Ответить
|
Re: Исход лечения низкоэнергетического перелома голени.
tigran 09 Июль 2006, 13:43
|
interesno a pochemu tak lechili?
konechno stabilnost tut nizhe chem shtiftom ili plastinoy ....no kogda 2 kolcani i shurupom - travmatichnosti zdes' menshe
....chto opredelialo vibor?
По ряду KAKIKH причин пришлось применить etot метод?
|
[
Ответить ]
|
Re: Исход лечения низкоэнергетического перелома голени.
дмитрий бондарь 09 Июль 2006, 14:33
|
Доброго дня!Какие именно причины побудили Вас выполнить подобное?По моему ,все,что удалось-это хорошо,но...
1.когда начали нагрузку?
2.Срок консалидации?
В принципе подобную методу использую,когда нежелательно гипсовать,а сомнения в стабильности остеосинтеза остаются.(пороз,мелкоосколки,Отсутствие металла ect)
В Вашем случае лучше было бы остановиться на одном из методов
С уважением Д.Б.
|
[
Ответить ]
|
Re: Исход лечения низкоэнергетического перелома го
Отправитель: Alexander Chelnokov 09 Июль 2006, 15:18
|
> 1.когда начали нагрузку?
Нагрузка тут безопасна сразу - аппарат шунтирует осевые усилия.
> 2.Срок консалидации?
По крйней мере, не хуже обычных. Есть впечатление, что даже получше. Хотя показатель этот сам по себе субъективный, соответственно, ненадежный.
> В принципе подобную методу использую,когда нежелательно гипсовать,
А есть ситуации, когда при остеосинтезе по поводу диафизарного перелома костей голени желательно гиипсовать?
> а сомнения в стабильности остеосинтеза
Какие уж там сомнения, остеосинтез только винтом - заведомо несостоятельный.
> В Вашем случае лучше было бы остановиться на одном из методов
Почему?
Вроде как раз удалось суммировать достоинства обоих методов, и минимизировать их недостатки. Аппарат - минимальный, то есть время/силы сэкономили, мышцы сильно не прошили, проблем с разработкой не будет, нагружать можно, при необходимости можно напрячь на дистракцию или компрессию. Внутренняя фиксация - и малоинвазивная (особенно если закрыто делать), и недорого, и нет массивных имплантатов, отслойки тканей. Если не срастется, в отличие от несращения на пластине, удалить один винт всего надо, и аппарат уже есть. В общем, дешево и сердито.
|
[
Ответить ]
|
Re: Исход лечения низкоэнергетического перелома го
Отправитель: дмитрий бондарь 09 Июль 2006, 17:49
|
имел ввиду не столько диафизарные простые,а например многооскольчатые,внутрисуставные(аппарат с шарнирами для ранних движений)при открытых переломах глоеностопа тпа В и С. в основном использовал spanning ex-fix или гибридный вариант.
С уважением Д.Б.
|
[
Ответить ]
|
Re: Исход лечения низкоэнергетического перелома го
Отправитель: tigran 09 Июль 2006, 22:02
|
Нагрузка тут безопасна сразу - аппарат шунтирует осевые усилия
mne kazhetsia esli popadetia "tiazheliy bol'noy" t.k. tut vsego 1 para kolets - vozmozhno uglovoe smechenie (ne prosto tak zhe staviat 2 pari kolets obichno) ...........ia bi ne riskoval s nagruzkoy 6 ned khotiabi IMO
|
[
Ответить ]
|
Re: Исход лечения низкоэнергетического перелома го
Отправитель: Alexander Chelnokov 09 Июль 2006, 23:09
|
Там не просто "всего 1 пара колец" - там еще и компрессирующий винт, который выполняет функцию спиц с встречными упорами. Эти два кольца могут быть на начальном этапе лечения напряжены на дистракцию, так что могут противостоять большим осевым нагрузкам.
|
[
Ответить ]
|
|
Re: Исход лечения низкоэнергетического перелома го
Alexander Chelnokov 09 Июль 2006, 14:53
|
> данный подход к лечению таких переломов дискредитирует как
> методику остеосинтеза по Илизарову, так и погружной
> остеосинтез по АО.
Этот подход как раз в русле модного в последние годы направления - закрытая репозиция, сочетание внешней и минимальной внутренней фиксации.
> Коллеги, имеет ли такой метод "право на жизнь"? Есть ли
> материалы по подобной методике?
Прежде всего, победителя не судят.
Когда-то видел автореферат диссертации чуть ли не из ЦИТО по именно такой методике - открытая репозиция, остеосинтез винтом, аппарат из двух колец. Увы, фамилию автора не помню.
Мы лет 5-6 назад, когда еще не делали закрытое штифтование, сделали с десяток подобных операций, в том числе несколько на бедре. Репозиция закрытая, кортикальный винт 4,5 мм через прокол. Ближний кортекс рассверливали до 5 мм после нарезания резьбы, то есть получался нормальный компрессирующий винт. Аппараты только уже делали монолатеральные стержневые, чтобы не прошивать насквозь мышцы спицами (пример в приложении).

Хотя, конечно, вполне можно и обычные кольца со
спицами.
|
[
Ответить ]
|
Re: Исход лечения низкоэнергетического перелома го
Отправитель: Anatoly F. Lazarev 10 Июль 2006, 15:45
|
Поздравляю от всей души. Эта методика описана в последней монографии Вебера под логотипом MiniMax o\s, если я правильно помню. На самом деле очень перспективная технология сочетающая в себе основные два принципа остеосинтеза АО 1) межотломковая компрессия 2)шинирование (или шунтирование нагрузки - это по-моему) и + Российский принцип срочная компенсация опоросопобности, что позволяет аппарат Илизарова. Еще раз поздравляю от всей души ЛАФ.
|
[
Ответить ]
|
Re: Исход лечения низкоэнергетического перелома го
Отправитель: Никита Заднепровский 10 Июль 2006, 17:05
|
AL> Поздравляю от всей души. Эта методика описана в последней
AL> монографии Вебера под логотипом MiniMax o\s,
Где можно ее увидеть?
AL> На самом деле очень перспективная технология
AL> себе основные два принципа остеосинтеза АО 1) межотломковая
AL> компрессия 2)шинирование (или шунтирование нагрузки - это
AL> по-моему) и + Российский принцип срочная компенсация
AL> опоросопобности, что позволяет аппарат Илизарова. Еще раз
AL> поздравляю от всей души ЛАФ.
Спасибо.
По правде говоря, после "убойного" коментария Джолдаса я решил, что данной методике место на пыльной полке.
С уважением, Заднепровский Никита Николаевич
|
[
Ответить ]
|
Re: Исход лечения низкоэнергетического перелома го
Отправитель: Anatoly F. Lazarev 11 Июль 2006, 20:22
|
Дорогой Никита, мы перед Америкой шляпу то не всегда снимаем, тем более голову. А Джолдасу большой привет, жаль, что он так быстро забыл, где он стал врачом, а не где он стал зарабатывать. ЛАФ.
|
[
Ответить ]
|
Re: Исход лечения низкоэнергетического перелома го
Отправитель: Alexander Chelnokov 11 Июль 2006, 21:15
|
Да уж кого-кого, а Джолдаса грех в таких вещах обвинять. Мы, впрочем, переходим на личности, что неэтично, недеонтологично и непрактично ;-)
Уместнее обсуждать сами мнения-суждения, а не их носителей.
|
[
Ответить ]
|
Re: Исход лечения низкоэнергетического перелома го
Отправитель: Djoldas Kuldjanov, M.D. 14 Июль 2006, 18:56
|
Уважаемые друзья, дисскусcия переходит в разряд неприятных, мои друзья забывают девиз “мужики берегите себя “, мы друг другу нужны сегодня…
Никита, спасибо за выставленный случай, извиняюсь за “убойность”комментария, мне кажется, после эмоциональных последующих выступлений
метод не должен “пылится на полках”, а должен быть применим в тех случаях, где не все ресурсы еще доступны.
Поэтому, статьи: Clin Orthop Relat Res. 1983
Sep;(178):96-102.
Minimal internal and external fixation in the
treatment of open tibial fractures.
Spiegel PG, VanderSchilden JL, J Orthop Trauma.
1989;3(3):223-31.
Treatment of unstable tibial diaphyseal fractures with minimal internal and external fixation.Bosse MJ, Staeheli JW, Reinert CM. навряд ли изменят общий тон.
С уважением,
Джолдас Кульджанов
Djoldas Kuldjanov, MD
Department of Orthopedic Surgery
St. Louis University Medical Center
|
[
Ответить ]
|
|
Re: Исход лечения низкоэнергетического перелома голени.
Djoldas Kuldjanov, M.D. 09 Июль 2006, 22:17
|
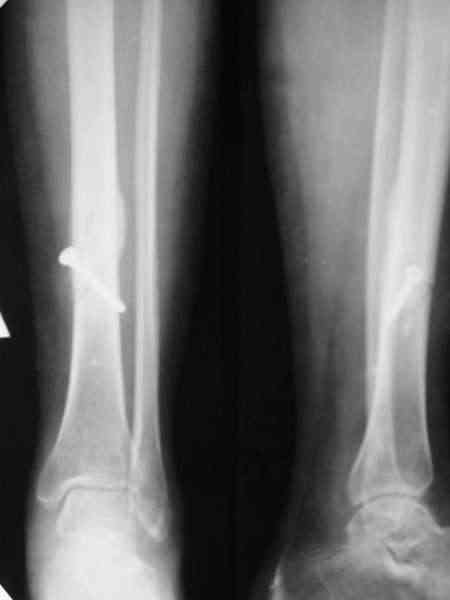
Типичный косо-спиральный перелом голени с низкой энергией, большеберцовая внизу, а сверху малоберцовая, и применение интрафрагментарного компрессионного шурупа можно оправдать, когда для
фиксации перелома выбран метод открытой фиксации пластинами, где пластина после стабилизации и компрессии перелома действует как нейтрализующая сила.
Из-за убедительных преимуществ перед другими методами, при лечении закрытых диафизарных переломов голени “золотым стандартом” считается применения метода закрытой репозиции с фиксацией интрамедуллярным штифтом, проксимальным и дистальным блокированием. Тенденция сегодняшнего дня - это перевод в окончательную фазу фиксации, в
интрамедуллярное штифтование, даже тем, кому временно был наложен аппарат внешней фиксации. Примерные случаи показывает др.Челноков в своих выступления, даже включая артродез с удлинением, я считаю отличным решением в тактике для восстановления быстрейшего нагрузки на
конечность.
Комбинированные: закрытая репозиция с перкутанной фиксацией и дополнительный наружный фиксатор, подходит к принципам “minimum implant, maximum benefit”, но такой метод приемлем, когда имеется желание минимизировать вмешательство из-за общего системного состояния, сосудистого-неврологического характера или диабет.
Метод также приемлем у больных для фиксации суставных фрагментов при внутрисуставных переломах и больным с политравмой, по причине того, когда больной не имеет возможности ранней нагрузки на эту конечность из-за наличия повреждения с этой же стороны, ацетабулума, внутрисуставных переломов коленного и голеностопных суставов или переломы пяточных костей.
Из-за механической слабости конструкции, хронические нежелательные микродвижения осложнялиись инфцированием фокуса травмы, переводили перелом из разряда банальных в сложные, где были нужны дополнительные восстановительные методы и метод был оставлен в начале 90х ортопедами.
Без установки межфрагментарного шурупа, предпочителями отечественного метода Илизарова, дежурным аппаратом из двух колец при поступлении в приемном покое и на следуюший день двумя дополнительными спицами с напайкой за пределы фокуса решили бы проблему в два счета.
Такие изолированные (low energy trauma) переломы голени лечатся также гипсом, поэтапным консервативным методом Sarmiento, поэтому трудно согласиться с принятии метода, дать ему "право на жизнь" как стандарта для лечении при изолированных переломов голени.
Djoldas Kuldjanov, M.D.
|
[
Ответить ]
|
Re: Исход лечения низкоэнергетического перелома го
Отправитель: Alexander Chelnokov 09 Июль 2006, 23:08
|
> пластина после стабилизации и компрессии перелома действует как
> нейтрализующая сила.
Аппарат в данном случае играет именно роль нейтрализующей пластины. Причем с управляемой степенью нейтрализации.
> закрытых диафизарных переломов голени ?золотым стандартом¦ считается
> применения метода закрытой репозиции с фиксацией интрамедуллярным
Увы, пока не везде в xUSSR на сегодня доступна эта технология.
> Комбинированные: закрытая репозиция с перкутанной фиксацией и
> дополнительный наружный фиксатор, подходит к принципам ?minimum
> implant, maximum benefit¦, но такой метод приемлем, когда имеется
> желание минимизировать вмешательство из-за общего системного
А также когда доступны не все методы хирургической стабилизации.
> Из-за механической слабости конструкции, хронические нежелательные
> микродвижения осложнялиись инфцированием фокуса травмы, переводили
По нашему небольшому опыту ни в одном случае не было нестотятельности такой фиксации, хотя нагрузку пациентм не ограничивали сразу. Вообще, интересно механические свойства такой конструкции посмотреть на испытательном стенде.
> приемном покое и на следуюший день двумя дополнительными спицами с
> напайкой за пределы фокуса решили бы проблему в два счета.
По интуитивной оценке, механические свойства этих конструкций близки - и там, и там создается нейтрализация нагрузок опорами на уровне метафизов.
По крайней мере, клиническое наблюдение не выявляло более длительной хромоты, пользования костылями и пр., что отражало бы нестабильность или несостоятельность фиксации.
> согласиться с принятии метода, дать ему "право на жизнь" как стандарта
> для лечении при изолированных переломов голени.
Безусловно, в тех центрах, где доступны все существующие современные методы, этот просто не нужен. Можно закрыто заштифтовать, и все. Но для отделений с ограниченными возможностями, где до сих пор широко применяется открытый остеосинтез большеберцовой кости одним винтом с последующим наложением гипсовой повязки на 6-8 недель, этот вариант имеет преимущества - возможны ранние и функция, и нагрузка.
|
[
Ответить ]
|
|
Re: Исход лечения низкоэнергетического перелома голени.
Каминский Андрей 10 Июль 2006, 09:38
|
Мы бы, конечно, не рассуждали, а сделали бы только аппараат и нагрузка сразу и срастется хорошо, функция не страдает, а неудобство посещения внны, по утверждениям на форуме, вроде и не проблема.
Но и с Александром полностью согласен, в условиях небольших больниц, где могут быть банальные проблемы с железом и нетолько "продвинутым" (может и колец не быть), такой вариант осеосинтеза жизнеспособен. Результат говорит сам за себя. Удачи.
|
[
Ответить ]
|
Re: Исход лечения низкоэнергетического перелома голени.
Евгений 10 Июль 2006, 17:24
|
Андрей прав, в условиях ЦРБ данный метод, как говорится и дешево и сердито!
|
[
Ответить ]
|
Re: Исход лечения низкоэнергетического перелома го
Алексей Семенистый 11 Июль 2006, 09:42
|
>Такой же остеосинтез с открытой репозицией,
> фиксацией позиционным винтом и шинированием в аппарате
> Илизарова было выполнено....
Если винт все-таки стягивающий (компрессирующий), а не "позиционный", то это чистой воды философия АО, так называемый принцип Mini-Max. Философии Илизарова , пожалуй пртиворечит: фиксация не совсем внеочаговая:)
> Коллеги, имеет ли такой метод "право на жизнь"? Есть ли
> материалы по подобной методике?
Если бы в нашей клинике интрамедулярный "золотой стандарт" был бы недоступен, мы бы лечили именнно так, как Вы продемонстрировали.
А Семенистый.
|
[
Ответить ]
|
Re: Исход лечения низкоэнергетического перелома го
Отправитель: Anatoly F. Lazarev 11 Июль 2006, 20:20
|
Не могу не согласиться с Алексеем Юрьевичем Семинистым. ЛАФ.
|
[
Ответить ]
|
|
Re: Исход лечения низкоэнергетического перелома голени.
ерохин александр 11 Июль 2006, 23:33
|
Я тоже по такой методике прооперировал пару раз.Оперировал на дому без рентгена,но....собак,только опоры не замкнутые,а на3/4.Кстати,животное через 4-5 дней начинает наступать на ногу,бегать.Так что синтез вполне стабильный.
|
[
Ответить ]
|
Re: Исход лечения низкоэнергетического перелома голени.
Отправитель: tigran 12 Июль 2006, 01:26
|
:) nu vot okazalos chto tak sobak lechat :)))
a esli seriezno to vsietaki kto-nibud lechil tiazhelogo (>100 kg) bol'nogo takim metodom -
naprimer v SSSSSHA liudi v osnovnom tolstie ...etot metod mozhet ne podoyti....
konechno teoriticheski i na otdel'no prodemonstrirovannim bolnom etot metod vigliadit "IZIASCHNO" ..
no v realnoy zhizni po moemu imeiutsia mnogo suchestvennikh ogranicheniy. Inimi slovami, naskolko bezopasno vnedreniia etogo metoda v "massi"
|
[
Ответить ]
|
Re: Исход лечения низкоэнергетического перелома голени.
Отправитель: ерохин александр 12 Июль 2006, 10:27
|
Что за ирония? Этот пример приведен,поскольку животному требуется более стабильный синтез.А универсальных методов для толстых, тонких,глупых,имеющих еще какие-то проблемы-нет.Да и полностью безопасных методов я не знаю.
|
[
Ответить ]
|
Re: Исход лечения низкоэнергетического перелома голени.
Отправитель: Попов Виктор, г.Караганда 12 Июль 2006, 12:05
|
Коснусь частного вопроса - применение подобного варианта комбинированного остеосинтеза при винтообразных переломах голени. Применение внеочаговго остеосинтеза по Илизарову с двумя спицами с напайками требует достаточного опыта, поскольку сопоставить отломки при винтообразном переломе б/б кости со смещением не всегда просто. И связано это, в том числе, и вот с чем.
В конце 80 гг. я, под руководством уважаемого А.А.Коржа и А.К.Попсуйшапка, проводил исследования по биомеханике винтообразных переломов костей голени, обнаружил много интересного, актуального и сейчас. В частности, заостренный конец центрального б/б кости может формироваться на любой из ее трех сторон: на внутренней, на наружной и на задней. Обычно, считают, что на внутренней и все рекомендации по репозиции и на скелетном вытяжении, и при ВКДО по Илизарову исходят из этого. Представим ситуацию когда заостренный конец центрального отломка сформирован задней поверхностью б/б кости. Тогда, в идеале, для компрессии отломков необходимо проводить спицы в около сагиттальных плоскостях, «прошивая» икроножную мышцу. В этой ситуации можно сопоставить и сдавить отломки и двумя спицами с напайками, проведенными во фронтальной плоскости, но для этого нужен достаточный опыт. Поэтому при винтообразных переломах б/б кости данный вариант лечения даже в условиях городской больницы, где ортопедотравматологическая служба не может быть налажена на уровне НИИТО, можно считать достойным выходом из положения. Проще через минимальный доступ освободить и сопоставить отломки, фиксировать их винтом и стабилизировать сегмент АВФ в минимальной компоновке, выписав больного на амбулаторное лечение на 3-4 сутки, чем неделями «гонять» отломки до приемлемой адаптации, делая десятки снимков. Все мои доводы касаются применения ВКДО при винтообразных переломах голени в недостаточно опытных руках.
|
[
Ответить ]
|
Re: Исход лечения низкоэнергетического перелома голени.
Отправитель: Каминский Андрей 16 Июль 2006, 12:35
|
Очень правильное замечание!
Хочу вопрос увести несколько в иную плоскость - репозиция любого "винта" это вопрос попадания в ротацию. Если попал, можно спицы провести всяко и придавить не зависимо от места расположения отломка, но беда в том, что не попадают. Вот тут и начинается: "неделями <гонять> отломки до приемлемой адаптации, делая десятки снимков"
На это внимания как-то не обращают, а вопрос закрытой ротационной репозиции очень не прост.
|
[
Ответить ]
|
|
Re: Исход лечения низкоэнергетического перелома голени.
Ирина 28 Апрель 2007, 20:33
|
Здравствуйте коллеги.
Просветите,пожалуйста, можно ли стеосинтез 4-мя спицами, с последующим гипсованием голени по поводу закрытого винтообразного перелома н/3 б/берцовой кости и в/3 м/берцовой кости со смещением. Я врач терапевт. Данный прием выполнен моей маме. Спицы были вынуты через 4 месяца, на основании данных RTg (в одном месте неубедительно образовалась костная мозоль). После множества консультаций нам рекомендовали сновать сделать гипсовую лангету, из-за риска "соскальзывания". через семь месяцев провели спиральную томографию, где опять только на одном участке есть маленькая костная мозоль??. "Руками" подвижности нет. Даем дозированную осевую нагрузку. Что нам делать дальше? Помогите советом.
|
[
Ответить ]
|
( Ответить )
|
|