Re: Консолид. перелом г/ стопного
Alexander Chelnokov 16 Март 2006, 17:18
|
Да все прилично получилось, и случай ведь запоздалый, так что все труднее было, чем обычно. Так что присоединяюсь к поздравлениям!
|
[
Ответить ]
|
Re: Консолид. перелом г/ стопного
Отправитель: дмитрий бондарь 23 Март 2006, 21:50
|
был подобный случай,но через 5мес.из латерального доступа остеотомия н.лодыжки,низведение ее,затем иссечение рубцов из зоны синдесмоза.остеосинтез3\трубчатой пластиной +маллеолярный винт чтоб вилку сжать. 10 сут гипсовая лонгета затем ЛФК через 1мес.отека нет (а до того был)движения практически в полном объеме нагружать разрешу через 2 мес
|
[
Ответить ]
|
|
( Ответить )
|
|