Ответить
|
Re: Acetabular Fx Surgical Approach
Peter Trafton 15 Июль 2006, 21:58
|
Hi Jeff,
Posterior approach, as soon as safely & conveniently doable. Why wait 11 days? With 40 lbs. traction?
Stabilize anterior column with fluoroscopically guided screw across this end of the transverse fx - As usual, after your reduction of the femoral head, the transverse fx became minimally displaced - slightly gapped without stepoff. I usually (reduce &) stabilize the medial side of the posterior column (transverse fx) with a short plate - before placing the anterior screw unless the transverse fx is undisplaced.
Biggest problem appears to be impaction & comminution of the posterior wall fx site - you've left out some CT cuts. This is not just fragments in joint. It may leave a deficient area, &/or block satisfactory posterior wall reduction.
May need to bone graft elevated articular fragments. Lag screws & more lateral contoured plate to buttress PW. Make sure this reduction is
anatomical.
Best,
/pgt
|
[
Ответить ]
|
Re: Acetabular Fx Surgical Approach
Dan Schlatterer 15 Июль 2006, 22:01
|
hello,
For this fracture pattern, I have had good luck with fluoro guided anterior column screw first.
pt supine helps get the best fluoro images. then cut the guide wire below the skin and leave it in place along with the anterior column screw. staple the small incision closed and cover with ioban. then reposition, remove ioban, reprep/drape pt in lateral decub for KL approach.
sometimes the anterior column screw needs to be backed out to help get the best reduction of posterior column. with guide wire in place this is fairly easy, the fracture will rotate around the wire, and the anterior column screw can be readvanced with confidence it is within bone. I have intra-op photos on office computer if interested.
dan schlatterer
atlanta medical center
atlanta, ga
|
[
Ответить ]
|
Re: Acetabular Fx Surgical Approach
Chip Routt 15 Июль 2006, 23:02
|
Thanks Jeff-
Learn to do a prone positioned KL exposure...it allows you to routinely deal with such fractures, simplifies imaging, provides improved exposure, allows a wider range of clamp usage, eliminates gravity as a deforming force on the unstable caudal segment, among other benefits...thusly you have no need for supplementary exposures except in VERY rare situations.
Timing- get it done whenever the patients is stable and you can preop plan it...we reserve urgent ORIF for irreducible fracture-dislocations and other rare indications...this debris does not seem to impact the head to dome reduction. Doing this at post-injury day 11 and using 40# of traction both seem to invite problems.
There are numerous other important details related to this particular injury...too much for email.
Understand that this is no simple fracture but in the same breath is very common and can be very routinely-simplistically treated without a variety of complicated and variable scenarios...keep it simple...turn him prone, clean him up, do a nice exposure, protect the nerve, remove the debris, save it and sort it out if you can, clean the fracture lines, manipulate and clamp the transverse, hold it how you choose (I'd recommend a percutaneously inserted 3.5mm antegrade medullary lag screw), remove the clamp, reduce the
small or impacted fragments to the head, reduce the wall, and support the wall and transverse with a balanced 3.5mm contoured reconstruction plate.
I'll include a few images of a similar injury in a similarly large male patient. This patient "showed up" in our ER c/o hip pain 2 months after being treated in the lateral position, without a quality reduction, without an anterior column transverse supporting implant, with an unbalanced plate applied too medially, with insufficient caudal segment fixation...it took over 8 hours and a 3+ l blood loss to debride the callus from front then
back, excise the HO, release his sciatic nerve, reduce the head-transverse-wall, and fix it...and now it's a staging procedure.
The 2nd example is of a motorcyclist with a transverse fracture-dislocation...he had a closed attempted reduction and placed in traction but the manipulative reduction was not concentric (not unusual for this injury pattern)...so the traction was adjusted to be just enough to disengage the head from the fracture (12#) until he could be cleared for surgery one day after injury...he was treated "urgently" then with a prone KL, clean the fracture, reduce and clamp it, screw it, support with a balanced plate, close, and enjoy...2-3hours, 400cc EBL, blah, blah, blah..

It just isn't so hard and doesn't have to be an adventure of numerous approaches, position changes, etc...not at this point in time...go with him to someone who does these "in their sleep" and you'll all be pleased.
Hopefully the examples help...if not, let me know and we'll try some others-
Chip
|
[
Ответить ]
|
Re: Acetabular Fx Surgical Approach
Отправитель: Hüseyin Demirörs 15 Июль 2006, 23:18
|
Dear Dr Routt,
Exellent cases for discussion, surely will help us to plan and perform acetabular surgery.
I have another patient 23 years of age, post wall + transverse frx, had surgery 10 months ago elsewere in Ankara without reduction and still has
pain and limp. Hip is posteriorly dislocated and head is destructed by the plates and
screws.
Any suggestion other then arthrodesis or artroplasty?
Huseyin Demirors MD
Baskent University Faculty of Medicine
Dept. of Orthopedics and Travmatology
|
[
Ответить ]
|
Re: Acetabular Fx Surgical Approach
Отправитель: Chip Routt 16 Июль 2006, 00:00
|
No... sorry.
|
[
Ответить ]
|
Re: Acetabular Fx Surgical Approach
Отправитель: Alexander Chelnokov 16 Июль 2006, 00:33
|
Why not transtroch triradiate approach in lateral decubitus?
THX for the impressive presentations.
|
[
Ответить ]
|
Re: Acetabular Fx Surgical Approach
Отправитель: Chip Routt 16 Июль 2006, 00:37
|
You can do whatever approach that you choose..my comments reflect what I've learned the hard way, and I'm trying to help others avoid the same path... simple as that.
The lateral position is cumbersome (for everyone) and gravity impacts the limb causing displacement of the caudal transverse segment along with the limb. It turns an operation into a wrestling match...and gravity and the limb will defeat the surgeon most times. If you like malreductions and frustrating fixations, you'll get them.
The osteotomy adds just one more level of complexity and another opportunity for situations to occur which you'd rather not have occur... non-union, symptomatic implants, resultant pain, limp, AVN...and on and on.
These additional and unnecessary operative steps complicate an otherwise very routine operation.
Reducing a transverse accurately and safely is extremely difficult with the patient positioned laterally, regardless of the selected exposure... it can be done, and we've all had mentors teach us what we feel and hope to be "excellent" exposures and we dutifully follow that educational stream regardless of its foundation... me too and I'm very grateful... but we can also make progress beyond and build onto that learning platform.
The prone position truly makes it an uneventful operation as long as the surgeon knows how to work thru the greater sciatic notch to access the quadrilateral surface, has adequate clamps, knows appropriate fixation techniques, and understands acetabular/pelvic intraop imaging with the C-arm.
That's why-
Chip
|
[
Ответить ]
|
|
Re: Acetabular Fx Surgical Approach
Rajesh 15 Июль 2006, 23:04
|
Chip,
It's always enlightening and a pleasure to read your messages.
rajesh
|
[
Ответить ]
|
Re: Acetabular Fx Surgical Approach
Jeff Brooks 15 Июль 2006, 23:06
|
Thanks to all who have commented. This case has generated a very nice set of 'pearls'. (In part,by posting this case I wanted to generate a discussion of when to approach any acetab fx thru 2 approaches but it has expanded nicely into a great overall advice session!)
a couple more discussion points:
1) from the back thru KL, if the ant column is off rotationally as assessed by palpation thru the GS notch and fluoro, I'd try a pin and t-handle in the ischium to derotate, then AC antegrade screw. Any other tricks for AC reduction thru the KL approach?
2) also, has anyone had experience with ilioinguinal approach thru a previously-operated belly (with scars all over the place and probable
adhesions nearby where you're working along the brim??)
3) If hospital has no Judet table (but something close that doesn't rotate or allow boot-attachment for flexion of the knee to relax the nerve while DF pin is in traction), does one still go prone, say, on the radiolucent board with +/- femoral distractor from ilium to femur (although wrong Tx vector) or prone with a strong assistant to pull (along with, of course, the appropriate reduction/distraction clamps)?
Thanks for everyone's comments, and thanks Chip for sending those great case examples.
Jeff
Jeffrey J. Brooks, MD
Stamford, CT
|
[
Ответить ]
|
Re: Acetabular Fx Surgical Approach
Отправитель: Chip Routt 16 Июль 2006, 00:08
|
>1) from the back thru KL, if the ant column is off rotationally as assessed
> by palpation thru the GS notch and fluoro, I'd try a pin and t-handle in the
> ischium to derotate, then AC antegrade screw. Any other tricks for AC
> reduction thru the KL approach?
1. clamp it.
2) also, has anyone had experience with ilioinguinal approach thru a
> previously-operated belly (with scars all over the place and probable
> adhesions nearby where you're working along the brim??)
2. yes...more than I'd like...the anatomy is fibrous/dense/stiff and varied
depending on what's been done before.
>3) If hospital has no Judet table (but something close that doesn't rotate
> or allow boot-attachment for flexion of the knee to relax the nerve while DF
> pin is in traction), does one still go prone, say, on the radiolucent board
> with +/- femoral distractor from ilium to femur (although wrong Tx vector)
> or prone with a strong assistant to pull (along with, of course, the
> appropriate reduction/distraction clamps)?
3. I've never used a Judet table...only seen pictures and they look fancy, but we're not so fancy... and to my knowledge, I haven't needed one yet... but maybe I have and just didn't realize it. We just isolate the perineum, prep the lumbodorsal areas, flanks, and injured lower extremity in its entirety.
You'll need an assistant on the opposite side to retract, and another one on the injured side with you is ideal to provide suction and ipsilateral knee flexion... the ipsilateral assistant can also apply gentle distal-lateral hip traction using a trochanteric ridge bone hook or proximal femoral pin to disengage the head from socket in order to remove debris... your ability to view the joint is determined by the wall size and caudal transverse
segment's instability... the bigger the wall fragment retracted away and the more unstable the caudal transverse segment then the better the joint visualization...you can also use a universal distractor or external fixateur to distract the joint but it never fatigues (which is bad for a tensioned nerve), it must be applied in an appropriate vector, it may interfere with your visualization and obstruct your working into the joint zone, and it leaves holes in the supra-acetabular zone where you might like to apply implants later...so be smart when applying it. You don't need strong assistants, you need smart ones.
Thank you-
Chip
|
[
Ответить ]
|
|
Re: Acetabular Fx Surgical Approach
Dan Schlatterer 15 Июль 2006, 23:49
|

good morning,
the case that I found is a 20yo male, MCC. his AP pelvis shows an interesting position of his bladder. it is pushed aside by a hematoma from SGA injury. we did a limited lateral window approach for the anterior column first, pt bumped up/supine. then closed and repositioned for KL. I could not find intra-op photos of cases when we did only a small incision for the AC screw (but they do exist!!). the lateral window is available for reduction assessment if a KL approach is being used. in the lateral position this window is available. the prone position definitely takes pressure off of the post column and facilitates reduction. in the lateral position a schantz pin in the ischial tub +/- bone hook in sciatic notch helps with PC reduction. the lateral position also gives better airway access for anesthesia. airway problems are rare, but prone position seems to be a bit more of a challenge to exchange the tube, or reintubate altogether. just something further to debate!
dan schlatterer
atlanta
|
[
Ответить ]
|
Re: Acetabular Fx Surgical Approach
Отправитель: Chip Routt 16 Июль 2006, 00:18
|
Your lateral intraop image actually made me nauseated... truly a visceral response when I saw it... it's an image which brings back the horrid memories of my past... struggling to achieve my daily malreduction... flipping and flopping the poor patient... reprepping... wasting time... praying... trying to get a C-arm in place... gag... until some kind soul taught me a prone KL.... ahhh, what a great day that was.
I've heard all the anesthesia issues over the years... believe me.
Prone seems to work very well for the spine team...prone is also now used by ICU teams for improved pulmonary work, and once you learn it, you'll never go back lateral.
Remember to put your toe in the water with someone who knows how to swim.
Chip
|
[
Ответить ]
|
Re: Acetabular Fx Surgical Approach
Отправитель: Zholt Balogh 16 Июль 2006, 00:22
|
K-L approach was described for prone position. the lateral positioning is coming from elective orthppaedics (hip arthroplasty). Lateral position works against your reduction especially in the transverse fracture cases like this was. You can manage isolated posterior wall fractures from lateral positioning.... but you do not need to struggle with it.
Zsolt Balogh
|
[
Ответить ]
|
Re: Acetabular Fx Surgical Approach
Отправитель: Dan Schlatterer 16 Июль 2006, 00:39
|
thank you for your thoughts. it is interesting how you knew that I am afraid of the water. one
of these days I will learn to swim:)
|
[
Ответить ]
|
Re: Acetabular Fx Surgical Approach
Отправитель: Peter Krause 16 Июль 2006, 00:43
|
I agree with Chip. I trained with the lateral position, but have converted to prone for most of these cases. I think the prone postion is extremely helpful not just for transverse posterior walls, but also for the very unstable
extensive posterior walls. In these cases you really need gravity on your side.
The exception for me is the extremely rare combined (operative) femoral head + posterior wall where I have done the surgical dislocation. I have not had a Judet table available to me so I I use manual traction.
Peter Krause, MD
Assistant Professor
LSU Department of Orthopaedic Surgery
New Orleans, LA
|
[
Ответить ]
|
Re: Acetabular Fx Surgical Approach
Отправитель: Jeff Brooks 16 Июль 2006, 00:56
|
Are those who do these Fxs prone using a radiolucent flat board, Jackson Spine, standard table, Fx table?
I do most all pelvic cases on the OSI modular table with the flat board which is entirely radiolucent and very easy to work with. My hospital does not have the fancy Fx table attachment for this, however, as our Fx table is separate.
Jeff
|
[
Ответить ]
|
Re: Acetabular Fx Surgical Approach
Отправитель: Bruce Ziran 16 Июль 2006, 01:02
|
It seems that there are a lot of strong opinions on this matter. Just to stir it up a bit more, I will propose that using a Jackson table, lateral position, with traction, and using the peroneal post with the vertical height adjustment gets the best of both worlds. The vertical post overcomes gravity quite easily and facilitates surgical luxation of the head when longitudinal traction is added. The set up is easy, all of the vectors of forces that those who propose prone positioning can be accounted for, and if a troch osteotomy is needed (for whatever reason), it allows access to more anterior structures. I am definitely not a fan of floppy lateral with manual traction. I agree with Chip, this is absolute torture, but I have used all of the described methods and settled on what seemed easiest. Over come the vectors of deformity, eliminate human fatigue (manual traction), and its not so bad. If a T or bad transverse is tough, it is probably not going to be solved, or caused by the position, but probably justifies a sequential procedure with a second postioning and anterior approach. Acetabular and pelvic surgery seemed to bring out the dogma in us all..
Bruce H. Ziran, M.D.
Director of Orthopaedic Trauma
St. Elizabeth Health Center
Associate Professor of Orthopaedic Surgery
Northeast Ohio Universities College of Medicine
|
[
Ответить ]
|
Re: Acetabular Fx Surgical Approach
Отправитель: Chip Routt 16 Июль 2006, 09:38
|
> It seems that there are a lot of strong opinions on this matter. Just to stir
> it up a bit more, I will propose that using a Jackson table, lateral position,
> with traction, and using the peroneal post with the vertical height adjustment
Simple as this, 99.99% of surgeons can't safely work and clamp through the notch with the patient positioned laterally...it's just not anatomically possible... and it's all about the reduction... we know that.
Imaging is so easy with a prone patient on a radiolucent table, and it's so troublesome with a laterally positioned patient on a fracture table...we know this too.
Fracture tables with perineal posts and sustained traction (to maintain an approximate and "soft tissue tensioned" based reduction) cause complications that we're all very familiar with... if you are too young, ask those who remember the history and evolution of femoral nailing...it's written.
This is not dogma, it's just reality...it is what it is...you know what you know, but you don't know what you don't know.
These details only matter to the patients and those that you try to teach.
That's enough from me-
Chip
|
[
Ответить ]
|
Re: Acetabular Fx Surgical Approach
Отправитель: Flavio Restrepo 16 Июль 2006, 15:16
|
I'm with Dr. Chip
The classical papers are:
JBJS 1964; 46A: 1615-46 Judet R, Judet J, Letournel E. Fractures of the acetabulum: classification and surgical approaches for open reduction.Clin Ortthop 1980; 151: 81-106.
Letournel E: Acetabular fractures: Classification and manegament. Springer Verlag 1993. Letournel E, Judet R: Fractures of acetabulum. ed 2, Berlin, Germany
Flavio
|
[
Ответить ]
|
|
Re: Acetabular Fx Surgical Approach
Rahul Banerjee 16 Июль 2006, 00:29
|
I'm glad to see there is finally a good discussion about Acetabular fractures on the list.
Just to toss another point into the mix:
The lateral position allows for the trochanteric osteotomy ("slide") and surgical dislocation as described in Siebenrock et. al. Surgical Dislocation of the Femoral Head for Joint Debridement and Accurate Reduction of Fractures of the Acetabulum, JOT 2002. This is a useful adjunct for 1)intra-articular fragment removal, 2)assessment of transverse fracture line reduction, 3) treatment of associated femoral head fractures. I am not sure that this is possible with a prone K-L approach.
Peter Trafton taught me how to do an excellent KL in the lateral position which is what I use for posterior wall, posterior column, and associated fractures. Perhaps I have not done enough cases yet to encounter great difficulty, but I think you can gain excellent access to the column, the sciatic notch and control and reduce column and wall fractures. It is necessary to constantly be vigilant about extending the hip and flexing the knee to prevent sciatic nerve problems.
But I'm always willing to learn and maybe I can come up to Seattle some time and have Chip show me the beauty of the prone approach.
Rahul Banerjee
El Paso, TX
|
[
Ответить ]
|
Re: Acetabular Fx Surgical Approach
Dr.Mehmet Arazi 17 Июль 2006, 14:49
|
Dear Dr Routt:
Thank you for your useful and great comments! I am also use KL aproach in prone position that i
learned from the mentors of acetabular and pelvic fracture surgery (Joel Matta, J Mast, Eric Jhonson,
K.Mayo,).
Altough the Letournel's Book which was published in 1993, in today after more than 13 years, it is
still an uniuque and complete reference for the orthopaedic surgeon who want to do this surgery.
Best regards
M. Arazi, MD,
Orthopaedic Surgeon, Lecturer,
Turkey,
|
[
Ответить ]
|
Re: Acetabular Fx Surgical Approach
Bruce Ziran 17 Июль 2006, 14:51
|
Some of this discussion does not make sense. The sciatic notch is no different anatomically whether prone or lateral. The imaging is not difficult in the lateral positoin. The traction used is not sustained either. It suspends the leg and is only used when needed. The literature on traction for femoral nailing emphasized the use of wider and well padded posts, and unsustained use. The operative times for most KL approaches are well below 2 hours and traction is used for the brief moments to help with reduction and to look into the joint. The patient is well positioned, gravity actually helps with exposure and is overcome by equipment. I used to be younger and learned both methods from the same experts. They both work and the surgeon just needs to pick what they feel most comfortable using. Now I am older and I use and teach the lateral approach successfully. I respect Chip's opinion and expertise but either I am one of the three 0.01% of ortho trauma surgeons who use the lateral, or that 99.99%
figure may be a bit skewed! My previous partners both used lateral without any traction and did a nice job as well.
I dont think it makes sense to espouse one technique too strongly. Just as in femoral nailing (supine or lateral) and in total joints (posterior, lateral, or anterior), there are several ways and many opinions. What is the best for the patient, is what the surgeon does best. I began with the prone positoin but felt it was too restrictive and developed a way to make the lateral position work although there are times I use the prone as well. Others feel differently and I would never chastise another acceptable way of doing these cases. Lets face it in the pool of orthopedists, very few are willing, or able to do this type of surgery, The bottom line is that whatever approach or method used, if it is done properly and with attention to the principles, it will work.
BZ
Bruce H. Ziran, M.D.
Director of Orthopaedic Trauma
St. Elizabeth Health Center
Associate Professor of Orthopaedic Surgery
Northeast Ohio Universities College of Medicine
|
[
Ответить ]
|
Re: Acetabular Fx Surgical Approach
Отправитель: Chip Routt 17 Июль 2006, 20:14
|
See below comments...no chastise, espouse, etc-
Chip
BZ> Some of this discussion does not make sense.
This statement is absolutely true.
BZ> The sciatic notch is no different anatomically whether prone or lateral.
This is true from an osseus standpoint, but it’s 90 degrees different geometrically and that has great impact on the local soft tissue behavior.
BZ>The imaging is not difficult in the lateral positoin.
This is not true...please.
BZ> The traction used is not sustained either.
OK... some forget to release when not in use.
BZ>It suspends the leg and is only used when needed.
Sometimes it’s needed for prolonged times while doctors work hard trying to assemble a fracture.
BZ> The literature on traction for femoral nailing emphasized the use of wider and well padded posts, and unsustained use.
The bigger the post, the smaller the operative field and the more obstructed the imaging.
BZ> The operative times for most KL approaches are well below 2 hours and traction is used for the brief moments to help with reduction and to look into the joint.
Wow!! You are really fast... it takes most surgeons 30-45” just to get the patient positioned on a fracture table.
BZ>The patient is well positioned, gravity actually helps with exposure and is overcome by equipment. I used to be younger and learned both methods from the same experts. They both work and the surgeon just needs to pick what they feel most comfortable using. Now I am older and I use and teach the lateral approach successfully.
Good.
BZ> I respect Chips opinion and expertise but either I am one of the three 0.01% of ortho trauma surgeons who use the lateral, or that 99.99% figure may be a bit skewed! My previous partners both used lateral without any traction and did a nice job as well.
Good.
BZ>I dont think it makes sense to espouse one technique too strongly. Just as in femoral nailing (supine or lateral) and in total joints (posterior, lateral, or anterior), there are several ways and many opinions. What is the best for the patient, is what the surgeon does best.
Think about what you just said.... what if my “best” is my spica casting technique? This is not about the surgeon and his/her “comfort”... it’s about the patient.
BZ>I began with the prone positoin but felt it was too restrictive and developed a way to make the lateral position work although there are times I use the prone as well. Others feel differently and I would never chastise another acceptable way of doing these cases. Lets face it in the pool of orthopedists, very few are willing, or able to do this type of surgery, The bottom line is that whatever approach or method used, if it is done properly and with attention to the principles, it will work.
Good enough...you know what you know.
Chip
M.L. Chip Routt, Jr.,M.D.
Professor-Orthopedic Surgery
Harborview Medical Center
325 Ninth Avenue
Box 359798
Seattle, WA 98104-2499
phone 206-731-3658
FAX 206-731-3227
|
[
Ответить ]
|
Re: Acetabular Fx Surgical Approach
Отправитель: Bruce Ziran 17 Июль 2006, 20:48
|
It seems to be a pretty emotional topic. Did not mean to throw gas on the fire. Very enlightening discussion, nonetheless. Hope it is ok to agree to disagree sometimes. Guess I will continue to mame the public as before.
Our weapons of choice may be different but the end result should be the same. Cheers.:)
BZ
Bruce H. Ziran, M.D.
Director of Orthopaedic Trauma
St. Elizabeth Health Center
Associate Professor of Orthopaedic Surgery
Northeast Ohio Universities College of Medicine
|
[
Ответить ]
|
|
Re: Acetabular Fx Surgical Approach
Jeff Brooks 17 Июль 2006, 21:25
|
In this erudite, and very helpful, discussion Chip has commented several times about clamping a transverse fracture.
I am familiar with all the assorted clamps, repositioning forceps, etc, available and I'm trying to picture what you describe when youention clamping "thru the notch". What type of clamp do you use most frequently (pointed reduction, offset clamp with a toothed "foot", Farabeufs or "repositioning forceps" secured to screws on either side of the Fx)? How do you clamp a transverse Fx thru the greater sciatic notch? Do you mean across it (cephalo-caudally?) Where (anatomically) do you prefer to put the teeth of the clamp?
I've used small or large "repositioning forceps" or Farabeufs in the past in fxs like this (tsvs/PW) to reduce & hold the PC Fx with temp
screws cephalad and #2 screw in the caudal seg, then manipulate & clamp these 'screw-bone-units' together with a repo/Farabeuf, palpate thru notch to assess AC reduction as well as luoroscopically, and then apply first plate near notch, then reduce & fix PW with AC screw antegrade thru second, more lateral, buttress plate for the reduced &
grafted/supported PW.
If Chip or anyone has a trick or pearl on clamping technique to reduce a tsvs Fx like this one I'd be interested in hearing it.
Thanks again to everyone for a great discussion & debate.
Jeff
|
[
Ответить ]
|
Re: Acetabular Fx Surgical Approach
Отправитель: Chip Routt 17 Июль 2006, 21:43
|
I¹ll send along some clinical pics, models, clamps, and the fluoro images to go with it... I¹ll also make a step by step clinical and fluoro tutorial on the next transverse or Tr/PW that we do.
Based on this discussion line, clamping thru the notch is clearly not a familiar technique.
There¹s no need to do these fractures prone if you aren¹t going to exploit the quadrilateral surface access.... this is why some are stuck using the
lateral position... they aren¹t working thru the notch so the soft tissue gains of prone are not apparent.
If you¹d examine any routine CT scan of a normal non-variant pattern transverse fracture, and imagine where you¹d place your ideal clamp for compression of the fracture line, then it¹s typically with one tine applied to the quadrilateral surface and the other tine applied in the area between the AIIS and the posterior wall (or the wall itself in some instances)... the
pictures will ³make more sense².
My best guess is that most are clamping the posterior column component of a transverse fracture using a Farabeuf or similar clamp because you can see this portion of the fracture... it¹s just so difficult to do this and only addresses one fracture limb... this clamp application fills the wound, obstructs the imaging and implant applications, complicates access to the anterior column, etc. I¹ve done this too... it¹s insufficient.
If you¹d simply elevate the periosteum of the greater notch, then work thru the notch to elevate the obturator internus from the quadrilateral surface, then you can palpate thru the notch the transverse fracture offset/displacement at the quadrilateral surface and often all the way to
the anterior column. You can then lateralize/lengthen the caudal transverse segment uniformly however you¹d choose and clamp it thru the notch... then palpate thru the notch to better assess the near entirety of the transverse fracture... the C-arm images confirm the restoration of the 3 line landmarks and you can adjust the C-arm beam to be tangential to the true fracture line if you¹re still in disbelief that you¹ve finally gotten a transverse reduction!! The transverse¹s anterior column component can next be
stabilized with a medullary antegrade ramus screw inserted using standard inlet and obturator-oblique combination imaging for safety... the medullary ramus screw will secure the transverse sufficiently about 90-95% of the time so that the clamp can be removed, the impaction segments elevated and supported, the wall fragments reduced and secured with temporary K-wires, then the wall buttressed and transverse neutralized with a contoured plate...remove the K-wires, debride the regional necrosis, wash and close.
I¹ll send some pictures as soon as I can get to it-
Chip
|
[
Ответить ]
|
|
Re: Acetabular Fx Surgical Approach
Peter Trafton 17 Июль 2006, 21:38
|
Chip, Jeff, and all:
This is probably the best, most instructive, and constructive, discussion that's appeared on the OTA list serv since its inception!
My admiration and congratulations to all participants.
Let's keep this trend going.
Bravo!
/p
|
[
Ответить ]
|
Re: Acetabular Fx Surgical Approach
Отправитель: Jeff Brooks 17 Июль 2006, 21:53
|
I'm learning a great deal myself and I appreciate this resource enormously.
Thanks again to all who have commented.
A colleague reminded me of the very clear depictions of clamping in the notch for tsvs fxs that appear in Tile's textbook chapt 32 as well as in Letournel's text.
I was confused what was meant by "through" the notch as opposed to "in" the notch, as depicted in Tile's text ch 32. I guess this comes down to semantics.
Also, I am very tempted to try this transverse PW Fx in the prone position. Will let you know how it goes.
Thanks again,
Jeff
|
[
Ответить ]
|
|
Re: Acetabular Fx Surgical Approach
Alexander Chelnokov 18 Июль 2006, 10:14
|
Приветствую, коллеги
Не знаю, кто как, но в нашей ординаторской мы просто наслаждаемся, читая эту дискуссии по оптимальным доступам и позиционированию при остеосинтезе поперечных переломов вертлужной впадины.
Хочется просто аплодировать. Мне кажется, я не встречал текста, сильнее мотивирующего учить "ортопедический английский".
Коллеги, кто занимается остеосинтезом таза и вертлужной впадины, как Ваше мнение?
|
[
Ответить ]
|
Re: Acetabular Fx Surgical Approach
Отправитель: Evgueny Tchekashkine 18 Июль 2006, 10:16
|
Саша, Приветствую,
Познавательная, конструктивная дискуссия, Все свои впадины я оперировал на боку и как точно было сказано, операция превращается в борьбу:-)) за репозицию(для меня это именно так, особенно если учесть, что оперировать приходилось либо со скучающим интерном мужского пола или с хрупкой барышней- интерншей, проходящей 2-х месячную
ротацию по травме-ортопедии - вдвоем:-))
Логичное заключение, что бы не бороться с гравитацией, уложить пациента на живот.:-))) в 1 Градской, когда я проходил там ординатуру н-ное время назад :-)) задние края так и оперировали, но в то время у меня не было практически осмысленного понимания этого вида перелома. Chip Routt красноречиво описал свой путь к современному подходу, * поборолся* из бокового доступа:-)). При следующем случае попробую,посмотрю, что из этого
получится.
Всего Доброго,
Евгений
|
[
Ответить ]
|
Re: Acetabular Fx Surgical Approach
Отправитель: tigran 18 Июль 2006, 11:06
|
a eta discussiia proiskhodit na paralelnom forume (tipa Vi eie perenosite siuda) ili zhe inostranci iz-za ischeznoveniia orthogate.com prosochilis k nam?
|
[
Ответить ]
|
Re: Acetabular Fx Surgical Approach
Отправитель: Alexander Chelnokov 18 Июль 2006, 11:56
|
Это прохоит в OTA mailing list, подписка на http://www.ota.org/discussion/index.html.
|
[
Ответить ]
|
|
Re: Acetabular Fx Surgical Approach
Djoldas Kuldjanov, M.D. 19 Июль 2006, 11:34
|
Конечно в дисскуссии участвует сегодняшние “Guru” в ОТА, и интересно наблюдать их научный и ненаучный спор. Peter Trafton из Браунского Университета один из авторов (Jessie Jupiter и Bruce Browner) книги “Skeletal Trauma”, а Chip Routt ведущий по ацетабулярной хирургии в Сиэтлском Университете Вашингтон, так что специалисты своего дела.
По дискуссии видно, как детально разбирается ход операции, как учтены каждая мелочь и нюансы хирургического вмещательства, и по публикацияму них огромный опыт по лечению ацетабулярных переломов.
В свое время Joel Matta писал, а он один из первых учеников Emil Letournel (Jeffrey Mast, Keith Mayo, Eric Johnson), что только после 60 случаев ацетабулярной хирургии начинаешь понимать характер
перелома. Сложная анатомия, сложный доступ и умение пользоватся всем нужным инструментарием для операции, можно получить только после специальной подготовки у мастеров, даже при этом, по дисскуссии, сколько новых “мелочей” открывают каждый, даже те, кто ежедневно занимается этой паталогией.
Насчет чрезвертельного доступа, за исключением тех случаев, когда характер травмы является основанием, например, открытый чрезвертельный перелом, мы не пользуемся этим доступом, к перечисленным осложнениям при этом доступе можно ещё добавить HO (гипертропическую оссификацию),
почему не знаю, при этом доступе большой процент НО и раневых осложнений, хотя у автора Dana Mears все получается без осложнении.
До посещения курса у Летурнеля, наряду с Кохер-Лангенбек я сам пользовался этим доступом. Но этот доступ для себя находил трудным, из-за отсутствия доступа к квадрилатеральной поверхности изнутри, хотя можно было сделать ограниченный окно и добиться доступа спереди и через ишиальную вырезку возле нерва сзади, но всегда испытывал
трудности с репозицией.
Может кто-то из участников, кто имеет опыт применения чрезвертельного доступа при переломах, расскажут о своем опыте и трюках репозиции.
Из всех описанных доступов Эмилем Летурнелем в своей книге, KL доступ анимирован доктором Бурман и выставлен здесь линк к докладу
http://hwbf.org/ota/bfc/stov2/exp.htm
Djoldas Kuldjanov, MD
Department of Orthopedic Surgery
St. Louis University Medical Center
|
[
Ответить ]
|
Re: Acetabular Fx Surgical Approach
Chip Routt 19 Июль 2006, 14:51
|


Prone
 Clamp
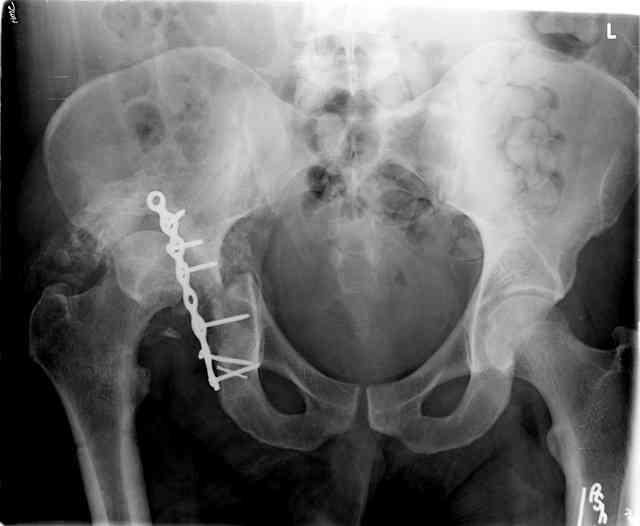
You can adjust the quadrilateral surface contact point as needed to get the fracture to reduce...we plan this based on the fracture orientation on the preop CT scan images...the clamp should be balanced to avoid over compressing one portion and distracting the other limb. Go back to and you¹ll see on the injury CT where the clamp tines need to be.

Prone
Here's a pic from the foot of the bed and you can see the clamp in the wound and the knee is extended so he must've had a tight rectus. The C-arm is rolled back to an obturator oblique image to reveal the anterior column...we put a slight outlet tilt to combine the images and give a better view of the anterior column...we can see the posterior column limb reduction in the wound, we can palpate the quadrilateral surface limb, and the image demonstrates the anterior column portion...you can adjust the tilt and rotation to image tangentially to the fracture plane if you'd like. We've inserted a 2mm K wire to site the starting point and aim/orientation for the drill and screw

Prone Imaging
same image, just another look.

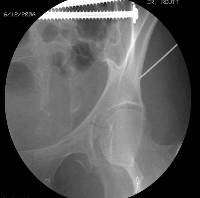
Prone Inlet
OK, now we're inserting the drill percutaneosuy using a sleeve. This fluoro shot is not for this patient (notice no clamp) but I was too lazy to go searching the PACS for one with the clamp on, so pretend...I'll save the next ones and send along...the imaging is the same and the clamp doesn't obstruct imaging other than very rarely...you can always tilt the C-arm a bit to clear it if the clamp obstructs the exact spot that you'd like to see. We'll assume that everyone knows the safe zone for a medullary ramus screw. Use a calibrated drill and sleeve of known length to simplify your life...or use Alex's fancy cannulated screws...I like 3.5mm screws because the oscillating 2.5mm drill bounces and remains intraosseus when it oscillates and contacts endosteal cortical ramus... so will the screw, and like a long bent screw IF the fracture is clamped... if unclamped, when the screw contacts the endosteum, it pushes the reduction apart instead of bouncing. The big 7mm cannulated screws fit few patients and extrude...we very rarely use them any more...you'll see an old one later.

Prone Obturator-Outlet
Screw insertion using the obturator-outlet combination image.
12.Prone Obturator-Outlet
Same with a contoured pelvic reconstruction plate applied and tensioned.

Prone Iliac Oblique
The other oblique reveals the extra-articular implants.... you know the AC screw is extra-articular from the other views.

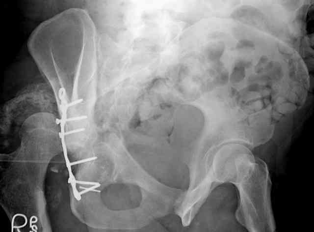
Routine Fixation
AC Screw
PC Neutr Plate
Others
The unstable caudal segment is secured by the lower 2 plate screws and the AC medullary screw... always assure that your fixation is sufficient to defeat the instability... part of your prop plan... but assure it before you close... it¹s your last chance... you shouldn't have to be pushing on the hip in contorted ways to determine your fixation stability...you can if that makes you 'comfortable'.
A CT scan will rarely lie to you...reveals your reduction and implants...we use it to assess, teach, grade, and try to get better next time.

Dorsal Selective Clamp
Yuk, the Farabeuf clamp...a selective dorsal clamp applied using cortical screws previously inserted into the best balance zone of the posterior column... sometimes helpful, and always in the way.

Dorsal Selective Clamp
-PCol Compress
-ACol Distract
-Central
-Joint Screws
-Obstructive
-Sciatic Nerve
The Farabeuf compresses the posterior column limb and this maneuver usually distracts the anterior column component... just like you'd expect it to... the clamp screws are either quite short, directed away from the joint worsening the ACol distraction, or mistakenly inserted into the
joint. The clamp also contacts most sciatic nerves while it's in and unprotected.

Screw Fixation
-AC Screw
-PC Screw
For Alex... here are some cannulated and 7mm screws for you... notice the fracture malreduction as indicated by the head subluxation on both views...this was a percutaneous technique without open reduction... I don¹t like it but there it is... the fixation technique is not at fault, because there was no open reduction of the fracture... but let¹s not get in to all that.
That should be enough-
M.L. Chip Routt, Jr.,M.D.
Professor-Orthopedic Surgery
Harborview Medical Center
325 Ninth Avenue
Box 359798
Seattle, WA 98104-2499
|
[
Ответить ]
|
Re: Acetabular Fx Surgical Approach
Отправитель: rajesh 19 Июль 2006, 23:36
|
Hats off to you. More power to your elbow as they say. This single discussion has been by far one of the most productive ones in the list. Even non-pelvic surgeons like me should benefit enormously. Thank you.
rajesh
Dr.K.R.Rajesh, MS,DipNB,FRCS,FRCS(Orth)
Consultant Upper Limb Surgeon
Division of Upper Limb , Arthroscopy & Joint Replacement Surgery.
Cosmopolitan Hospital
Trivandrum,Kerala,India.
|
[
Ответить ]
|
Re: Acetabular Fx Surgical Approach
Отправитель: Jeffrey Anglen 19 Июль 2006, 23:38
|
Malreduction? Head subluxation? Whoa, your standards are way higher than mine! (but you knew that...)
Thanks for the effort and time you put into these slides - they are VERY helpful, and I learned a bunch from them. Can I use them in a lecture to my residents tomorrow? Full attribution to the source of course.
jeff
Jeff Anglen, MD
Professor and Chairman, Department of Orthopaedics
Indiana University School of Medicine
540 Clinical Drive, Suite 600
Indianapolis, IN 46202
|
[
Ответить ]
|
Re: Acetabular Fx Surgical Approach
Отправитель: Alexander Chelnokov 21 Июль 2006, 11:51
|
Dear Chip,
CR> We№ll assume that everyone knows the safe zone for a medullary
CR> ramus screw.
Always there is someone who shirked this lesson in school. I am awfully sorry to request something else after the great presentations you have done. Bur can you pls add some details about the ramus screws? Maybe a photo of the screw in the moment of insertion through the skin is available? THX a lot!
|
[
Ответить ]
|
Re: Acetabular Fx Surgical Approach
Отправитель: Chip Routt 21 Июль 2006, 12:06
|
We seek the starting site (after reduction) with a thin wire guided by fluoroscopic imaging as the obturator-outlet combination image and also the inlet image...engage the wire tip into bone, incise around the wire, apply a soft tissue protection sleeve of known length over the wire, remove the wire, exchange thru the sleeve with an appropriate diameter drill (I use a 3.5mm most often), drill the glide pathway above and behind the joint to the fracture, exchange for a calibrated appropriate diameter drill, oscillate within the ramus to the pubis, measure depth using the calibrated drill and known sleeve length, do the math, remove the drill and insert screw, tighten, squirt the hole, close, stress the fixation, supplement if needed.

I'll take pictures sometimes but it's just a 1cm incision in the flank... I'm not really sure why you need to see a screw being inserted into the
buttock/flank...it's just a screw being inserted thru the skin.
Chip
|
[
Ответить ]
|
|
( Ответить )
|
|