AOTRAUMA.ORG Центр Илизарова  

Ортопедия и травматология Общие вопросы/General questions Help Информационные технологии в медицине
 вверх
 отправить
 поиск
 админ
 главная


Такой вот синтез
Ортопедия и травматология Отправлено Владимир Бахарев 11 Сентябрь 2006, 13:19
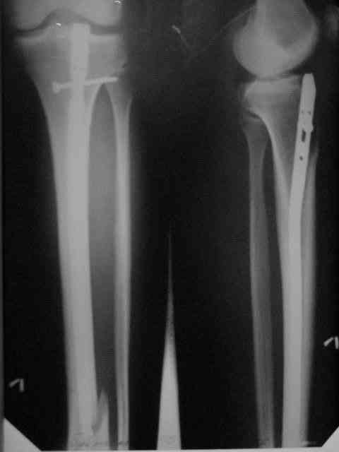
Здравствуйте коллеги!Больной 29 лет поступил 1 мая с Диагнозом: Закрытый спиральный перелом н/3 большеберцовой кости, перелом в/3 малоберцовой.
На пятые сутки выполнен вот такой остеосинтез (см R-gr) . На сегодня мы имеем перелом нижнего винта, замедленное сращение( R- gr от 11.09.06) Больного ничего не беспокоит, ходит с костылями с ограниченной нагрузкой. На наш взгляд возможно обойтись :1 Удаление сломанного винта и верхнего блокирующего с последующим более глубоким погружением штифта и его дистальным блокированием. Либо замена на более длинный (Экперт-Синтез).2 Остеотомия косая малоберцовой кости.С большим вниманием выслушаем возможные варианты, тактики в таком случае.С Уважением Владимир Бахарев.P.S Извинямси за качество снимков!

<  |  >

 

  • Сообщения о Ортопедия и травматология
  • Также Владимир Бахарев
  • Связаться с автором
  • Ответить

    Re: Такой вот синтез
    Alexaander Chelnokov 11 Сентябрь 2006, 21:44
    > Больного ничего не беспокоит, ходит с костылями

    Гм. Раз пациента уже сейчас ничего не беспокоит, то он согласен остаться на костылях насовсем?

    > 1 Удаление сломанного винта и верхнего блокирующего с последующим
    > более глубоким погружением штифта и его дистальным блокированием.
    > Либо замена на более длинный (Экперт-Синтез).


    Нельзя не согласиться с тем, что тут нужен ревизионный остеосинтез.
    Но вопрос тут не столько в типе штифта (практически все доступные удержат дистальный отломок такой длины, и более дорогой стержень не даст тут выигрыша, адекватного разнице в цене), а в том, как должны располагаться отломки и штифт. Вот с этим в застарелом случае при околосуставном повреждении обычны трудности.

    Большого ротационного смещения вроде не видно. IMHO здесь надо бы 1)восстановить длину (дистрактор) - возможно, получится одномоментно.
    2)Устранить смешение периферического отломка кнаружи - спереди назад отклоняющие (poller) спицы или винт ввести, чтобы оттеснить штифт к латеральной стенке. Понятное дело, ввести гвоздь дистальнее, чем этот сейчас. Запереть можно сразу динамически.

    > 2 Остеотомия косая малоберцовой кости.

    Пойдет и поперечная, и оскольчатая, или еще какая получится.
    Успехов!!
    [ Ответить ]

    Re: Такой вот синтез
    Александр Ивашкин 11 Сентябрь 2006, 23:18
    добрый вечер
    я в похожей ситуатции воспользовался КДА Илизарова
    Правда пациент был постарше и ходил на стержне дольше.
    особых сложной при монтаже КДА не возникло.
    стержень не удалял.
    при случае выложу фотки
    удачи
    Александр
    [ Ответить ]

    Re: Такой вот синтез
    Савранский Александр 13 Сентябрь 2006, 01:20
    При подобных переломах,возможно,удобнее применить накостный остеосинтез с размещением пластины по медиальной поверхности с моделировкой изгиба или ЧКДО.
    В то же время в уже имеющейся ситуации место перелома надо открывать-удалить винт,отрепонировать отломки,аутопластика,фиксация.
    Накостный МОС и ЧКДО позволяют при данном виде перелома создать интерфрагментарную компрессию-винт,боковые спицы с упором.На мой взгляд это обеспечивает стабильность,своевременную консолидацию.
    БИОС не метод выбора при таких переломах.
    С другой стороны дистальное блокирование двумя винтами,возможно,предупредило бы возникшие проблемы.
    С ув.Александр Савранский.
    [ Ответить ]


    ( Ответить )

    Powered by Zope  Squishdot Powered MedLink
    Посетитель: 0149949
      "По форме правильно, а по существу - издевательство" В.И.Ленин
    ©2001-2019Orthoforum Coordinator.
    [ Главная | Отправить сообщение | Поиск | Админ ]