ВХОД ДЛЯ ПАЦИЕНТОВ
вверх
поиск
админ
главная
исходное
последующие
|
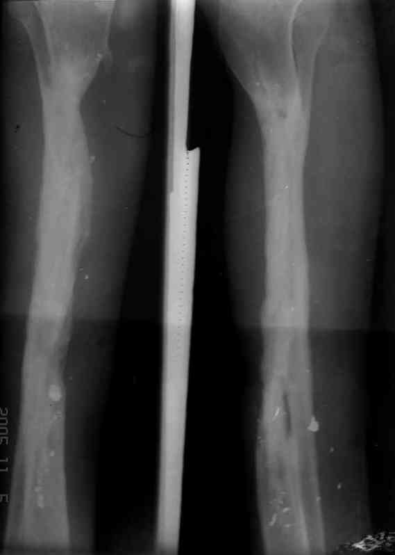
Re: case tibial defect
послал Djoldas Kuldjanov 13 Февраль 2007, 01:24
|
Александр привет,
> Джолдас -огромное спасибо, я твой должник!
Да не стоит благодарности. Спасибо за выставленный случай.
Я думал, что в нижнем отделе голени без мягкотканнего покрытия будет сложно проведения тибиализацию, но твой пример показывает - метод работает даже в таких трудных условиях.
Кстати, как метод использования малоберцовой при дефектах на более высоком отделе большеберцовой, недавно с моим партнерем опубликовали в главе по замещению дефектов в книжке Роберта Росбруха и Светланы Илизаровой по Наружным Фиксаторам.

Глава из книги, 420 Кб.
Правда те мои случаи были сделаны давно, еще в Латинской Америке, и конечно качество исполнения отстает от идеалов, но, несмотря на отсутствие нормальных спиц с упором, метод сработал в свое время.
Приходилось встречать замещенные дефекты малоберцовой костью без применения метода Идизарова, и при соблюдении осторожности хрупкая малоберцовая за короткое время под вождействием нагрузки утолщались в диаметре.
Djoldas Kuldjanov, MD
Department of Orthopedic Surgery
St. Louis University Medical Center
|
| Послать ответ |
Обратите внимание: Поля с жирными названиями обязательны.
Старайтесь отвечать в рамках обсуждаемой темы, а не начинать новые обсуждения.
Указывайте адекватную тему сообщения, чтобы было ясно, о чем оно.
Не послайте сообщений не по теме (оффтопик), раздраженных, грубых или обидных комментариев. Здесь это неуместно.
|