AOTRAUMA.ORG Центр Илизарова  

Ортопедия и травматология Общие вопросы/General questions Help Информационные технологии в медицине
 ВХОД ДЛЯ ПАЦИЕНТОВ
 вверх
 поиск
 админ
 главная
 исходное


Re: осложненный эндопротез
послал Djoldas Kuldjanov 14 Июнь 2006, 23:27
События развивались таким образом.
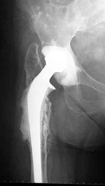
Приглашенный хирург установил ревизионный вариант бедренного компонента без замены ацетабулярного компонента, что осложнилось нагноением и свищами на уровне сустава и средней трети бедра. После двухгодичного безуспешного лечения перевязками и антибиотиками больная обратилась к нам на консультацию.

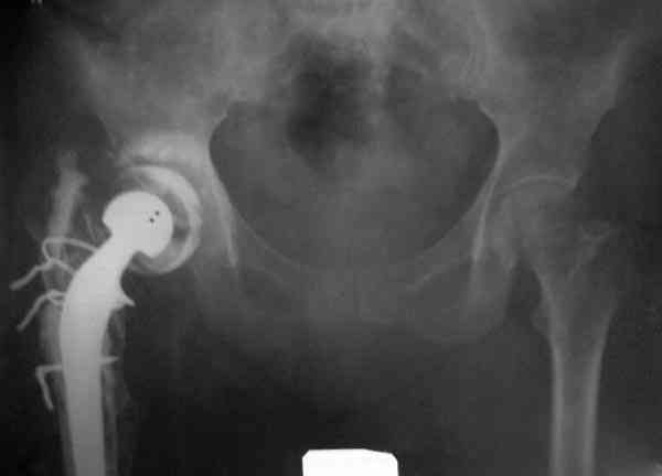
Повторная операция по удалению тотального протеза с irrigation&debridment, канал после очистки цемента обильно промыт и рассверлен римером.

Приготовлен цемент из расчета: Tobramycin 2.4 g (2 флакона), Vancomycin 2 млн (4 флакона) и 2 упаковки цемента с добавлением дополнительного флакона цементной жидкости.

После обработки ацетабулярного компонента, ещё в мягком цементе в полости вертлужной впадины головкой бедренного компонента сделана выемка для головки, чтобы свежий цемент не прилипал к головке. Головку бедренного компонента завернул обычной стерильной фольгой, которую после образования выемки отлепил от головки.
Для спейсера в бедро использовал старый длинный бедренний компонент меньшего диаметра, облепленный со всех сторон цементом с антибиотиком.

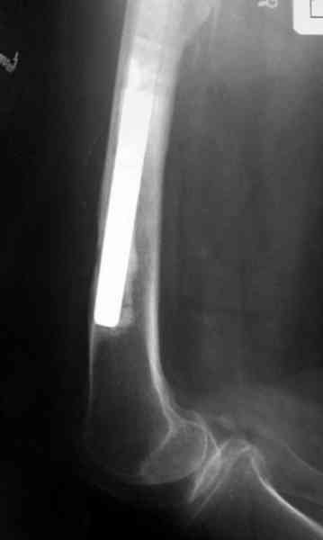
Наглухо ушитая рана с дренажом зажила первично, после чего с больной потерял контакт, и только недавно, через 8 лет я осмотрел её. Она без проблем нагружает на конечность и передвигается с помощью трости. От окончательной операции по реконструкции отказывается, довольная результатом.

Имеются литературные данные, когда спейсер держали не более 6 месяцев, но этот случай бьет все рекорды, может быть для наших людей, обременных финансовыми трудностями, нужна другая шкала оценки сроков нахождения спейсеров.

№3-6 снимки с осложнением



и последние снимки.



Djoldas Kuldjanov, MD

Department of Orthopedic Surgery
St. Louis University Medical Center

Послать ответ

Имя
Email
Уведомление Сообщить мне по e-mail об ответах на это сообщение
Название
Комментарий
(Проверьте URL! Не забудьте написать http://!)
Кодировка
Если не знаете, что выбрать, выберите "Просто текст"!
Приложение
Можно приложить к сообщению файл c изображением, который затем будет доступен увидевшим сообщение.
Подготовка иллюстраций:
  • Рентгенограммы: черно-белые полутоновые изображения в формате JPEG (8 bit, greyscale) с разрешением от 300х200 до 1024х768 пикселов;
  • Клинические фотографии: полноцветные изображения в формате JPEG (24 bit, truecolor) с разрешением от 300х200 до 1024х768 пикселов;
  • Схемы и рисунки: черно-белые (2 bit) штриховые (line-art) изображения в формате GIF или compressed TIFF
  • Подберите степень сжатия файла JPEG и размер изображения таким образом, чтобы необходимые детали были различимы, но размер файла не превышал 75 кб.
  • Учтите, что текущая версия программного обеспечения Форума позволяет приложить к одному сообщению лишь один файл-вложение. Поэтому, если необходимо отправить несколько изображений, можно либо послать каждое как отдельное сообщение, либо в графическом редакторе объединить изображения в одно (сделать коллаж).
  • Если при подготовке изображений встречаются трудности, не стесняйтесь обратиться к координатору Форума.

  • Введите видимые символы в обратном порядке. Enter the above characters in reverse order (*Обязательно)
    В тексте сообщения можно использовать теги HTML <B> <I> <P> <A> <LI> <OL> <UL> <EM> <BR> <TT> <HR> <STRONG> <BLOCKQUOTE> <DIV .*> <DIV> <P .*>
  • Обратите внимание: Поля с жирными названиями обязательны.
  • Старайтесь отвечать в рамках обсуждаемой темы, а не начинать новые обсуждения.
  • Указывайте адекватную тему сообщения, чтобы было ясно, о чем оно.
  • Не послайте сообщений не по теме (оффтопик), раздраженных, грубых или обидных комментариев. Здесь это неуместно.
  • Powered by Zope  Squishdot Powered MedLink
    Посетитель: 0144474
      "По форме правильно, а по существу - издевательство" В.И.Ленин
    ©2001-2019Orthoforum Coordinator.
    [ Главная | Отправить сообщение | Поиск | Админ ]