вверх
отправить
поиск
админ
главная
Предыдущее
|
Re: Исход застарелого вывиха бедра
Рашид Муртузалиевич Тихилов 23 Январь 2007, 11:34
|
Уважаемый Марк, коллеги,
Поднят очень интересный вопрос об эффективности создания опорного бедра по Илизарову у молодых пациентов (ок). Наверное мне не повезло и я не
видел положительных результатов после этих операций, а вот проблемных больных приходится видеть достаточно часто. Причем сроки их обращения
после остеотомии короткие - 3-5 лет, а выполнение эндопротезирования после остеотомии на двух уровнях с многоплоскостной деформацией является
серьезным испытанием и для пациента и для хирурга. Я тоже не сторонник эндопротезирования в молодом возрасте, но уж после неудачных остеотомий
просто нет другого выхода. Проблема еще заключается в том, что каждый из нас видет ограниченное кол-во больных и в разные сроки. Детско-юношеские ортопеды наблюдают больных только до взрослого возраста, а дальше они
уходят из-под контроля. Современные эндопротезы дают хорошие и устойчивые результаты, поэтому не думаю, что ответ однозначный в пользу
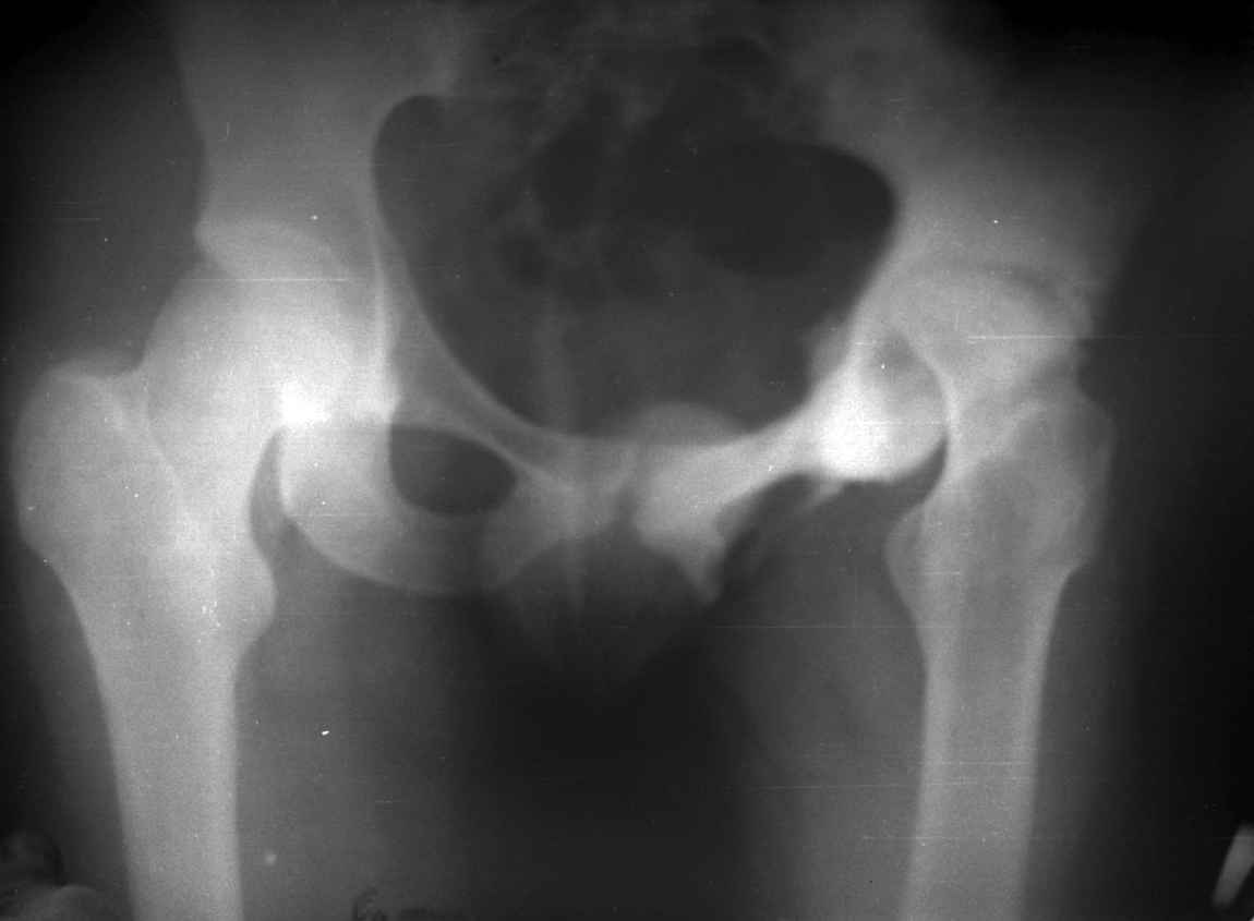
остеотомии. Я представил Р-граммы больных с неудачными р-ми после остеотомий.

Эндопротезирование у них было на порядок сложнее в отличие от артропластики без проведения остеотомии.
С уважением, Р.Тихилов
|
|
|
Ответить
|
Re: Исход застарелого вывиха бедра
Mark Eidelman 24 Январь 2007, 01:21
|
Uv.Dr Tihilov,
Bez voprosov,chto pri prochih ravnyh THR luche perenositsya i leghe delaetsya.
MY indication to PSO: LLD >6-7 cm in young patients( and usually current LLD much more).Another and probably most imporatant issue:when I was resident I did during 6 years more than 50 primary THR, but never even one PSO.Most orthopedic surgeons never even saw this operation.You will agree with me that PSO has many pitfalls.. This operation not for everyone, and not everyone is able to do it.
4 goda nazad ya priehal v Baltimore k Paley and Herzenberg, i ochen skepticheski otnosylsya k PSO na opyte nebolshogo kolichestva operaziii kotorye videl vmoei bolnize. Hotite verte, hotite net, no vse bolnye kotorye ya tam videl posle PSO ne budut nughdatsya v Revision. Tak mozhet my dolghny delat PSO ne na glazok???

Kak mozho urarvnyat 18 cm LLD u etogo parnya after Septic hip?Ponimau vsu neodnoznachnost problemy, tolko prosto ne vighu drigih logichnyh reshenyi.
S uvagheniem
Mark.
|
[
Ответить ]
|
Re: Исход застарелого вывиха бедра
Игорь Редько 24 Январь 2007, 19:22
|
Уважаемый Д-р Р.Тихилов.
.........наверное не повезло. Но иногда это выход и очень хороший. М., 21 года спрыгнул в Армии с машины с исходом в гнойный коксит, свищевой формой в течении 1,5 лет. Операция проведена в 1988 году. результат хороший и сейчас и мы с пациентом хорошие приятели (Рентг-гр и фото прилагаю).

Еще один раз произведена реконструкция проксимального отдела юноше 17 лет с посл гематог остеомиелита тотальным дефектом проксимального отдела бедра и укорочением 16 см.(проксим отдел в виде "сосульки"). Произведена одноэтапная последовательная реконструкция, удлинение в с/з, затем в н/з. Рентгенограммы к сожалению утеряны.
Результат, поверьте, фантастический. Колено почти не пострадало. Сейчас сам удивляюсь, как хорошо получилось. РПО по Илизарову - Выход из ситуации иногда единственный, и хороший почти всегда, но трудоемкий для врача и тяжелый - пролонгированно для больного(в этом то и "собака порыта").
С уважением Редько И.
|
[
Ответить ]
|
Re: Исход застарелого вывиха бедра
Отправитель: Рашид Муртузалиевич Тихилов 25 Январь 2007, 18:01
|
Уважаемый Игорь Редько,
Вы немножко не поняли предмета нашего разговора. На представленных Вами Р-граммах речь идет о вальгизирующих остеотомиях, скорее всего в
комбинации с разгибанием... Никто и не оспаривает полезность этих остеотомий, мой личный опыт свидетельствует о том, что даже при
выраженной стадии коксартроза у лиц молодого возраста существенно снижается болевой с-м, ремиссия иногда достигает 12-16 лет, а там уже не
грех и протез поставить.
На обсуждение поставлен вопрос об эффективности опорной остеотомии по Илизарову (как правило), при врожденных вывихах бедра. Почувствуйте разницу...
С уважением, Р.Тихилов
|
[
Ответить ]
|
|
( Ответить )
|
|