AOTRAUMA.ORG Центр Илизарова  

Ортопедия и травматология Общие вопросы/General questions Help Информационные технологии в медицине
 вверх
 отправить
 поиск
 админ
 главная


"Бульдозерная" травма коленого сустава
Ортопедия и травматология Отправлено Александр Ситник 14 Апрель 2006, 16:08
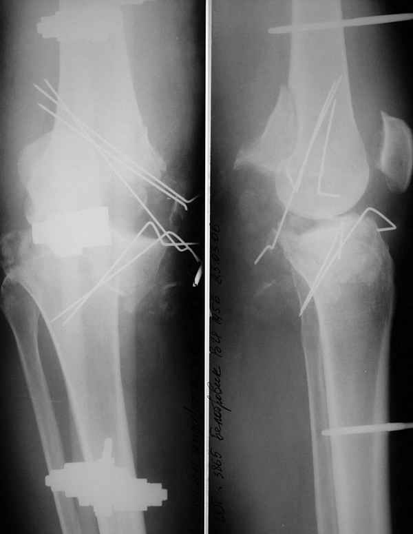
Больной 48 лет, соматически здоров, около 3 недель назад получил тяжелый открытый перелом внутренних мыщелков бедра и большеберцовой кости. Травма производственная - наехал бульдозер.

При поступлении - травматический шок 2 ст. При ревизии раны - отсутствие внутреннего мыщелка бедра, перелом внутреннего мыщелка б/б кости, нестабильность коленного сустава. Повреждений магистральных сосудов и нервов нет. Рваная лоскутная рана по внутренней поверхности колена.Выполнен адаптационный остесинтез остатков кости спицами и мостовидная трансартикулярная фиксация стержневым аппаратом внешней фиксации. Наводящие швы, частично - пластика по Хохутову.Сейчас раны заживают (местами с небольшими некрозиками, но в целом неплохо), встает вопрос о втором этапе лечения. Напрашивается вроде артродез коленного сустава.

Возможно кто-либо имеет опыт лечения подобных случаев и может предложить нечто повеселее?
С уважением,
А.Ситник

<  |  >

 

  • Сообщения о Ортопедия и травматология
  • Также Александр Ситник
  • Связаться с автором
  • Ответить

    Re: "Бульдозерная" травма коленого сустава
    дмитрий бондарь 14 Апрель 2006, 23:36
    Уважаемый Александр! "Дрова" Вам, к сожалению, попались серьезные :(( . По-моему, Вам следует вначале выполнить аутодермопластику полнослойным несвободным лоскутом с целью подготовки кожи к последующим этапам.Ну а затем или артродез,увы,или эндопротезирование. Можно понапрягать предприятие.

    [ Ответить ]

    Re: "Бульдозерная" травма коленого сустава
    Алексей Семенистый 15 Апрель 2006, 01:55
    Очень тяжелая травма

    >При ревизии раны - отсутствие внутреннего мыщелка бедра,

    Но на контрольных снимках он (внутренний мыщелом) где-то ссзади

    >Рваная лоскутная рана по внутренней поверхности колена
    Рваная??? - Тяжелое размозжение!!!

    >адаптационный остесинтез ... и мостовидная трансартикулярная фиксация
    >стержневым аппаратом внешней фиксации.

    Первый раз такое слышу..

    >Наводящие швы, частично - пластика по Хохутову

    Рана ушита наглухо! какая пластика, по-кому?

    >раны заживают (местами с небольшими некрозиками, но в целом неплохо..

    Да ведь все очень несимпатично, рану нужно открывать - увидите большой некроз

    >встает вопрос о втором этапе лечения. Напрашивается вроде артродез коленного сустава.

    Еще висит вопрос с первым этапом! пока надо думать: "все ли вы сделали,
    что бы избежать ампутации"?

    1. Аппарат наружной фиксации наложен неплохо.
    2. такие раны зашивать очень рисковано. Лучше вести открыто. Если
    зашили, то поставьте промывную систему дней на 3-5, по 2-3 литра и
    больше в сутки.
    3. Все свободно лежащие костные фрагменты (не связанные с мягкими
    тканями) которые были непосредственно в ране необходимо удалять при
    ПХО
    4 Никакого "фиксационного" остеосинтеза спицами при ПХО. Полноценную
    реконструкцию сустава (винтами, пластинами, с костной пластикой и
    т.д.)можно делать отсрочено недели через 3, когда заживет рана без
    гноя и "небольших некрозиков".


    Был подобный случай. 4 недели в аппарате, затем 2 месяца в брейсе...
    Была глобальная нестабильноость колнного сустава. Я уже приговорил больного к пожизненному ношению брейса или артродезу или эндопротеза.
    через 1,5 месяца занятий с методистом ЛФК бегал, прыгал (не очень быстро и высоко)вернулся к труду (монтажником)
    Так что, не загадывайте: артродез-эндопротез-ортез...

    Сейчас необходима ревизия раны: убрать все некрозы, спицы и то, что они "фиксируют" , Рану вести открыто, антибиотикотерапия - по посеву, Коррекция анемии, гипопртеин, электролитов (наверняка есть сдвиги)

    Алексей Семенистый

    [ Ответить ]

    • Re: "Бульдозерная" травма коленого сустава
      Отправитель: дмитрий бондарь 16 Апрель 2006, 01:15
      "промывка" уже поздно,sorry!!!но с металлом в открытый перелом У-У-У,стремно!Продолжаю настаивать на аутодермопластике,а дальше по ситуации.В этом случае будете иметь полноценный кожный покров,что уже хорошо.Но пргать-бегать врядли клиент будет.
      С уважением Д.Б.
      P.S.А вообще мы моем откр.переломы всегда,особенно,если уклиента нет денег на антибиотики (фурациллин2.0+диоксидин 1%5.0)

      [ Ответить ]
      • Re: "Бульдозерная" травма коленого сустава
        Отправитель: Alexader Chelnokov 16 Апрель 2006, 15:01
        дб> "промывка" уже поздно,sorry!!!

        Да кто его знает, может, еще и пригодится.

        дб> но с металлом в открытый перелом У-У-У,стремно!

        Поэтому избранный вариант временной стабилизации в виде spanning аппарата выглядит вполне адекватно.

        дб> Продолжаю настаивать на аутодермопластике,а дальше по ситуации.В
        дб> этом случае будете иметь полноценный кожный покров,что уже хорошо.

        До пластики надо еще ложе подготовить, выполнив повторные обработки с некрэктомией.

        дб> уклиента нет денег на антибиотики (фурациллин2.0+диоксидин 1%5.0)

        По данным нашей микробиологической лаборатории слухи о какой-то особенной эффективности диоксидина оказались сильно преувеличенными.
        Фурацилином не пользуемся много лет из-за дерматитов, иногда встерчающихся. Промывать вообще можно чистым физраствором, антибактериальный эффект любой жидоксти, контактирующей с раной
        секунды, вряд ли успеет проявиться.

        [ Ответить ]
        • Re: "Бульдозерная" травма коленого сустава
          Отправитель: дмитрий бондарь 16 Апрель 2006, 20:15
          Ложе готовить само собой надо,но как быть со спицами?Ведь после некрэктомий железо может оказаться "на улице",верно?Кроме того,допустим рану закроем,все зажило,а дальше?Суставу по-моему,извините,хана!И еще не могу понять,что это на прямом снимке внутренний мыщелок большеберца как-то странно стоит,а на боковом сзади кусок бедра?или что это?Кто разобрался напишите pls.И еще,а нет ли в полости того,что осталось от колена свободных кусков?
          С уважениеием Д.Б.
          P.S.и что же делать дальше???

          [ Ответить ]
          • Re: "Бульдозерная" травма коленого сустава
            Отправитель: Алексей Семенистый 17 Апрель 2006, 02:05
            >но как быть со спицами?Ведь после некрэктомий железо может оказаться "на улице",верно..

            Спиццы убирать!!! Лечить мягкие ткани, от этого зависит прогноз и исход.

            >И еще... на прямом снимке внутренний мыщелок большеберца как-то странно стоит,а на боковом сзади кусок бедра?или что это?Кто разобрался напишите pls...
            >...а нет ли в полости того,что осталось от колена свободных кусков?

            То, что мы выдим на рентгенограммах и фотографиях, то и есть.

            Может быть автор темы, что-нибудь добавит?


            [ Ответить ]
    Re: "Бульдозерная" травма коленого сустава
    Александр Ситник 17 Апрель 2006, 20:46
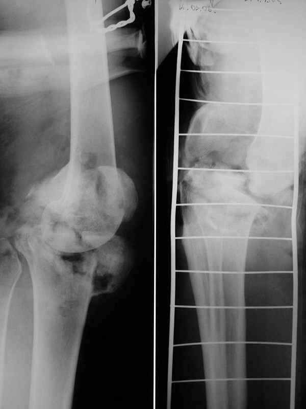
    Прошу прощения за долгое молчание - ждал понедельника, чтобы сфотографировать современное состояние конечности. То, что было представлено на втором клиническом слайде - это 4-5 дней после операции (sorry за возможную путаницу). Итак свежее фото тут.
    Теперь по пунктам:
    1. То, что вы видте на рентгенограммах это к сожалению (моему тоже) не внутренний мыщелок бедра, а лишь "чешуя" - останки его метафиза. Внутренний мыщелок большеберцовой кости действительно смещен, каюсь, во время операции показалось неплохо, а контрольный снимок выполнял уже в реанимации. Учтывая имеющиеся сомнения, в течение недели выполним КТ - снимки представлю.
    2. Пластика по Хохутову - это когда от полнослойного лоскута кожи и ПЖК оставляют только собственно дерму и ее подшивают, предварительно перфорировав. Поэтому ни о каком "глухом" шве раны здесь речь идти просто не может - куча отверстий для дренажа раневого отделяемого. Под лоскутом - дно из окружающх мышечных тканей - на момент ревизии раны сомнений в их жизнеспособности не было. Дренаж после операции конечно был, но только на отток. Если бы что-то в послеоперационном периоде нам не понравилось - выполнили бы ревизию и вторичную обработку.
    3. Сейчас уже прошло 29 дней после травмы. Больной не температурит (получал цефазолн с метронидазолом около 7-10 дней после травмы), местно нет никакой припухлости, особой гиперемии и т.д. Область колена спокойна.
    Краевые некрозы лоскута, конечно, мы иссечем. Но пластику сделаем свободным расщепленным лоскутом - полнослойными как то не баловались, да и размеры тут вполне приемлемые.

    Раной, конечно, еще придется позаниматься, но пора подумать и о дальнейших перспективах:
    - ортез?
    - артродез?
    - эндопротез?

    Случай Алексея Семенистого вполне поучителен, тем более, что и у нас ранее тоже был похожий. Возможно (после заживленния ран) наложим что-то типа тутора, а там пациент и сам до артродеза "дозреет". Но все же вопрос остается открытым - есть ли у кого-нибудь опыт протезирования/лечения таких случаев, да и вообще хороший совет еще никому не повредил.

    Спасибо,

    А. Ситник,
    Минск, Беларусь

    P.S. Кстати, насчет промывного дренирования полностью согласен с А. Челноковым - у нас такие же подходы (в принципе - не касаясь этого больного).
    А антибиотики (да и большинство имплантатов) у нас покупает государство в лице больницы. Так что вопросов с выбором - гентамицин - цефазолин - ванкомицин или еще чего-л., у нас в клинике сейчас нет. Впрочем говорю только за свою больницу, у других не так весело.
    Но это к теме не относится, все комментарии интересны и внимательно обсуждаются в отделении.

    Кликните для загрузки файла Belobrovik 060417-1-OF.jpg
    79KB (80923 bytes)

    [ Ответить ]

    • Re: "Бульдозерная" травма коленого сустава
      Отправитель: Алексей Семенистый 18 Апрель 2006, 13:51
      Действительно, последняя фотка более обнадеживающая.

      >>1. То, что вы видте на рентгенограммах это к сожалению (моему тоже) не внутренний мыщелок бедра, а лишь "чешуя" - останки его метафиза...

      А выглядит внушительно.

      >>2. Пластика по Хохутову - это когда от полнослойного лоскута кожи и ПЖК оставляют только...

      Я думал, что это по Красовитову, а по Хохутову это что-то с костями?

      >>Раной, конечно, еще придется позаниматься, но пора подумать и о дальнейших перспективах:


      Александр, если думать о перспективах, то выпрямите колено, и правильно сориентируйте ось голени и бедра во фронтальной плоскости (варус-вальгус). Сейчас заживляйте рану и не обещайте больному ничего. Возможность эндопртезирования будете рассматривать, когда будет ясна картина с сохранностью хряща, связок, функцией мышц, объемом движения и.т.д. Задайте этот же вопрос на форуме месяцев через 5-6.

      [ Ответить ]
      • Re: "Бульдозерная" травма коленого сустава
        Отправитель: Александр Ситник 18 Апрель 2006, 20:07
        Насчет ближайших действий у нас примерно тот же план. А насчет Красовитова-Хохутова - точно напутал.
        Спасибо,

        А.Ситник

        [ Ответить ]
      • Re: "Бульдозерная" травма коленого сустава
        Отправитель: дмитрий бондарь 18 Апрель 2006, 21:26
        полностью согласен с А.С.Согласен теперь и с расщепленным лоскутом,и с ориентацией оси,и с Красовитовым-Хахутовым!Но все ли Вы убрали из останков сустава?
        Удачи! С уважением Д.Б.

        [ Ответить ]

     

    ( Ответить )

    Powered by Zope  Squishdot Powered MedLink
    Посетитель: 0144921
      "По форме правильно, а по существу - издевательство" В.И.Ленин
    ©2001-2019Orthoforum Coordinator.
    [ Главная | Отправить сообщение | Поиск | Админ ]