вверх
отправить
поиск
админ
главная
Предыдущее
Весь тред
|
Re: Несращение бедра
Alexaander Chelnokov 24 Июль 2006, 21:56
|
> 1.Неврологической патологии нет. Просто больным никто не занимался 7
> мес.
Это особенно грустно оттого, что знакомо.
> 2.даже если просверлить штифт, то все равно нет ЭОП
В принципе, тут можно обойтись только дистальными винтами, а их ввести без ЭОП можно, сделав разрезик и трепанацию кости спередни над ними.
Была на эту тему статейка греческих авторов.
> 3.Как быть с нагрузкой? Если увеличивать, не сломается ли пластина?
Если сращения нет, куда она денется, сломается обязательно. Либо срежутся винты.
> 4.Может стоит в подобных случаях ложить спонгиозные трансплантаты по
> внутренней поверхности бедра первично?
Наоборот, не надо циркулярно кость скелетировать. Только ложе пластинки нужно.
> 5.Винт Из зоны перелома безусловно уберу.
Вряд ли это поможет, если остальное останется в прежнем положении.
> 6.компрессировать Стяжным устройством или просто пластиной?
Надо получше снимки поглядеть, сколько там возможно сдавить. И какую пластину возьмете - сколько там компрессирующих отверстий будет. Может быть, и так, и так сделать.
> 7.В Донецке видел такой финт:обычный ИМ штифт, а в вертельную зону и
> в мыщелки бедра по стержню от АВФ,Соединенных планкой.(pls ,
Возможный вариант. Надо только избегать контакта стержней аппарата и гвоздя - без ЭОП это может быть непросто. Ну и понятно, движениям это
не способствует.
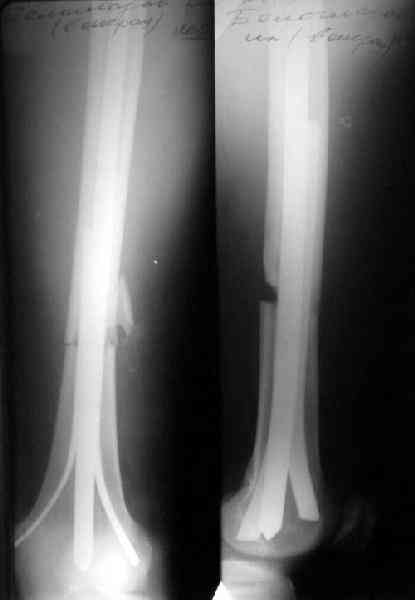
Еще вариант - ввести традиционный 4-гранный, кюнчеровский, или какой есть гвоздь помощнее (можно и антеградно, но хоть даже и открыто ретроградно, традиционно со стороны перелома), а со стороны надмыщелков заклинить его одним или двумя плоскими стержнями. Пример в приложении.

|
|
|
Ответить
|
Re: Несращение бедра
Попов В. 25 Июль 2006, 08:56
|
>Донецке видел такой финт: обычный ИМ штифт, а в вертельную зону и
в мыщелки бедра по стержню от АВФ, соединенных планкой.
>Возможный вариант. Надо только избегать контакта стержней аппарата и гвоздя - без ЭОП это может быть непросто.
>Еще вариант - ввести традиционный 4-гранный, кюнчеровский, или какой есть гвоздь помощнее (можно и антеградно, но хоть даже и открыто ретроградно, традиционно со стороны перелома), а со стороны надмыщелков заклинить его одним или двумя плоскими стержнями. Пример в приложении.
Уважаемый Александр! Объясните, чем опасен контакт стержней аппарата и гвоздя? Ведь клинение плоскими стержнями подобно. Или я что-то недопонимаю? Разъясните пожалуйста.
С уважением Виктор Попов.
|
[
Ответить ]
|
Re: Несращение бедра
Отправитель: Alexander Chelnokov 25 Июль 2006, 10:47
|
В течение нескольких недель неизбежно происходит бактериальная колонизация каналов спиц и стержней аппарата. Воспаление тканей вокруг спицы/стержня больших проблем не создает, а для интрамедуллярного гвоздя это может более дорого обойтись. Опыт такой у нас был. А заклинивающие плоские стержни наружу не выстоят.
|
[
Ответить ]
|
|
( Ответить )
|
|