вверх
отправить
поиск
админ
главная
|
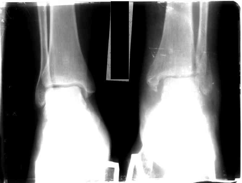
Перелом обеих лодыжек и з/края б/б кости с вывихом стопы,new |
 |
 |
 |
Отправлено Sergey A. Melashenko 18 Октябрь 2006, 21:00
Ув. коллеги, я уже сообщал об этом случае недавно. Металлоконструкции удалены через 7 недель с момента травмы, после чего еще месяц иммобилизации, осторожная дозированная нагрузка. Спустя 3,5 месяцев имеем следующее. Что порекомендуете? С ув. Sergey A. Melashenko ул. Кирова 88-А, г. Приморск, Запорожская обл., 72100, Украина
<
|
>
|
|
Ответить
|
Re: Перелом обеих лодыжек и з/края б/б кости с выв
Andrey Ragozin 18 Октябрь 2006, 21:08
|
1. остеотомия наружной лодыжки , зачистить область синдесмоза от рубцов, отвести наружную лодыжку.
2. остеотомия заднего края.
3.Репозиция заднего края с остеосинтезом канюлированными винтами 4.0 мм
4. репозиция и остеосинтез наружной лодыжки метафизарной пластиной LCP 3,5мм. Репозиция и стабилизация малоберцовой кости позиционным винтом
в верхнем углу межберцового сустава.
ЛФК с целью восстановления движений в голеностопном суставе с первых дней. Через 6-8 недель удаление позиционного винта и в течение 2-х нелдель переход к полной нагрузке. Можно сразу полную нагрузку, но увеличивается риск перелома позиционного винта.
С уважением,
Andrey
|
[
Ответить ]
|
Re: Перелом обеих лодыжек и з/края б/б кости с выв
Maxim Agalakov 18 Октябрь 2006, 21:10
|
> месяцев имеем следующее.
> Что порекомендуете?
А какие требования предъявляет сама пациентка к лечению? Что ее сейчас беспокоит? Если требования не очень высоки, мне представляется, что нужно остановиться на разработке движений. В дальнейшем, при выраженном болевом синдроме (не обязательно, что он будет, видел лодыжки и похуже) пойти на артродез. Если все же требования к качеству жизни высоки -затеять реконструктивную операцию.
|
[
Ответить ]
|
Re: Перелом обеих лодыжек и з/края б/б кости с выв
Отправитель: Sergey A. Melashenko 18 Октябрь 2006, 21:12
|
Ув. Максим. Движения в суставе в полном объеме, беспокоят выраженные боли в суставе, сохраняется отек. Осевая наргрузка болезненна, особенно
в проекции синдесмоза. Похоже вся проблема в синдесмозе. Может обождать, пока окрепнет наружная лодыжка и провести операцию, как при застарелом
повреждении синдесмоза (болт-стяжка или что-нибудь поновее)
Склоняюсь к мнению, что тактика лечения такой больной была не совсем адекватна, необходимо было в первые 2-3 суток (после проведенной репозиции) произвести остеосинтез по АО с позиционным винтом или даже
ургентно, в первые часы после травмы.
|
[
Ответить ]
|
Re: Перелом обеих лодыжек и з/края б/б кости с выв
Отправитель: Игорь Кучерявый 18 Октябрь 2006, 21:13
|
Голосую за артродез - боли, как того хочет пациентка, пройдут.
|
[
Ответить ]
|
Re: Перелом обеих лодыжек и з/края б/б кости с выв
Отправитель: Виктор Парфентьевич Волошин 20 Октябрь 2006, 02:21
|
Сустав уже дегенеративный, после остеосинтеза вряд ли будет безболезненным, но и так оставлять - без шансов -опорная поверхность наполовину сократилась. Можно "тихо тихо" готовить к артродезу, молодой даме можно бы и уже - расчет на хорошую компенсаторную подвижность среднего отдела, а в 60 лет эта операция хороша, когда пациент достаточно (~ определение) настрадается. Что бы сказали "большое человеческое спасибо, Доктор" подход должен быть индивидуальным :-)
ВВП, МОНИКИ
|
[
Ответить ]
|
|
Re: Перелом обеих лодыжек и з/края б/б кости с вывихом стопы,new
katsevman haim haifa 20 Октябрь 2006, 02:49
|
не торопитесь с артродезом - последний этап.
идите на ревизию - получится. успехов.
|
[
Ответить ]
|
( Ответить )
|
|