Ответить
|
Re: Кататравма
Никита Заднепровский 07 Июль 2006, 22:04
|
СА> Что Вы решили с пятками?
Сверху пришел приказ: никаких оперативных действий! Диаспора заплатила больничке только за 12 дней пребывания. Даны указания иммобилизовать пациента для транспортировки и депортации на родину. Без комментариев ... :-( Хотя истинного положения вещей нам не раскажут, это ведомо только "недрам управляющего бункера". Всем известно, что у них совсем другое видение лечения пациентов, все сводится к дебиту-кредиту, и это тоже, наверное, правильно при нынешних "рыночных" отношениях.
СА> Когда планируете активировать пациента?
Сегодня пациент мочится самостоятельно. Консультирован неврологом. Неврологического дефицита не найдено. Сила в конечностях сохранена, снижена слева в нижней конечности из-за болей в паховой области. В свете последних решений "партии и правительства", будем накладывать реклинирующий корсет и готовить к "отплытию". Грустно, так как этот, совсем не соотечественник, стал мне глубоко симпатичен: очень мужественный молодой человек.
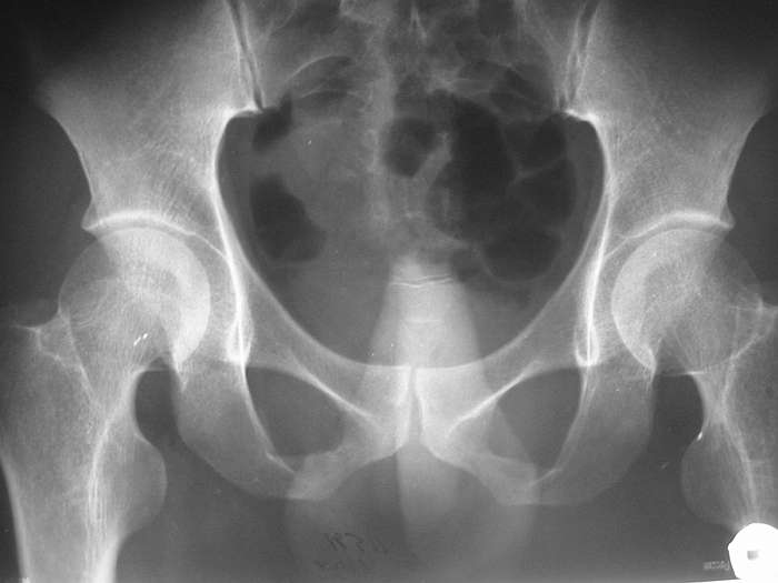
ЗЫ: В приложении снимок таза.

Заднепровский Никита Николаевич
|
[
Ответить ]
|
( Ответить )
|
|