Ответить
|
Re: перелом бедра+анкилоз тазобедренного сустава
Alexander Chelnokov 25 Июнь 2006, 00:25
|
А что доступно на месте, из чего выбирать приходится?
Если предположить, что доступно все, то я бы наложил дистрактор "таз-бедро", и сделал бы остеосинтез пластиной с угловой стабильностью (DHS, клинковая, LCP, etc). Насколько можно менее инвазивно, то есть даже если придется сделать разрез по всей длине пластины, то не пытаясь увидеть или потрогать медиальный фрагмент.
|
[
Ответить ]
|
Re: перелом бедра+анкилоз тазобедренного сустава
Алексей Семенистый 29 Июнь 2006, 23:17
|
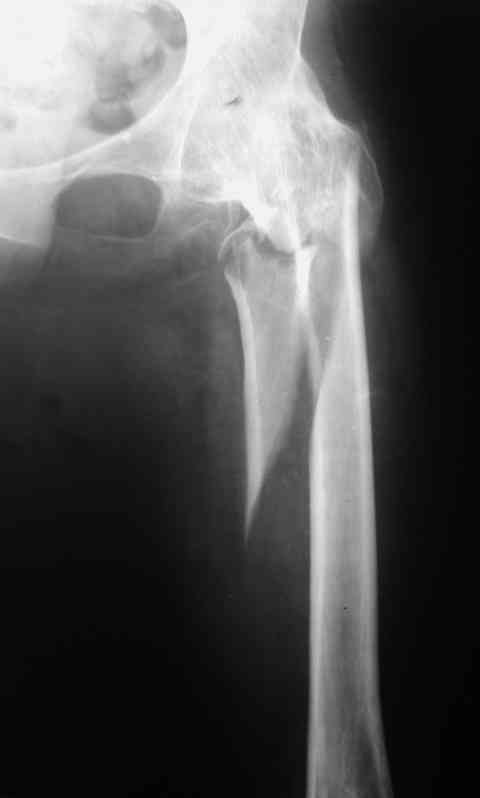
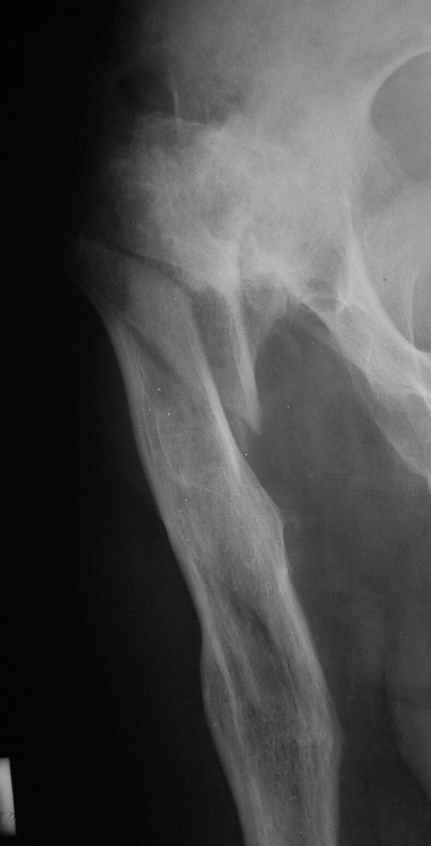
Месяцев 6 назад оперировали такого больного (анкилоз после туберкулезного коксита 40 ле назад) интрамедуллярным стержнем PFNa. Ушел на своих ногах (с тростью кончно, как и до травмы). Больше не появлялся.
|
[
Ответить ]
|
Re: перелом бедра+анкилоз тазобедренного сустава
Отправитель: Alexander Zolotov 02 Июль 2006, 19:45
|
Уважаемый Алексей,
Сохранились ли у Вас рентгенограммы Вашего пациента с подвертельным переломом бедра и анкилозом тазобедренного сутава?
|
[
Ответить ]
|
Re: перелом бедра+анкилоз тазобедренного сустава
Отправитель: Алексей Семенистый 02 Июль 2006, 19:47
|
Да. Постараюсь во вторник переслать.
|
[
Ответить ]
|
|
Re: перелом бедра+анкилоз тазобедренного сустава
Alexander Zolotov 29 Июнь 2006, 23:20
|
Уважаемый Александр,
Спасибо за совет и комментарии. Выбор остановили на длинной пластине DCP. Нам показалось, что в нашей ситуации так будет прочнее, по сравнению с клинковой пластиной или DHS.

--
Best regards,
Alexander
|
[
Ответить ]
|
Re: перелом бедра+анкилоз тазобедренного сустава
Отправитель: Alexander Chelnokov 29 Июнь 2006, 23:35
|
Рентгенограмму полечили успешно. А какова длина послеоперационного рубца? Проводилась ли гемотрансфузия? На какой день после операции пациент начал ходить? А нагружать оперированную конечность?
Допустим, Вам правильно показалось, и прочность клинковой пластины или DHS, или такого или другого проксимального гвоздя, о чем писал Алексей Семенистый, была бы меньше. Но она была бы достаточной. По крайней мере для ранней нагрузки на ногу. А уж инвазивность уж точно была бы куда меньше, со всеми вытекающими плюсами.
Хотя, если выбор был между тазобедренной повязкой и сделанным остеосингтезом, наверно, был выбран оптимальный вариант.
|
[
Ответить ]
|
|
Re: перелом бедра+анкилоз тазобедренного сустава
Djoldas Kuldjanov, M.D. 04 Июль 2006, 02:33
|
Мой выбор был бы именно таким, иначе в отличие от нормального взаимоотношения тазобедренного сустава, по закону моментов, здесь совсем другой механический рычаг, очень короткий фиксированный
проксимальный и длинный в дистальном отделе.
Даже имея современные фиксаторы типа пластин с угловой стабильности или DHS, было бы очень трудно, без распространения фиксацию на таз,
создать стабильную фиксацию в области перелома.
Невозможного нет, но мне кажется были бы технические трудности из-за отсутствия абдукции артродезированного тазобедренного сустава при
применении интрамедуллярных конструкции, поэтому фиксацию пластиной считаю для себя более приемлемым вариантом.
DCP жесткая пластина, которая удержит все нагрузки и я ограничился бы несколькими шурупами дистально, ведь каждый 4.5 мм шуруп удерживает 760 кило паунд давления на головку.
Мне нравится, поздравляю.
Djoldas Kuldjanov, M.D.
|
[
Ответить ]
|
Re: перелом бедра+анкилоз тазобедренного сустава
Отправитель: Alexander Zolotov 05 Июль 2006, 10:16
|
Уважаемый Джолдас,
Большое спасибо за доброжелательное и аргументированное обсуждение.
--
Best regards,
Alexander
|
[
Ответить ]
|
|
Re: перелом бедра+анкилоз тазобедренного сустава
Djoldas Kuldjanov, 04 Июль 2006, 18:20
|
Коррекция: Опечатка в тексте "технические трудности из-за отсутствия абдукции" читаь "аддукции-приведение"
Кульджанов
|
[
Ответить ]
|
Re: перелом бедра+анкилоз тазобедренного сустава
Алексей Семенистый 10 Июль 2006, 10:07
|

Рентгенограммы до и после. Больной профессор на кафедре сопромата и после детального изучения
особенностей имплантата, собственных рентгенограмм дал добро на операцию. Ваш вариант лечения вполне симпатичен.
С уважением А.Семенистый.
|
[
Ответить ]
|
( Ответить )
|
|