ВХОД ДЛЯ ПАЦИЕНТОВ
вверх
поиск
админ
главная
исходное
|
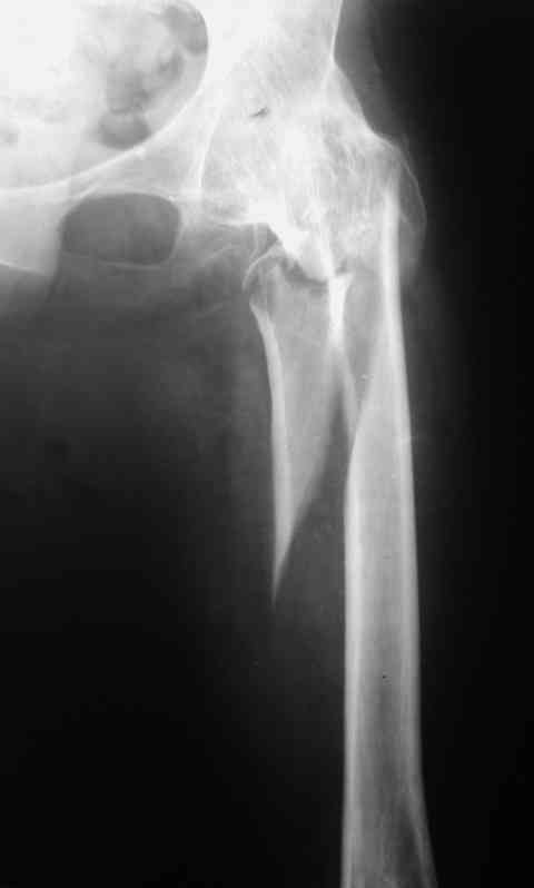
Re: перелом бедра+анкилоз тазобедренного сустава
послал Alexander Zolotov 29 Июнь 2006, 23:20
|
Уважаемый Александр,
Спасибо за совет и комментарии. Выбор остановили на длинной пластине DCP. Нам показалось, что в нашей ситуации так будет прочнее, по сравнению с клинковой пластиной или DHS.

--
Best regards,
Alexander
|
| Послать ответ |
Обратите внимание: Поля с жирными названиями обязательны.
Старайтесь отвечать в рамках обсуждаемой темы, а не начинать новые обсуждения.
Указывайте адекватную тему сообщения, чтобы было ясно, о чем оно.
Не послайте сообщений не по теме (оффтопик), раздраженных, грубых или обидных комментариев. Здесь это неуместно.
|