вверх
отправить
поиск
админ
главная
Предыдущее
|
Re: Несращение бедренной кости
Марикин МВ 23 Сентябрь 2006, 13:38
|
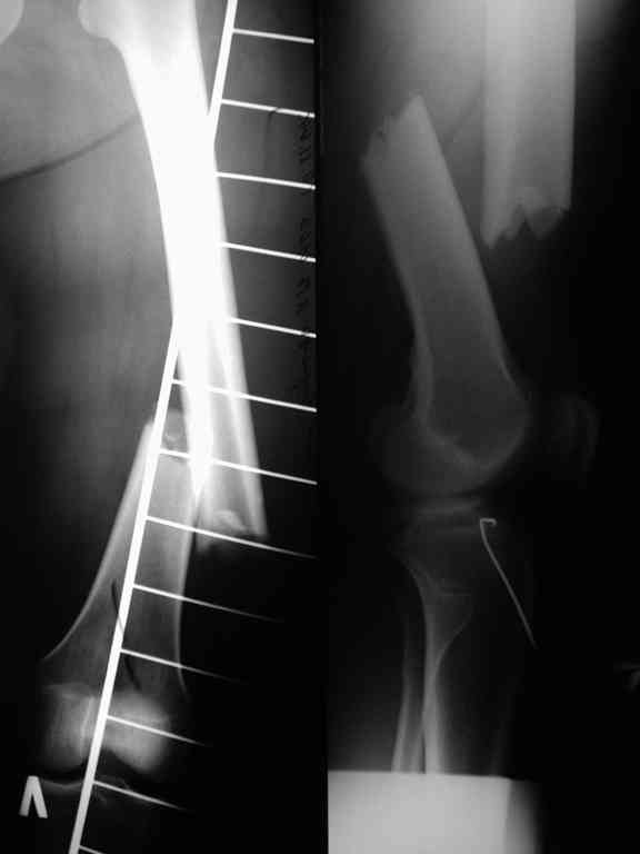
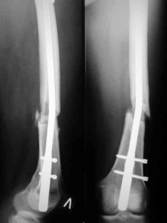
Уважаемый Александр. Случай достаточно интересный, поскольку за 2 года,почему то ничего не срастается и все ломается. Жаль нет рентгенограмм таза и голени.Основными причинами несращения переломов бывает 1.не правильно выбранная тактика лечения, в том числе тактика оперативного лечения ( к примеру - не тот фиксатор, не того размера, неправильно установлен и т.д.)2.Девитализация костных отломков, а судя по рентгенограммам старались вы на совесть, когда открывали область перелома при интрамедуллярном остеосинтезе. Кстати, если это был не блокируемый остеосинтез, а обычный, то понятно почему стержень согнулся и нет сращения. На представленных рентгенограммах отдельные винты расположены даже с внутренней стороны, т.е. открылись вы качественно. 3.не правильно выбранная тактика лечения в п.операционном периоде или не выполнения больным данных рекомендаций. По бедру - мы бы убрали пластину и выполнили ретроградный блокируемый остеосинтез с рассверливанием. Если нет возможности, есть аппарат Илизарова. Но мороки и для вас и для больного много.
|
|
|
Ответить
|
Re: Несращение бедренной кости
А Ситник 24 Сентябрь 2006, 11:00
|
1. Рентгенограммы обязательно дошлю.
2. "судя по рентгенограммам старались вы на совесть, когда открывали область перелома при интрамедуллярном остеосинтезе"
? - но как это можно определить по снимкам, да еще и выполненным через 20 месяцев после первичной операции)
При первичном интрамедуллярном остеосинтезе применялся блокируемый гвоздь диаметром 9 мм ретроградно. У пациентки узкий костномозговой канал, поэтому были сложности (рассверливали долговато). Что касается разреза то его длина была 3-4 см не более. Т.е. насчет девитализации я согласен, но именно за счет рассверливания.
Винты с внутренней стороны кости фиксируют трансплантат, взятый из гребня подвздошной кости. Он довольно массивный и был уложен в дефект по передне-медиальной поверхности кости. тут уж пришлось действительно открываться на совесть.
Винить больную в несоблюдении режима не могу, женщина весьма ответственная и в своем выздоровнении заинтересованная.
Вариант интрамедуллярного остеоснтеза мы рассматриваем. Обсуждается еще одно предложение - удаление сломанной пластины и аппарат (стержневой) на компрессию.
Спасибо за комментарий
А.Ситник

В приложении рентгенограмма бедра за авгутст 2005 с согнутым гвоздем и первичные.
|
[
Ответить ]
|
Re: Несращение бедренной кости
Отправитель: Alexaander Chelnokov 24 Сентябрь 2006, 21:38
|
> когда открывали область перелома при интрамедуллярном остеосинтезе" ? - но как это можно
> определить по снимкам, да еще и выполненным через 20 месяцев после первичной операции)
Отсутствие сращения косвенно говорит об этом. Хотя, судя по снимкам со стержнем, вероятны и другие проблемы. Раз есть диастаз - надо динамизировать стержень практически сразу, недели в 2-4 после остеосинтеза, а раз уж сращения в динамике не выявляется, зачем было с динамизацией ждать больше 2 мес.?
> При первичном интрамедуллярном остеосинтезе применялся блокируемый
> гвоздь диаметром 9 мм ретроградно. У пациентки узкий костномозговой
> канал, поэтому были сложности (рассверливали долговато).
Мы перестали последние годы применять столь тонкие бедренные гвозди, т.е. встречаемость проблем с ними выше. 10 мм минимум, только в основном у молодежи, остальным потолще. "Рассверливали долговато" - что за трудности подразумеваются?
> Что касается разреза то его длина была 3-4 см не более. Т.е. насчет
> девитализации я согласен, но именно за счет рассверливания.
Чтобы рассверливание обусловило несращение, надо сверлить невесть чем и как, чтобы вызвать термический некроз на всю толщину кости. Так что в рассверливании искать источник бед я бы не стал. Проблемы обычно бывают от скелетирования кости. Плюс оставлен диастаз (мальротация?). Да и функция/нагрузка конечности были долго ограничены, что тоже неполезно.
> гребня подвздошной кости. Он довольно массивный и был уложен в
> дефект по передне-медиальной поверхности кости. тут уж пришлось
> действительно открываться на совесть.
Обычно достаточно закрыто перештифтовать стержнем большего диаметра, рассверлив канал. Зачем перешли на пластину?
> Винить больную в несоблюдении режима не могу, женщина весьма
Состоятельный остеосинтез при диафизарных переломах не должен бы требовать какого-то специального режима, разве что движения в колене восстанавливать поскорее. Если не обеспечивается ходьба без ограничения нагрузки - "фтопку" такой остеосинтез.
> Вариант интрамедуллярного остеоснтеза мы рассматриваем. Обсуждается
> еще одно предложение - удаление сломанной пластины и аппарат
Вариант с аппаратом вполне рабочий, даже пластину можно не удалять, но - все известные минусы аппаратного лечения, плюс иной раз рефрактуры после снятия. Так что IMHO думать тут особо не о чем. Раз нет инфекции, то мы бы малоинвазивно убрали пластину и винты, да и заштифтовали бы с рассверливанием, динамически сразу. Раз уже делали через колено - то новй канал тогда и не делать.
Успехов!
|
[
Ответить ]
|
Re: Несращение бедренной кости
Отправитель: Александр Артемьев 24 Сентябрь 2006, 22:10
|
Много всего наговорили...
Усложнили Вы всё с пластиками, переходом одного остеосинтеза на другой и пр...
Надо выйти из этой ситуации с наименьшими усилиями.
Вижу несколько вариантов.
1. Запретить нагрузки, перейти на костыли, возможно - наложить лонгету. Через 2-3 мес - всё срастется.
2. Самый простой внешний остеосинтез - монолатеральный по наружной поврехности. Два винта сверху, два снизу - соедините планкой от аппарата. Результат в те же сроки.
3. Интрамедуллярный остоеосинтез - если ещё не наигрались...
Начните с простого, честное слово...
С уважением Александр Артемьев
|
[
Ответить ]
|
Re: Несращение бедренной кости
Отправитель: Alexaander Chelnokov 25 Сентябрь 2006, 00:37
|
> Усложнили Вы всё с пластиками, переходом одного остеосинтеза на другой и пр...
Эт точно.
> Надо выйти из этой ситуации с наименьшими усилиями.
Это если главное сейчас видеть в том, чтобы не перегреться от усилий.
Если же основная задача видится в том, чтобы максимально быстро обеспечить независимость пациента с опороспособной и функционально пригодной конечностью, причем без риска рефрактур, то предпочтения в выборе тактики могут поменяться.
> 1. Запретить нагрузки, перейти на костыли, возможно - наложить
[...]
> аппарата. Результат в те же сроки.
Оба этих пути как минимум отсрочивают нормальное использование конечности и независимость пациента на месяцы, а то и желаемый результат опять могут не обеспечить, плюс создать проблемы с движениями в колене.
> 3. Интрамедуллярный остоеосинтез - если ещё не наигрались...
Саша, у нас на сегодня более 60 интрамедуллярных остеосинтезов после неудач накостного - люди не просто ходят, а выходят на работу через 6-8 недель после реостеосинтеза.
> Начните с простого, честное слово...
Если пациент готов "лечиться, лечиться и лечиться", то выжидательная тактика оправдана.
|
[
Ответить ]
|
|
( Ответить )
|
|