вверх
отправить
поиск
админ
главная
Предыдущее
|
Re: Кататравма
Савранский Александр 06 Июль 2006, 02:02
|
Уважаемый Никита Николаевич!
На мой взгляд,на представленных фото Ваш пациент
несколько неправильно уложен- положение по Волков
ичу - лежа на спине с разведенными ногами,согнутыми в коленных суставах.Гамак мы обычно используем при переломах таза с нарушением тазового кольца при необходимости боковой компрессии, а также для повышения внутритазового давления при кровотечениях( хотя лучше щипцы Ганца или аппарат).В создавшейся ситуации возможно есть смысл гамак заменить на реклинирующий валик,пятки кинуть на вытяжение по Каплану.
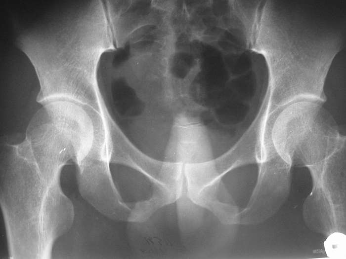
P.S. хотелось бы увидеть снимок таза
|
|
|
Ответить
|
Re: Кататравма
Никита Заднепровский 06 Июль 2006, 23:31
|
СА> заменить на реклинирующий валик,пятки кинуть на вытяжение
СА> по Каплану.
Не помню кто сказал, но суть такова, что сейчас трудно встретить "классику", везде лишь его вариации. По-моему, гамак - удачное решение, так как поясничный отдел находится в условиях постоянного угла реклинации, нет давления на крестцовую область, очень удобно для выполнения гигиенических процедур. Больного не надо приподнимать, чтобы приспособить утку, без особых проблем можно поменять постель. Угол реклинации плавно меняется путем ослабления или натяжения веревок на которых держится сам гамак, а в Вашем варианте, больного нужно приподнимать всякий раз при выполнении всех перечисленных выше манипуляций, при этом мы постоянно будем "тревожить" место перелома. К тому же, пациент чувствует себя комфортно. После того как подвесил
его на гамак, он сразу же уснул, на боли не жаловался.
Пальцами показывает "ОК".
Если я не вижу очевидных плюсов Вашего варианта, пожалуйста, укажите мне на них.
СА> P.S. хотелось бы увидеть снимок таза
Сегодня забегался и забыл про снимок, sorry. Завтра выложу.
|
[
Ответить ]
|
Re: Кататравма
Отправитель: Савранский Александр 07 Июль 2006, 01:29
|
В данном конкретном случае,при имеющихся исходных,не вижу никаких преимуществ в постепенной реклинации.
Что Вы решили с пятками?
Когда планируете активировать пациента?
|
[
Ответить ]
|
Re: Кататравма
Отправитель: Никита Заднепровский 07 Июль 2006, 22:04
|
СА> Что Вы решили с пятками?
Сверху пришел приказ: никаких оперативных действий! Диаспора заплатила больничке только за 12 дней пребывания. Даны указания иммобилизовать пациента для транспортировки и депортации на родину. Без комментариев ... :-( Хотя истинного положения вещей нам не раскажут, это ведомо только "недрам управляющего бункера". Всем известно, что у них совсем другое видение лечения пациентов, все сводится к дебиту-кредиту, и это тоже, наверное, правильно при нынешних "рыночных" отношениях.
СА> Когда планируете активировать пациента?
Сегодня пациент мочится самостоятельно. Консультирован неврологом. Неврологического дефицита не найдено. Сила в конечностях сохранена, снижена слева в нижней конечности из-за болей в паховой области. В свете последних решений "партии и правительства", будем накладывать реклинирующий корсет и готовить к "отплытию". Грустно, так как этот, совсем не соотечественник, стал мне глубоко симпатичен: очень мужественный молодой человек.
ЗЫ: В приложении снимок таза.

Заднепровский Никита Николаевич
|
[
Ответить ]
|
|
( Ответить )
|
|