ВХОД ДЛЯ ПАЦИЕНТОВ
вверх
поиск
админ
главная
исходное
|
Re: Несросшийся перелом диафиза
послал Alexandr Nagoga 23 Май 2006, 23:29
|
Здравствуйте уважаемый Юрий Иванович, привет Вам из Самары от нас с Олегом Проценко и до скорой встречи на съезде!
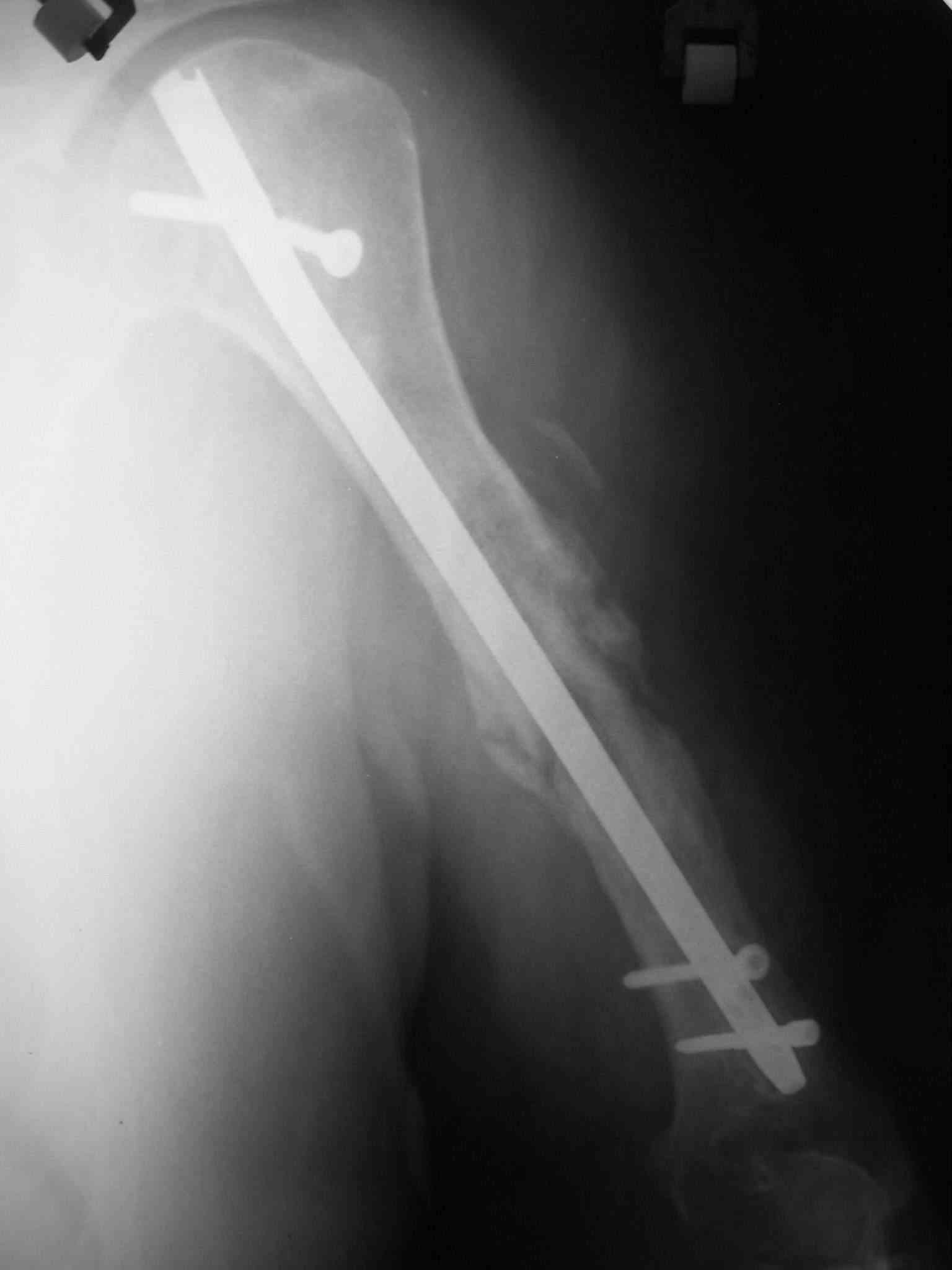
На Вашу ситуационную задачу: у нас был аналогичный случай (у пациента Д. за три года было девять ранее перенесенных операци: штифт Богданова с гипсом-пластина-нагноение- аппараты-лечение гнойных ран и остеомиелита - опять dcp пластина-разрушение и миграция пластины....) -

БИОС делали открыто, с декортикацией, частичным торцеванием и костной аутопластикой. Вариант БИОС - компрессирующий). Насчет компрессирующего варианта БИОС потом пожалели - проксимальный блокируемый винт сломался через год, надо было делать стабильный вариант.
С уважением Нагога Александр
|
| Послать ответ |
Обратите внимание: Поля с жирными названиями обязательны.
Старайтесь отвечать в рамках обсуждаемой темы, а не начинать новые обсуждения.
Указывайте адекватную тему сообщения, чтобы было ясно, о чем оно.
Не послайте сообщений не по теме (оффтопик), раздраженных, грубых или обидных комментариев. Здесь это неуместно.
|