вверх
отправить
поиск
админ
главная
|
Застарелое повреждение таза |
 |
 |
 |
Отправлено Maxim Agalakov 17 Август 2006, 16:25
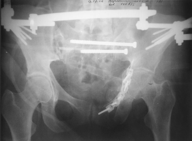
Прооперировали молодую девушку 32 лет спустя 9 мес после травмы. Имелся стойкий болевой синдром, неопороспособность левой н/конечности, моторные и сенсорные нарушения в левой голени и стопе, патологическая подвижность левой половины таза. Первым этапом закрыто в аппарате исправили деформацию ( в течении 2,5 нед). Вторым закрытое введение илиосакральных винтов в крестец (канюллированные 7,2 мм Chm) + туннелизация зоны псевдоартроза спицама Киршнера, реконструкция передних отделов таза, накостный остеосинтез . Аппарат частично демонтирпован, оставлена "передняя рама" После устранения деформации отмечен регресс неврологической симптоматики, уменьшение болевого синдрома. Интересующие вопросы: 1. Прогноз для сращения псевдоартроза крестца. 2. сроки нагрузки весом левой половины таза. Буду очень признателен за ваши мнения по этому поводу.A female 32 y.o. admitted to our unit 9 months after initial injury with pain, inability to bear weight at the left lower limb, sensor and motor disturbances in the left foot and tibia, with mobility of the left hemipelvis.At first closed reduction was performed by an external fixator within 2,5 weeks. After correction her pain decreased and some neurological progress was achieved. Now two iliosacral screws 7,2 mm were inserted, and anterior lesion was fixed by a plate. External fixator was partially unmounted, only anterior frame left in place.Images attached.How would you evaluate chances of healing of the sacrum with the current position?When would you allow weight-bearing of the left leg?THX in advance.
<
|
>
|
|
Ответить
|
Re: Застарелое повреждение таза
Djoldas Kuldjanov 18 Август 2006, 07:55
|
Мне нравится ваша закрытая репозиция девятимесячного ложного сустава, не знаю насчет туннелизации, но шурупы в 7.2 это серёзная конструкция. При стабильной фиксации крестец должен срастись, только я бы держал передний фиксатор до шести недель, костыли, а полную нагрузку разрешить через 12 недель.
При желании, передную фиксацию можно было перевести в малую нижнюю (супрацетабулярно хорошая костная масса), стержни провести через spina ilica anterior inferior в место прикрипления прямой мышцы бедра.
Нижний фиксатор немного миниатюрнее и удобнее для больной.
Примерно такой фиксатор наложил вчера ночью, но патология была экстренная травма: больному 53 года, поступил после мотоциклетной травмы, черепно-мозговой, абдоминальной, челюстно лицевой с потерей одного глаза, сосудистой и из скелета перелом крестца слева с диастазом симфиза и множественные переломы ребер.

Здесь соблюдался алгоритм больному с внутритазовым кроветечением после нестабильного перелома таза.
Обычно поступившим в приемное отделение больным с переломами конечностей, полученным в результате автоаварии или результате других скоростных травм по протоколу проводятся исследования на КТ ургентно. Череп всем бессознательным больным и живот при подозрении на внутреннее кровотечение.
Шоковым с повреждением таза, перед КТ исследованем накладывается антишоковые трусы.
Для стабилизации перелома и кровопотери, сперва была попытка наложения простыни вокруг таза для уменшения объема таза. Для оперативного доступа в области живота и передней части таза простыню заменили на Beam Bag (матрац который после удалении воздуха принимает контуры тела).
Одновременно с хирургами, которые занялись ксплоративной лапаротомией, мы приступили к фиксации временным аппаратом для уменьшения диастаза симфиза. После установки аппарата удалось стабилизировать давление, потом наше место занял сосудистый хирург, который нашел кровоточащую левую артерию epigastrica. Кровоточаший сосуд затромбизировал эндоваскулярно введением 4 coil placement.
Много кровепотери было из лицевых ран. Кроме забрюшинной гематомы, крови накопилось в абдоминальной части между мышечными стенками и под кожей. Кровопотерю заместили более 20 доз препаратов крови и INR опустился изначалнего 9.5 до 1.0 в конце. Находится в реанимации, стабильный, надеемся через несколько дней займемся окончательной фиксацией переломов костей таза.
Djoldas Kuldjanov, MD
Department of Orthopedic Surgery
St. Louis University Medical Center
|
[
Ответить ]
|
Re: Застарелое повреждение таза
Отправитель: Maxim Agalakov 18 Август 2006, 11:09
|
Передний фиксатор (в нашем варианте) обладает хорошими репозиционными свойствами в разных плоскостях.
Согласен, что после открытого вмешательства возможна замена на нижний. Но, к сожалению, у нас нет такого замечательного фиксатора, как у вас, а наш "конструктор"вряд ли был бы таким же изящным.
С уважением,
Максим Агалаков
|
[
Ответить ]
|
Re: Застарелое повреждение таза
Отправитель: Карпухин Алексей 20 Август 2006, 12:46
|
Примите поздравления с отличной работой! Хотелось бы посмотреть на послеоперативные Rg и КТ-контроль. Возможно ли познакомиться с применяемыми Вами фиксаторами хотя-бы в каталожном вариате.
С уважением, доктор Карпухин.
|
[
Ответить ]
|
|
( Ответить )
|
|