вверх
отправить
поиск
админ
главная
|
Тугой ложный сустав правого бедра в сочетании неправильно сросшимся переломом большеберцовой кости |
 |
 |
 |
Отправлено В.С. Саплин 01 Сентябрь 2006, 23:30
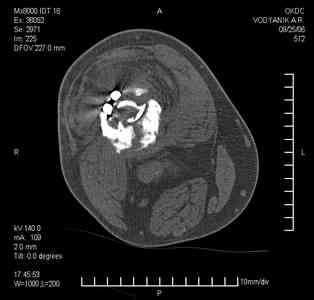
Уважаемые коллеги,В ортопедическое отделение обратился пациент: мужчина 47 лет, который в течение 4-х лет дваждыполучил травму костей, образующих правый коленный сустав. В 2002 v внутрисуставной оскольчатыйперелом проксимального метаэпифиза правой большеберцовой кости; в 2005 v внутрисуставнойоскольчатый перелом дистального метаэпифиза правой бедренной кости. В обоих случаях в разных лечебных учреждениях проводилось оперативное лечение переломов.При осмотре в отделении на основании результатов клинического осмотра и данных визуальныхметодов обследования поставлен диагноз:тугой ложный сустав дистальной трети правой бедренной кости, состояние после накостногоостеосинтеза перелома типа 33-В2.2 ; несросшийся перелом надколенника; неправильно сросшийсяперелом латерального мыщелка правой большеберцовой кости, состояние после металлоостеосинтезаперелома 41-В2.2; сочетанная осевая деформация правой ноги: варусная деформация правого бедра,вальгусная деформация правой голени; посттравматический артроз коленного сустава 4 ст по Kellgren-Lowrence; выраженное нарушение функции ходьбы и опоры. Внешний вид ноги больного, данные рентгенографического обследования и избирательно выделенные компьютерные томограммы приведены в приложении. В именах КТ использовано кодирование уровня по АО, т.е. _41, например, означает проксимальную треть голени.В отделении намечен v очень предварительно v следующий план лечения: 1. Иметь ввиду перспективу тотального эндопротезирования коленного сустава. 2. С учетом п.1 при проведении действий, направленных на устранение ложного сустава бедренной кости не использовать материалы, не подвергающиеся трансформации. 3. В ходе операции, направленной на устранение ложного сустава: А. удалить все металлоконструкции; Б. ревизовать зону пролежня под пластиной на бедре, при наличии признаков достаточной жизнеспособности кости выполнить остеопериостальную декортикацию, дрилинг ложа пластины; В. Удалить рубцовую ткань по плоскости ложного сустава, и в пространстве между костными форагментами, насечь обращенные друг к другу поверхности. Ввести штифт с блокированием (например Stryker с учетом особенностей расположения дистальных блокирующих винтов у этойконструкции). Осуществить остеосинтез с учтанением варусной деформации бедренной кости. Пространство в зоне ложного сустава и пустоты в метафизе бедренной кости заполнить резорбирующимся цементом на основе гидроксиапатита кальция. Для дистальной фиксации использовать винты с переменным шагом резьбы. Вариант:, винты вводить после заполнения метафиза цементом. Дополнительные виды создания межфрагментарной компрессии во встречно-боковом направлении обсуждаются. Г. Быть готовым к кровопотере. Д. Учесть высокий риск инфекции, тромбоэмболических осложнений. Е. Вопрос о внешней иммобилизации решить по результатам оценки стабильности остеосинтеза. Вариант - одноосевой стержневой аппарат для шунтирования гвоздя с модулем на голени и дистракцией коленного сустава в течение 3-5 недель. Просим вашей критики намеченного плана и конструктивных предложений. С уважением к сообществу, Ординатор В.С. Саплин
<
|
>
|
|
Ответить
|
Re: Тугой ложный сустав правого бедра в сочетании
Alexaander Chelnokov 01 Сентябрь 2006, 23:56
|
> тугой ложный сустав дистальной трети правой бедренной кости,
Какая амплитуда движений в коленном суставе?
> ложного сустава бедренной кости не использовать материалы, не
> подвергающиеся трансформации.
Уф. Что-то тут моя мысль остановилась в бессилии.
> 3. В ходе операции, направленной на устранение ложного сустава:
> А. удалить все металлоконструкции;
На бедре больше проблем, начать бы пока с него.
> Б. ревизовать зону пролежня под пластиной на бедре, при
> наличии признаков достаточной жизнеспособности кости выполнить
Если диагноз подтвердится, и действително там именно тугой ложный сустав, нет инфекции, то открыто вмешиваться на зоне несращения не нужно.
> Ввести штифт с блокированием (например Stryker с
> учетом особенностей расположения дистальных блокирующих винтов у
У Stryker всякого рода штифтов много, какой именно подразумевается, и почему именно от Stryker? Дистальный отломок тут довольно длинный, подойдут чуть не все существующие фиксаторы.
> этой конструкции). Осуществить остеосинтез с учтанением варусной
> деформации бедренной кости.
Если ложный сустав действительно тугой, то мы бы выполнили малоинвазивное удаление пластины, затем в течение 10-15 дней аппаратом бы восстановили ось и длину бедра, и вторым этапом закрыто бы заштифтовали антеградно, с введением в дистальный отломок 3-4 запирающих винтов.
Чтобы оценить осуществимость такого плана, надо бы увидеть хорошие снимки бедра, лучше в 4 проекциях.
|
[
Ответить ]
|
Re: Тугой ложный сустав правого бедра в сочетании
Отправитель: В.С.Саплин 03 Сентябрь 2006, 14:21
|
Уважаемый Александр Николаевич,
Спасибо за конструктивные вопросы.
> Какая амплитуда движений в коленном суставе?
Разгибание до 170 град, сгибание до 90 град, при максимальном сгибании ротация голени кнаружи видна отчеливо и составляет 10-12 град.
>> ...не использовать материалы, не подвергающиеся трансформации.
> Уф. Что-то тут моя мысль остановилась в бессилии.
Имелось ввиду, что не будут применяться пористый никелид титана, пористая керамика для заполнения довольно большого дефекта бедренной кости, поскольку они в дальнейшем станут препятствием для установки бедренного направителя при TKR.
> На бедре больше проблем, начать бы пока с него.
С этим трудно спорить. Единственное основание для принятия решения об удалении всех конструкций: +1 час на строле = - 1 дополнительный визит на стол. Конечно, если на бедре все пройдет без существенных проблем.
> Если диагноз подтвердится, и действително там именно тугой ложный сустав, нет инфекции, то открыто вмешиваться на зоне
> несращения не нужно.
Этот вариант обсуждается. Конечно, аппаратом можно трансформировать рубцовую ткань и наверняка устранить все деформации, но есть некоторые сомнения в перспективах оссификации. Предполагалось внесение материала для остеогенеза.
> У Stryker всякого рода штифтов много, какой именно подразумевается,
имелся ввиду T2 Femoral Nailing System: возможность как антеградного, так и ретроградного введения, низкое расположение отверстия для блокирующего дистального винта, наличие стандартного болта-стяжки, который, скорее всего,
придется использовать.
> и почему именно от Stryker?
Поддержан инструментарием.
> Если ложный сустав действительно тугой, то мы бы выполнили
> малоинвазивное удаление пластины, затем в течение 10-15 дней > аппаратом бы восстановили ось и длину бедра, и вторым
> этапом > закрыто бы заштифтовали антеградно, с введением в дистальный > отломок 3-4 запирающих винтов.
Этот вариант рассматривался, может и будет еще анализироваться. Вопрос все тот же - как будет перестариваться рубцовая ткань в зоне ложного сустава? Что заставит ее трансформироваться в костную, особенно если мы снимем дистракционные усилия после IM-nailing? Сроки восстановления опороспособности?
С уважением и благодарностью,
орд. В.С. Саплин
|
[
Ответить ]
|
Re: Тугой ложный сустав правого бедра в сочетании
Отправитель: Alexander Chelnokov 03 Сентябрь 2006, 21:11
|
> Разгибание до 170 град, сгибание до 90 град, при максимальном
> сгибании ротация голени кнаружи видна отчеливо и составляет 10-12 град.
Движения приличные, есть за что бороться. Такая ротация голени кнаружи, если она действительно есть (для уточнения можно сделать КТ на уровне обоих метафизов и бедреных, и берцовых ксотей, не меняя положение ног во время съемки), большого значения не имеет. А уж на фоне всего остального тут - вообще говорить не о чем.
> Имелось ввиду, что не будут применяться пористый никелид титана,
> пористая керамика для заполнения довольно большого дефекта бедренной
Наверно, есть в этом резон.
> решения об удалении всех конструкций: +1 час на строле = - 1
> дополнительный визит на стол. Конечно, если на бедре все пройдет без
Тут "-1 визит" не получится, раз все равно предполагается операция и на прокимальном отделе большеберцовой.
> трансформировать рубцовую ткань и наверняка устранить все
> деформации, но есть некоторые сомнения в перспективах оссификации.
Давайте будем последовательны. Диагноз определяет тактику. То есть если это "тугой ложный сустав", тогда какие сомнения? Тугие псведартрозы успешно лечатся одной дистракцией, что известно более 30
лет.
> Предполагалось внесение материала для остеогенеза.
Тогда давайте диагноз менять.
> имелся ввиду T2? Femoral Nailing System: возможность как
> антеградного, так и ретроградного введения, низкое расположение
Сгодится, наверно.
>> закрыто бы заштифтовали антеградно, с введением в дистальный >
>> отломок 3-4 запирающих винтов.
> Этот вариант рассматривался, может и будет еще анализироваться.
> Вопрос все тот же - как будет перестариваться рубцовая ткань в зоне
> ложного сустава?
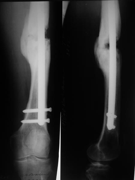
Давайте посмотрим на снимки бедра. В принципе, с наличием "эндопротеза диафиза" в виде мощного интрамедуллярного стержня не надо убиваться с обширными вмешательствами на очаге с кровопотерями, создавать большую площадь контакта, замещать все дефекты. Достаточно образования после дистракции узенького мостика по одной стороне. Со временем он упрочится, стержень в канале будет помогать сохранять длину и ось несколько лет. Даже если не будет смыкания трубок, можно потом стержень отпереть, за счет этого улучшиться контакт. Можно сделать реостеосинтез с рассверливанием стержнем большего диаметра. Важно, что все это время можно нормально пользоваться конечностью.
В приложении снимки бедра - с такой картинкой пациентка ходит, не хромает, работает инженером 3,5 года после операции с первых дней, хотя еще и инсулинозависимый диабет.

> Что заставит ее трансформироваться в костную,
Как что - напряжение растяжения.
> особенно если мы снимем дистракционные усилия после IM-nailing?
А зачем их снимать? Насколько растянули, так в
напряжении на дистракцию надо гвоздь и запереть, не теряя ни мм.
> Сроки восстановления опороспособности?
Зависит от массы тела пациента, длины, диаметра и количества запирающих винтов. Если винты диаметром 6 мм, мы вообще нагрузку не ограничиваем. У T2 они 5 мм, но можно взять дистальные винты partially threaded.
|
[
Ответить ]
|
Re: Тугой ложный сустав правого бедра в сочетании
Отправитель: В.С. Саплин 03 Сентябрь 2006, 23:16
|
Уважаемый Александр Николаевич,
Еще раз спасибо за Ваши продуктивные советы.
> Диагноз определяет тактику. То есть если это "тугой ложный сустав"...
У нас есть все же сомнения, насколько он "тугой". Наличие хоть и нестабильной но все же фиксации пластиной, маскирующей степень подвижности; сочетание на рентгенограммах зон гиперостоза с зонами лизиса не дает четкой уверенности ни в том, что это тугой ложный сустав в классическом понимании, ни что это истинно атрофическая ситуация. А чем сейчас можно быть уверенным? Вот потому и одолевают сомнения.
> В приложении снимки бедра
Очень убедительно.
Наш пациент имеет рост 2 м и вес 120 кг, при этом он не выглядит полным. Так что не очень хочется надеяться только на гвоздь, хотелось бы и репаративные процессы обеспечить.
С уважением,
орд В.С. Саплин
|
[
Ответить ]
|
|
Re: Тугой ложный сустав правого бедра в сочетании
Maxim Agalakov 03 Сентябрь 2006, 12:08
|
А можно рентгенограммы посмотреть, желательно всей нижней конечности
на протяжении?
|
[
Ответить ]
|
Re: Тугой ложный сустав правого бедра в сочетании
Отправитель: В.С.Саплин 03 Сентябрь 2006, 14:23
|
Уважаемый М.В. Агалаков,
Не хотели перегружать трафик. Рентгенограммы предоставим в ближайший рабочий день.
|
[
Ответить ]
|
|
Re: Тугой ложный сустав правого бедра в сочетании
Djoldas Kuldjanov 07 Сентябрь 2006, 00:11
|
Хотя принято решение фиксацию провести интрамедуллярным методом, как альтернативу хотел бы предложить вариант реконструции ложного сустава бедра пластиной. Конечно, этот метод отстает механически от интрамедуллярных конструкций, но учитывая, что планируется открытая ревизия ложного сустава с удалением пластины, где после ревизии имеется возможность лучше адаптировать концы фрагментов и создать условия для межфрагментарной компрессии, и еще возможности подготвки места для
костной пластики.
Опасность кровепотери во время операции можно предупредить наложением жгута на верхнюю треть бедра. Для предупреждения скольжения жгутового
бинта Эсмарха можно через вертел провести один 5мм стержень (видел у доктора Летурнель при лечении контрактур - квадрицепсопластиках), который удержит жгут на верху бедра.
Только жесткой конструкцией можно решить задачу ложного сустава нижней трети бедра и невозможно удержать нагрузки только одной латеральной пластиной.
Нужно усиление механической жесткости, и в то же время задача сохранить мягкотканый футляр с медиальной стороны, поэтому я бы предложил метод создания “медиального кортекса” интрамедуллярной пластиной. (В прошлых обсуждениях ложного сустава бедра были представлены снимки случая с интрамедулярной пластиной).
Для фиксации выбор на 95 градусный Blade Plate или distal Femur Locking Plate
Несмотря на трафик, нужны ренгенограммы для предоперационного плана, сравнительные снимки всей конечности для определения угла деформации и укорочения конечности, снимок коленного сустава для оценки качества костной массы.
P.S. Описанный метод непростой, требует много предоперационной работы и наличия технических возможностей, и много времени для исполнения, но всегда ли легкий метод является решением всех проблем.
|
[
Ответить ]
|
( Ответить )
|
|