ВХОД ДЛЯ ПАЦИЕНТОВ
вверх
поиск
админ
главная
исходное
последующие
|
Re: Несращение бедренной кости
послал А Ситник 24 Сентябрь 2006, 11:00
|
1. Рентгенограммы обязательно дошлю.
2. "судя по рентгенограммам старались вы на совесть, когда открывали область перелома при интрамедуллярном остеосинтезе"
? - но как это можно определить по снимкам, да еще и выполненным через 20 месяцев после первичной операции)
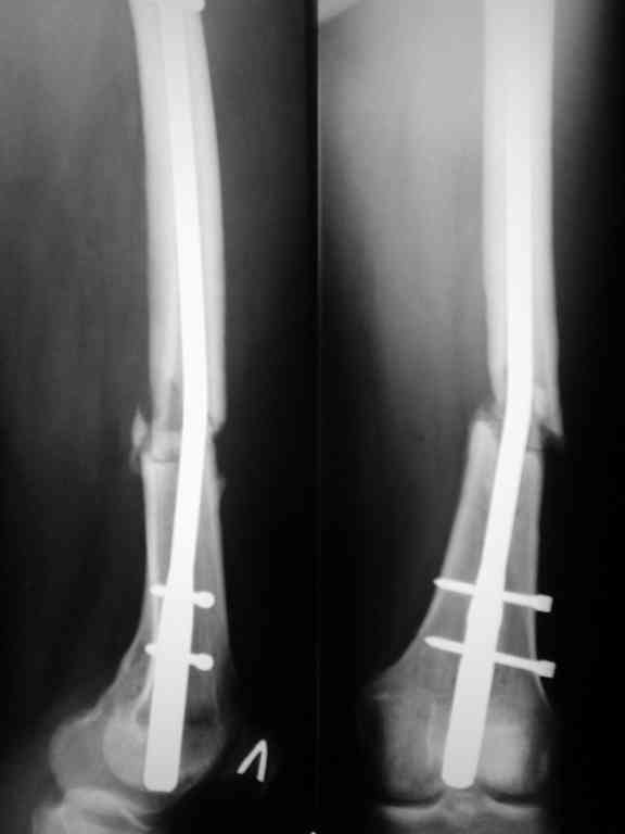
При первичном интрамедуллярном остеосинтезе применялся блокируемый гвоздь диаметром 9 мм ретроградно. У пациентки узкий костномозговой канал, поэтому были сложности (рассверливали долговато). Что касается разреза то его длина была 3-4 см не более. Т.е. насчет девитализации я согласен, но именно за счет рассверливания.
Винты с внутренней стороны кости фиксируют трансплантат, взятый из гребня подвздошной кости. Он довольно массивный и был уложен в дефект по передне-медиальной поверхности кости. тут уж пришлось действительно открываться на совесть.
Винить больную в несоблюдении режима не могу, женщина весьма ответственная и в своем выздоровнении заинтересованная.
Вариант интрамедуллярного остеоснтеза мы рассматриваем. Обсуждается еще одно предложение - удаление сломанной пластины и аппарат (стержневой) на компрессию.
Спасибо за комментарий
А.Ситник

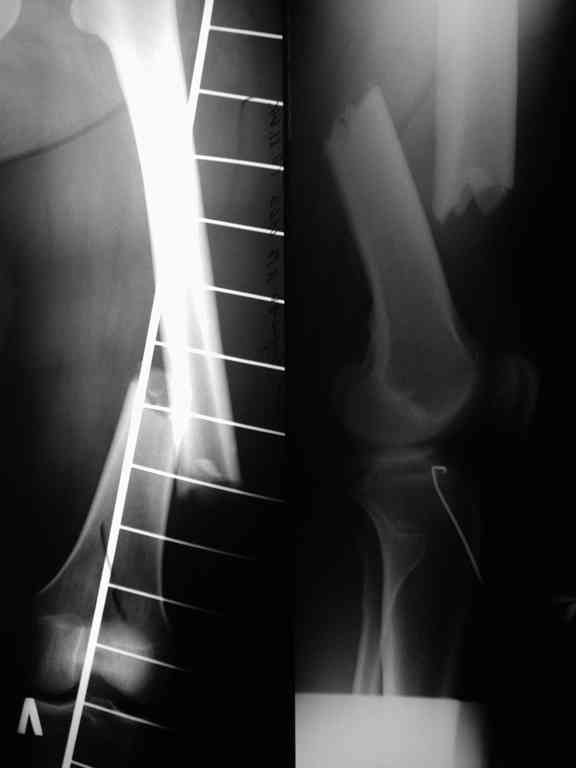
В приложении рентгенограмма бедра за авгутст 2005 с согнутым гвоздем и первичные.
|
| Послать ответ |
Обратите внимание: Поля с жирными названиями обязательны.
Старайтесь отвечать в рамках обсуждаемой темы, а не начинать новые обсуждения.
Указывайте адекватную тему сообщения, чтобы было ясно, о чем оно.
Не послайте сообщений не по теме (оффтопик), раздраженных, грубых или обидных комментариев. Здесь это неуместно.
|