вверх
отправить
поиск
админ
главная
Предыдущее
Весь тред
|
Re: Когда давать нагрузку?
Alexaander Chelnokov 13 Сентябрь 2006, 00:56
|
АС> Все-таки производитель рекомендует ставить.
Алексей, pls не сочти за труд, процитируй эту рекомендацию, или ссылку дай на этот фрагмент текста.
АС> Наружный кортикал в вертельной области, там где проходит шеечный
АС> винт (или клинок)будет испытывать при ротации бедра (если не
АС> заблокировать) нагрузку, которая может привести к расколу.
Чего-то не встречал и не слышал про такое. Интуитивно представляется, что это уж очень сильно надо пациенту ногу выкрутить, или уронить. А винт в диафизе плюс рядом находящийся конец короткого стержня нечасто, но дают перелом диафиза типа перипротезного. Лечить его, конечно, проще, чем последний, но все равно удовольствия мало. Именно поэтому, кстати, лучше вообще короткими (вертельными) гвоздями не пользоваться.
АС> положении првести винт: статично или динамично. Для поперечного
АС> подвертельного - важно провести винт в динамическом положении.
А почему важно именно в динамическом? Если, к примеру, в вертельном штифте вообще дистальное отверстие одно, статическое? Видимо, можно и потом динамизировать, если не срослось. А вообще при подвертельных лучше взять длинный штифт.
|
|
|
Ответить
|
Re: Когда давать нагрузку?
Алексей Семенистый 14 Сентябрь 2006, 23:07
|
> Алексей, pls не сочти за труд, процитируй эту рекомендацию, или ссылку
> дай на этот фрагмент текста.
Ну кое-что об этом на стр. 443 "AO Principles of Fractures Management" T.P.Ruedi, W.M.Murphy, -2000. (правда это не от производителя, а от пользователя).
Или, например, стр. 32 в страйкеровском буклете "Gamma 3. Operative Technique", там ссылаются (рекомендуют) на "The Gamma Locking Nail, Ten Years Surgical Experience", к сожалению нет этой книжки под рукой.
В этой книжке показаны "старые" Gamma без дистального блока при стабильных вертельных переломах и соответсвии диаметра канала диаметру гвоздя.
> АС> Наружный кортикал в вертельной области, там где проходит шеечный
> АС> винт (или клинок)будет испытывать при ротации бедра (если не
> АС> заблокировать) нагрузку, которая может привести к расколу.
>
> Чего-то не встречал и не слышал про такое. Интуитивно представляется,
> что это уж очень сильно надо пациенту ногу выкрутить, или уронить.
Можешь легко смоделировать это на пластиковой модели нестабильного вертельного перелома, так чтобы канал был на 2-3 мм больше, чем диаметр незаблокированного дистально короткого вертельного штифта... Кстати, бабушки нередко и падают в первые дни после операции.
> А винт в диафизе плюс рядом находящийся конец короткого стержня
> нечасто, но дают перелом диафиза типа перипротезного.
С PFN, у которого, дистальнее винта имеется довольно длинный, как говорят, эластичный конец, видел 1 случай у 93-летней пациентки через 2 года после операции, и то при адекватной травме.
> Именно
> поэтому, кстати, лучше вообще короткими (вертельными) гвоздями не
> пользоваться.
Неужели Вы так и поступаете?
> А почему важно именно в динамическом? Если, к примеру, в вертельном
> штифте вообще дистальное отверстие одно статическое?
Это что за штифт такой?
>Видимо, можно
> и потом динамизировать, если не срослось.
>А вообще при подвертельных
> лучше взять длинный штифт.
Я имею ввиду довольно редкий простой поперечный перелом на 1-2 см ниже малого вертела. Зачем ждать "когда не срастется"? С остальными чрез-подвертельными, высокими диафизарными, или может еще как кто называет, конечно согласен - длинный штифт.
С уважением А.Семенистый
|
[
Ответить ]
|
Re: Когда давать нагрузку?
Отправитель: Alexander Chelnokov 15 Сентябрь 2006, 23:19
|
> Ну кое-что об этом на стр. 443 "AO Principles of Fractures
> Management" T.P.Ruedi, W.M.Murphy, -2000. (правда это не от
Посмотрел - как летит время, книжка вроде почти новая, пишут про "new PFN", а в другой книжке (2005 г.) пишут, что этот фиксатор в США уже больше не применяется...
Про нижний винт на этой страничке ничего не увидел.
> Или, например, стр. 32 в страйкеровском буклете "Gamma 3. Operative
> Technique",
Да, тут пишут:
================================
It should be used:
• If the fracture is unstable
• if rotational stability is required
• When there is a wide disparity between the diameter of the nail and
the femoral cavity
================================
То есть как минимум он не нужен вообще в каждом случае, а только в указанных. Подпадает ли обсуждаемый случай под что-то из перечисленного - вроде нет.
> С PFN, у которого, дистальнее винта имеется довольно длинный, как
> говорят, эластичный конец, видел 1 случай у 93 летней пациентки
У многих докладчиков видел. А этот "довольно длинный" конец сделан с хорошим намерением, для деконцентрации напряжений, но - бывает, проламывает переднюю стенку канала из-за этой большей длины.
>> Именно поэтому, кстати, лучше вообще короткими (вертельными)
>> гвоздями не пользоваться.
> Неужели Вы так и поступаете?
По крайней мере стремлюсь. Нет, серьезно.
>> штифте вообще дистальное отверстие одно статическое?
> Это что за штифт такой?
Например, Gamma-2.
> Я имею ввиду довольно редкий простой поперечный перелом на 1-2 см
> ниже малого вертела.
Тут шеечный винт не фиксировал бы периферический отломок, так что конечно, дистальный винт был бы нужен. Хотя для такого перелома вообще короткий штифт какой-то неуютный выбор.
|
[
Ответить ]
|
Re: Когда давать нагрузку?
Отправитель: Алексей Семенистый 15 Сентябрь 2006, 23:24
|
> Посмотрел - как летит время, книжка вроде почти новая, пишут про "new
> PFN", а в другой книжке (2005 г.) пишут, что этот фиксатор в США уже
> больше не применяется...
Из АО-ассортимента в Америке вроде бы сейчас используют TFN?
> Да, тут пишут:
> ================================
> It should be used:
> If the fracture is unstable
> if rotational stability is required
> When there is a wide disparity between the diameter of the nail and
> the femoral cavity
> ================================
>
> То есть как минимум он не нужен вообще в каждом случае, а только в
> указанных. Подпадает ли обсуждаемый случай под что-то из
> перечисленного - вроде нет.
Да? Качество рентгенограмм конечно неочень, но ведь это нестабильный перелом 31.А2.2, не так ли?
> > С PFN, у которого, дистальнее винта имеется довольно длинный, как
> > говорят, эластичный конец, видел 1 случай у 93 летней пациентки
>
> У многих докладчиков видел. А этот "довольно длинный" конец сделан с
> хорошим намерением, для деконцентрации напряжений, но - бывает,
> проламывает переднюю стенку канала из-за этой большей длины.
Если это случилось, то значит была некорректной хирургическая техника: неудовлетворительная репозиция, неправильная точка введения, толстый штифт...
> >> Именно поэтому, кстати, лучше вообще короткими (вертельными)
> >> гвоздями не пользоваться.
>
> > Неужели Вы так и поступаете?
>
> По крайней мере стремлюсь. Нет, серьезно.
Стремишься? А что мешает вообще не использовать короткие штифты?
> >> штифте вообще дистальное отверстие одно статическое?
> > Это что за штифт такой?
>
> Например, Gamma-2.
Да вроде там две дырки. Может в Gamma1? - никогда не держал в руках.
> > Я имею ввиду довольно редкий простой поперечный перелом на 1-2 см
> > ниже малого вертела.
>
> Тут шеечный винт Не фиксировал бы периферический отломок, так что
> конечно, дистальный винт был бы нужен. Хотя для такого перелома вообще
> короткий штифт какой-то неуютный выбор.
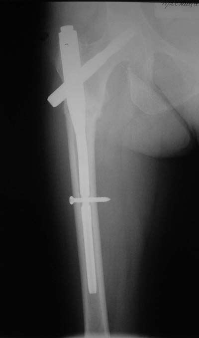
Не думаю так. см вложение.

|
[
Ответить ]
|
Re: Когда давать нагрузку?
Отправитель: Alexaander Chelnokov 15 Сентябрь 2006, 23:31
|
> Из АО-ассортимента в Америке вроде бы сейчас используют TFN?
Насколько я знаю, да.
Пытался уяснить отличия между TFN и PFN-A и как-то не очень преуспел.
> Да? Качество рентгенограмм конечно неочень, но ведь это
> нестабильный перелом 31.А2.2, не так ли?
Ну, после помещения туда такого гвоздя даже без дистального винта заметной нестабильности уже не остается ;-)
>> проламывает переднюю стенку канала из-за этой большей длины.
> Если это случилось, то значит была некорректной хирургическая
> техника: неудовлетворительная репозиция, неправильная точка введения, толстый штифт...
Проблема именно в избыточной длине, особенно когда врача убедили, что надо сформировать канал только под проксимальную часть гвоздя, без рассверливания диафиза, мол, штифт дальше тоненький такой. А у невысоких тетушек 240 мм хватает, чтобы прямым стержнем такой длины уже перфорировать кортекс. Был бы он 180-200 мм - проблемы бы не было.
> Стремишься? А что мешает вообще не использовать короткие штифты?
Инерция, наверно. Плюс некоторое психологическое давление - "что я, умнее всех?" ;-) Да и они подешевле.
>> Например, Gamma-2.
> Да вроде там две дырки. Может в Gamma1? - никогда не держал в руках.
В Trochanteric Gamma Nail (короткий) - одна круглая.
>> короткий штифт какой-то неуютный выбор.
> Не думаю так. см вложение.
Для такого перелома вполне может быть использован диафизарный штифт, который отечественного производства я даже боюсь считать во сколько раз дешевле... Недавно несколько примеров я закидывал.
|
[
Ответить ]
|
Re: Когда давать нагрузку?
Отправитель: Андрей Грибов 07 Октябрь 2006, 15:40
|
Александр, у моего друга случилась беда - сломал шейку бедра.Ему 65.Мы, его друзья, ищем ему или PFN,или DHS, или Gamma nails.Не знаю где можно купить данные болты гайки,не в автомагазине же.
Не подскажете, где их можно приобрести ?
Спасибо.
|
[
Ответить ]
|
|
( Ответить )
|
|