AOTRAUMA.ORG Центр Илизарова  

Ортопедия и травматология Общие вопросы/General questions Help Информационные технологии в медицине
 вверх
 отправить
 поиск
 админ
 главная
 Предыдущее
 Весь тред


Re: Перелом лопатки, ключицы, ребер
Дрягин 11 Декабрь 2006, 20:38
Очень интересно, если есть рентген ребер покажите.С уважением Дрягин
  • Сообщения о Ортопедия и травматология
  • Также Дрягин
  • Связаться с автором
  • Ответить

    Re: Перелом лопатки, ключицы, ребер
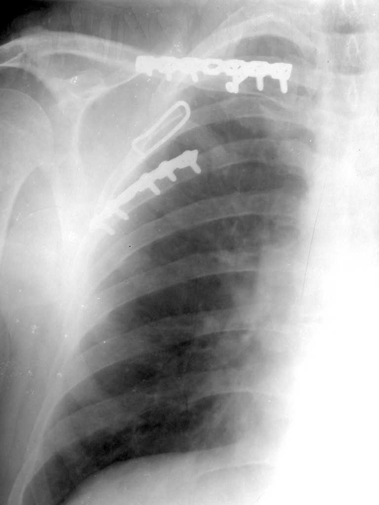
    А.МИронов 12 Декабрь 2006, 20:10
    Здравствуйте Виталий Геннадьевич!
    К сожелению доктор который занимается грудной клеткой в отпуске, у себя нашёл только вот этот снимок



    С Уважением А.Миронов

    [ Ответить ]


    ( Ответить )

    Powered by Zope  Squishdot Powered MedLink
    Посетитель: 0389987
      "По форме правильно, а по существу - издевательство" В.И.Ленин
    ©2001-2019Orthoforum Coordinator.
    [ Главная | Отправить сообщение | Поиск | Админ ]