ВХОД ДЛЯ ПАЦИЕНТОВ
вверх
поиск
админ
главная
исходное
последующие
|
Re: Исход застарелого вывиха бедра
послал Игорь Редько 24 Январь 2007, 19:22
|
Уважаемый Д-р Р.Тихилов.
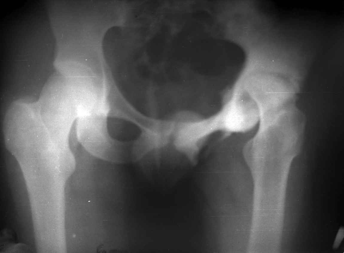
.........наверное не повезло. Но иногда это выход и очень хороший. М., 21 года спрыгнул в Армии с машины с исходом в гнойный коксит, свищевой формой в течении 1,5 лет. Операция проведена в 1988 году. результат хороший и сейчас и мы с пациентом хорошие приятели (Рентг-гр и фото прилагаю).

Еще один раз произведена реконструкция проксимального отдела юноше 17 лет с посл гематог остеомиелита тотальным дефектом проксимального отдела бедра и укорочением 16 см.(проксим отдел в виде "сосульки"). Произведена одноэтапная последовательная реконструкция, удлинение в с/з, затем в н/з. Рентгенограммы к сожалению утеряны.
Результат, поверьте, фантастический. Колено почти не пострадало. Сейчас сам удивляюсь, как хорошо получилось. РПО по Илизарову - Выход из ситуации иногда единственный, и хороший почти всегда, но трудоемкий для врача и тяжелый - пролонгированно для больного(в этом то и "собака порыта").
С уважением Редько И.
|
| Послать ответ |
Обратите внимание: Поля с жирными названиями обязательны.
Старайтесь отвечать в рамках обсуждаемой темы, а не начинать новые обсуждения.
Указывайте адекватную тему сообщения, чтобы было ясно, о чем оно.
Не послайте сообщений не по теме (оффтопик), раздраженных, грубых или обидных комментариев. Здесь это неуместно.
|