AOTRAUMA.ORG Центр Илизарова  

Ортопедия и травматология Общие вопросы/General questions Help Информационные технологии в медицине
 вверх
 отправить
 поиск
 админ
 главная


Переломы голени
Ортопедия и травматология Отправлено Александр Нагога 21 Апрель 2006, 00:16
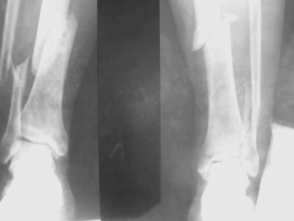
Уважаемые коллеги, у нас в Самаре в клинику травматологии мединститута доставили парашютиста с переломами голеней, причем справа перелом открытый.
В одной из больниц выполнили "классическую" первую помощь - якобы ПХО со швами и резиночкой в гипсовых лонгетах. К нам в клиникудоставлен на следующий день. 7 дней на вытяжении - состояние общее и со стороны раны стабильное. Посоветовавшись решили выполнить закрыто БИОС ChM. Сегодня оперировали. Получилось закрыто. Область открытого перелома дополнительно дренировали вакуумными дренажами.
Что скажете? Какие варианты тактикики Вы бы предпочли.
С уважением Александр Нагога , Сергей Ардатов, Александр Панкратов, Денис Огурцов (Самара, клиника травматологии)

<  |  >

 

  • Сообщения о Ортопедия и травматология
  • Также Александр Нагога
  • Связаться с автором
  • Ответить

    Re: Переломы голени
    Alexader Chelnokov 21 Апрель 2006, 00:21
    АН> БИОС ChM. Сегодня оперировали. Получилось закрыто.

    Проблем с закрытой репозицией ожидать неоткуда - срок после травмы небольшой, переломы диафизарные.

    АН> Область открытого перелома дополнительно дренировали вакуумными дренажами.

    Неделя прошла, ткани спокойны - зачем дренаж?
    Как антибиотикопрофилактика-терапия в данном случае проводится?

    АН> Что скажете? Какие варианты тактикики Вы бы предпочли.

    Выглядит все неплохо. Хотя при свежих переломах запирать надо бы статически. И голеностопные суставы прицельно бы посмотреть.

    Успехов!
    [ Ответить ]

    Re: Переломы голени
    дмитрий бондарь 21 Апрель 2006, 00:59
    Коллеги вечер добрый!А не сломана ли внутренняя лодыжка слева?А справа щель г\стопа какая-то клиновидная(а может мираж?:)) И зачем вакуум-дренаж?Какие задачи он решает??? Уж если были показания к дренированию,то по-моему следовало ставить проточный дренаж.И как там стопы,пятки,позвоночник?парашютист же!!!

    С уважением Д.Б.
    [ Ответить ]

    Re: Переломы голени
    Алексей Семенистый 21 Апрель 2006, 01:07
    Уважаемые Александр Нагога , Сергей Ардатов, Александр Панкратов, Денис Огурцов, в принципе подход правильный.

    Но все-таки:
    1.притаких переломах проксимально надо блокировать двумя винтами (статическим и динамическим), тем
    более при билатеральном повреждени, ведь ходить-то будет практически с полной опорой ("здоровой" ноги
    нет).
    2. Слева похоже на нестабильное повреждение г\стопного сустава (на первичных снимках, на
    послеоперационных - срезано), хотя судить надо по клинике. сделайте нагрузочный тест (варус-вальгус.
    3.
    Область открытого
    > перелома дополнительно дренировали вакуумными дренажами.


    Как и зачем? если что-то потекло (это должно было быть)- снять швы совсем, дренирование будет более
    эффективным и никаких инородных тел (трубок) где-то там, не известно где в ягких тканях. Сами говорите, что первая помощь была "классической".

    > Какие варианты тактикики Вы бы предпочли.

    1. Заблокируйте проксимально статически (теперь только под ЭОПом, без прицельного устройства,
    "свободной рукой").
    2. Проверьте г/ст суставы, если нестабильны, оперируйте как обычные лодыжки.
    3. Пусть учится заново ходить на двух ногах.

    Уверен, пациенту повезло, что он попал в Ваши руки.

    С уважением А. Семенистый, Москва.
    [ Ответить ]


    ( Ответить )

    Powered by Zope  Squishdot Powered MedLink
    Посетитель: 0149665
      "По форме правильно, а по существу - издевательство" В.И.Ленин
    ©2001-2019Orthoforum Coordinator.
    [ Главная | Отправить сообщение | Поиск | Админ ]