вверх
отправить
поиск
админ
главная
Предыдущее
Весь тред
|
Re: Миграция на DHS
Alexander Chelnokov 03 Сентябрь 2006, 10:30
|
> Один над уровнем малого вертела, другой под этим уровнем.
> А если недобить на 14-17 мм то эти винты будут выше малого вертела.
А, т.е. подразумевался стержень с поперечными винтами.
> подвертельный перелом - поперечная линия на уровне малого вертела то
> поставили обычный бедренный гвозь и один прокс блокирующий винт, который
> затянули компрессирующей заглушкой.
Могу скромно напомнить о существовании стержня нашей модификации.
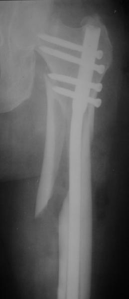
В частности, на проксимальном конце сделано еще одно дополнительное статическое отверстие. Можно ввести в проксимальном отделе 4 винта, из них 3 статические (2 в круглые отверстия и 1 по нижнему краю овального). Картинки в приложении. На дистальном конце стержня тоже кое-что улучшено. Спрашивайте в аптеках, как говорится. Выпускается предприятием "ЦИТО" (Москва), то есть это малобюджетное решение.
>> А что что такое ОМС?
> Остеомедсервис, кажется (Венгерские гвозди с "лампочкой")
А, Sanatmetal. Диафизарный их стержень тут ничем не лучше ChM.
>> разрушить латеральную стенку дистального отломка под винтом.
> Полностью с Вами согласен! Хотя можно поставить блокирующий винт и под
> углом 90 град. - как в бедренных гвоздях, были бы они потолще!

Конечно, мы не синтезируем остеопорозые вертельные переломы согласно прилагаемому примеру, винты 6 мм вырежутся. Но у более молодых при хорошем качестве кости такие или подобные гвозди с поперечным расположением винтов вполне применимы для меж- и подвертельных переломов.
> Как здесь не вспомнить устройство К.М. Сиваша.
А какое именно устройство?
|
|
|
Ответить
|
Re: Миграция на DHS
Evgueny Tchekashkine 03 Сентябрь 2006, 10:36
|
Александр , Приветствую,
Картинка красивая, но на мой взгляд, не совсем оптимальная: Слишком медиально введён стержень - риск аваскулярного некроза головки бедра.
вариант межфрагментарного шинирования - зона достаточно простительная т.е. чрезвертельные переломы потенциально хорошо срастаются при любом
расположении сопредельных отломков- хорошая локальная васкуляризация. В приведённом случае я бы предпочёл принцип межфрагментарной компрессии (рекон/гамма нэйл 130- 135) принципу шинирования перелома.
Поясни, пожалуйста, почему решил шинировать косой чрезвертельный перелом?
Саша, смогу добраться до почты только через неделю, поэтому единовременно поучаствовать в дискуссии не получится( чувствую спинным мозгом :-)) что должна состояться), но по возвращении с большим интересом почитаю твои пояснения к представленному случаю.
Всего Доброго,
Евгений
|
[
Ответить ]
|
Re: Миграция на DHS
Отправитель: Alexander Chelnokov 03 Сентябрь 2006, 10:38
|
ET> Картинка красивая, но на мой взгляд, не совсем оптимальная: Слишком
Женя, эта картинка показывает не оптимальное лечение вертельных переломов в моем представлении, а особенности дизайна упомяутого фиксатора.
В частности, его возможности при фиксации переломов проксимального отдела бедра - в сравнении с другими, имеюшими лишь по одному статическому и динамическому отверстию и с кондуктором для введения 2 винтов.
ET> Поясни ,пожалуйста, почему решил шинировать косой чрезвертельный перелом?
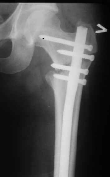
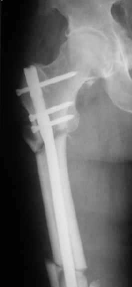
Это было года 2,5 назад, мы тогда еще уточняли возможности шинирования с угловой стабильностью гвоздем с поперечным расположением винтов при переломах проксимального отдела бедра. Пациенту не пришлось приобретать намного более дорогой рекон или проксимальный гвоздь. В приложении еще несколько примеров применения того гвоздя при высоких переломах бедра, в том числе с более латеральной точкой входа. Гвоздь изгибаем для этого.

|
[
Ответить ]
|
|
( Ответить )
|
|