вверх
отправить
поиск
админ
главная
Предыдущее
|
Re: Acetabular Fx Surgical Approach
Chip Routt 19 Июль 2006, 14:51
|


Prone
 Clamp
You can adjust the quadrilateral surface contact point as needed to get the fracture to reduce...we plan this based on the fracture orientation on the preop CT scan images...the clamp should be balanced to avoid over compressing one portion and distracting the other limb. Go back to and you¹ll see on the injury CT where the clamp tines need to be.

Prone
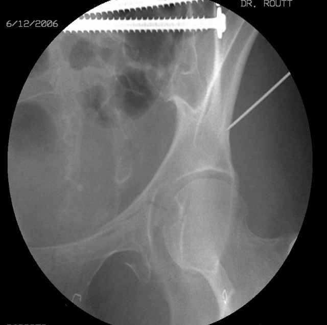
Here's a pic from the foot of the bed and you can see the clamp in the wound and the knee is extended so he must've had a tight rectus. The C-arm is rolled back to an obturator oblique image to reveal the anterior column...we put a slight outlet tilt to combine the images and give a better view of the anterior column...we can see the posterior column limb reduction in the wound, we can palpate the quadrilateral surface limb, and the image demonstrates the anterior column portion...you can adjust the tilt and rotation to image tangentially to the fracture plane if you'd like. We've inserted a 2mm K wire to site the starting point and aim/orientation for the drill and screw

Prone Imaging
same image, just another look.

Prone Inlet
OK, now we're inserting the drill percutaneosuy using a sleeve. This fluoro shot is not for this patient (notice no clamp) but I was too lazy to go searching the PACS for one with the clamp on, so pretend...I'll save the next ones and send along...the imaging is the same and the clamp doesn't obstruct imaging other than very rarely...you can always tilt the C-arm a bit to clear it if the clamp obstructs the exact spot that you'd like to see. We'll assume that everyone knows the safe zone for a medullary ramus screw. Use a calibrated drill and sleeve of known length to simplify your life...or use Alex's fancy cannulated screws...I like 3.5mm screws because the oscillating 2.5mm drill bounces and remains intraosseus when it oscillates and contacts endosteal cortical ramus... so will the screw, and like a long bent screw IF the fracture is clamped... if unclamped, when the screw contacts the endosteum, it pushes the reduction apart instead of bouncing. The big 7mm cannulated screws fit few patients and extrude...we very rarely use them any more...you'll see an old one later.

Prone Obturator-Outlet
Screw insertion using the obturator-outlet combination image.
12.Prone Obturator-Outlet
Same with a contoured pelvic reconstruction plate applied and tensioned.

Prone Iliac Oblique
The other oblique reveals the extra-articular implants.... you know the AC screw is extra-articular from the other views.

Routine Fixation
AC Screw
PC Neutr Plate
Others
The unstable caudal segment is secured by the lower 2 plate screws and the AC medullary screw... always assure that your fixation is sufficient to defeat the instability... part of your prop plan... but assure it before you close... it¹s your last chance... you shouldn't have to be pushing on the hip in contorted ways to determine your fixation stability...you can if that makes you 'comfortable'.
A CT scan will rarely lie to you...reveals your reduction and implants...we use it to assess, teach, grade, and try to get better next time.

Dorsal Selective Clamp
Yuk, the Farabeuf clamp...a selective dorsal clamp applied using cortical screws previously inserted into the best balance zone of the posterior column... sometimes helpful, and always in the way.

Dorsal Selective Clamp
-PCol Compress
-ACol Distract
-Central
-Joint Screws
-Obstructive
-Sciatic Nerve
The Farabeuf compresses the posterior column limb and this maneuver usually distracts the anterior column component... just like you'd expect it to... the clamp screws are either quite short, directed away from the joint worsening the ACol distraction, or mistakenly inserted into the
joint. The clamp also contacts most sciatic nerves while it's in and unprotected.

Screw Fixation
-AC Screw
-PC Screw
For Alex... here are some cannulated and 7mm screws for you... notice the fracture malreduction as indicated by the head subluxation on both views...this was a percutaneous technique without open reduction... I don¹t like it but there it is... the fixation technique is not at fault, because there was no open reduction of the fracture... but let¹s not get in to all that.
That should be enough-
M.L. Chip Routt, Jr.,M.D.
Professor-Orthopedic Surgery
Harborview Medical Center
325 Ninth Avenue
Box 359798
Seattle, WA 98104-2499
|
|
|
Ответить
|
Re: Acetabular Fx Surgical Approach
rajesh 19 Июль 2006, 23:36
|
Hats off to you. More power to your elbow as they say. This single discussion has been by far one of the most productive ones in the list. Even non-pelvic surgeons like me should benefit enormously. Thank you.
rajesh
Dr.K.R.Rajesh, MS,DipNB,FRCS,FRCS(Orth)
Consultant Upper Limb Surgeon
Division of Upper Limb , Arthroscopy & Joint Replacement Surgery.
Cosmopolitan Hospital
Trivandrum,Kerala,India.
|
[
Ответить ]
|
Re: Acetabular Fx Surgical Approach
Jeffrey Anglen 19 Июль 2006, 23:38
|
Malreduction? Head subluxation? Whoa, your standards are way higher than mine! (but you knew that...)
Thanks for the effort and time you put into these slides - they are VERY helpful, and I learned a bunch from them. Can I use them in a lecture to my residents tomorrow? Full attribution to the source of course.
jeff
Jeff Anglen, MD
Professor and Chairman, Department of Orthopaedics
Indiana University School of Medicine
540 Clinical Drive, Suite 600
Indianapolis, IN 46202
|
[
Ответить ]
|
Re: Acetabular Fx Surgical Approach
Alexander Chelnokov 21 Июль 2006, 11:51
|
Dear Chip,
CR> We№ll assume that everyone knows the safe zone for a medullary
CR> ramus screw.
Always there is someone who shirked this lesson in school. I am awfully sorry to request something else after the great presentations you have done. Bur can you pls add some details about the ramus screws? Maybe a photo of the screw in the moment of insertion through the skin is available? THX a lot!
|
[
Ответить ]
|
Re: Acetabular Fx Surgical Approach
Отправитель: Chip Routt 21 Июль 2006, 12:06
|
We seek the starting site (after reduction) with a thin wire guided by fluoroscopic imaging as the obturator-outlet combination image and also the inlet image...engage the wire tip into bone, incise around the wire, apply a soft tissue protection sleeve of known length over the wire, remove the wire, exchange thru the sleeve with an appropriate diameter drill (I use a 3.5mm most often), drill the glide pathway above and behind the joint to the fracture, exchange for a calibrated appropriate diameter drill, oscillate within the ramus to the pubis, measure depth using the calibrated drill and known sleeve length, do the math, remove the drill and insert screw, tighten, squirt the hole, close, stress the fixation, supplement if needed.

I'll take pictures sometimes but it's just a 1cm incision in the flank... I'm not really sure why you need to see a screw being inserted into the
buttock/flank...it's just a screw being inserted thru the skin.
Chip
|
[
Ответить ]
|
|
( Ответить )
|
|