ВХОД ДЛЯ ПАЦИЕНТОВ
вверх
поиск
админ
главная
исходное
|
Re: Acetabular Fx Surgical Approach
послал Chip Routt 15 Июль 2006, 23:02
|
Thanks Jeff-
Learn to do a prone positioned KL exposure...it allows you to routinely deal with such fractures, simplifies imaging, provides improved exposure, allows a wider range of clamp usage, eliminates gravity as a deforming force on the unstable caudal segment, among other benefits...thusly you have no need for supplementary exposures except in VERY rare situations.
Timing- get it done whenever the patients is stable and you can preop plan it...we reserve urgent ORIF for irreducible fracture-dislocations and other rare indications...this debris does not seem to impact the head to dome reduction. Doing this at post-injury day 11 and using 40# of traction both seem to invite problems.
There are numerous other important details related to this particular injury...too much for email.
Understand that this is no simple fracture but in the same breath is very common and can be very routinely-simplistically treated without a variety of complicated and variable scenarios...keep it simple...turn him prone, clean him up, do a nice exposure, protect the nerve, remove the debris, save it and sort it out if you can, clean the fracture lines, manipulate and clamp the transverse, hold it how you choose (I'd recommend a percutaneously inserted 3.5mm antegrade medullary lag screw), remove the clamp, reduce the
small or impacted fragments to the head, reduce the wall, and support the wall and transverse with a balanced 3.5mm contoured reconstruction plate.
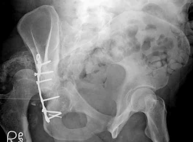
I'll include a few images of a similar injury in a similarly large male patient. This patient "showed up" in our ER c/o hip pain 2 months after being treated in the lateral position, without a quality reduction, without an anterior column transverse supporting implant, with an unbalanced plate applied too medially, with insufficient caudal segment fixation...it took over 8 hours and a 3+ l blood loss to debride the callus from front then
back, excise the HO, release his sciatic nerve, reduce the head-transverse-wall, and fix it...and now it's a staging procedure.
The 2nd example is of a motorcyclist with a transverse fracture-dislocation...he had a closed attempted reduction and placed in traction but the manipulative reduction was not concentric (not unusual for this injury pattern)...so the traction was adjusted to be just enough to disengage the head from the fracture (12#) until he could be cleared for surgery one day after injury...he was treated "urgently" then with a prone KL, clean the fracture, reduce and clamp it, screw it, support with a balanced plate, close, and enjoy...2-3hours, 400cc EBL, blah, blah, blah..

It just isn't so hard and doesn't have to be an adventure of numerous approaches, position changes, etc...not at this point in time...go with him to someone who does these "in their sleep" and you'll all be pleased.
Hopefully the examples help...if not, let me know and we'll try some others-
Chip
|
| Послать ответ |
Обратите внимание: Поля с жирными названиями обязательны.
Старайтесь отвечать в рамках обсуждаемой темы, а не начинать новые обсуждения.
Указывайте адекватную тему сообщения, чтобы было ясно, о чем оно.
Не послайте сообщений не по теме (оффтопик), раздраженных, грубых или обидных комментариев. Здесь это неуместно.
|