Ответить
|
Re: case tibial defect
Ильин Вадим 30 Январь 2007, 20:35
|
Доброго времени суток! Наверное кроме транспорта большеберцовой кости и посоветовать мало что можно. Возможен ChronOS с добавлением аутокости или SRS; с последним не работал, поэтому -чисто теоретически. Удачи.
|
[
Ответить ]
|
Re: case tibial defect
дмитрий бондарь 30 Январь 2007, 23:41
|
добрый вечер , коллеги ! Хотелось бы узнать сроки с момента травмы ( возможно стоит уже убрать металл ). Если нет ,то начинайте транспорт по Илизарову , но аппарат должен быть полноценным . после достижения контакта отломков возможны сложности с адаптацией поверхностей . Тут , возможно будет логично заменить АВФ на стержень с блокированием ( возможно будут трудности с дистальным блокированием ) Вопрос о пересадке аутокости мне кажется спорным (стремно как-то в огнестрельный дефект )
С уважением Д.Б.
|
[
Ответить ]
|
Re: case tibial defect
Игорь Редько 31 Январь 2007, 00:00
|
Дорогой Николай!
Думаю надо убрать все железо. По возможности малотравматично адаптировать дистальный конец проксимамльного отломка.
Полноценный стабильный аппарат Илизарова, остеотомия (1-2)в/з-с/з. Все за одну операцию. Если не понравиться картина внутри, может быть перфузия на 3-4 недели. Сложности потом будут - при создании хорошего контакта на стыке отломков необходимого для сращения. По этому вопросу хорошая дисс у Арика Мирзояна. Здесь надо по ситуации. Может даже опять перейти на погружную фиксацию ( я делал Т-образную пластину, т.к. необходимо 4-6 мес для сращения).
Удачи, с уважением И.Редько.
|
[
Ответить ]
|
Re: case tibial defect
Павел Иванов 31 Январь 2007, 01:19
|
Дорогой Николай, Вы всегда представляете на форум интересные наблюдения.
Попробую поделиться своим мнением. Можно попробовать адаптировать конец проксимального отломка и выполнить замещение дефекта по Илизарову. И сразу после низведения фрагмента большеберцовой кости и достижения контакта снять аппарат и выполнить закрытый остеосинтез блокируемым штифтом, проведя его через регенерат в дистальный отломок (напр. в Expert Tibial Nail, Synthes, через дистальный отломок, уверен, два винта можно провести). По моему скромному опыту, использование спице-стержневого аппарата в качестве окончательного фиксатора при лечении таких низких переломов большеберцовой кости зачастую приводит к выраженному остеопорозу и замедленной консолидации, сопровождается потерей функции и высоким риском образования ложного сустава. Использование же интрамедуллярного штифта позволяет начать раннюю реабилитация и дозированную нагрузку, что минимизирует риск данных осложнений.
У нас бывают похожие ситуации.
Пациент 19 лет, производственная травма, придавлен тяжелой плитой. Политравма (ISS 21).

1 - рентгенограмма (прошу прощения за качество) при поступлении;

2 - внешний вид голени;
Произведено ПХО, acute shortening (5 см), фиксация стержневым аппаратом Hoffman.

3,4 - через 4 недели наложен спице-стержневой аппарат, произведена остеотомия большеберцовой кости в верхней трети, раны зажили, проводилась дистракция в аппарате.

5, 6 - через 2,5 мес после травмы выполнен закрытый остеосинтез блокируемым штифтом.

7, 8, 9, 10, 11 - через 8 мес после травмы перелом сросся.
Пациент ходит без дополнительной опоры, не хромает (видеоролик выложил сюда
http://rapidshare.com/files/14134274/Patient_B.AVI.html, вес 892 кб).
Отдаю себе отчет, что у Вас более сложный случай.
Желаю Вам удачи.
--
Best regards,
Pavel Ivanov
Sklifosovsky Clinical and Research Institute for Emergency Medicine
Polytrauma Department
3, Bolshaya Sukharevskay sq.
Moscow, 129010 Russia
|
[
Ответить ]
|
Re: case tibial defect
Alexander Kirienko 31 Январь 2007, 02:59
|
Дорогой Николай!
Вот тут как раз бы и подошел традиционный
незаменимый классическмй Илизаров. Удлинение проксимально и потом, с улучшением раны, адаптация фрагментов в месте дефекта, Фиксировать стопу с шарнирами до времени получения хорошего контакта.
Alexander Kirienko
|
[
Ответить ]
|
Re: case tibial defect
Юрий Алексеевич Булахтин 31 Январь 2007, 09:19
|
Уважаемый Николай!
Я думаю, что случай трактуется коллегами как идеальный для "классического Илизарова" несколько преждевременно. Дефект нижней трети большеберцовой кости после огнестрельного перелома в условиях неидеально восстановленных мягких тканей будет "плыть" в аппарате очень долго. Советовал-бы пластику костно-мышечным (плюс кожно-фасциальным?) лоскутом на сосудистой ножке. Достоинства донорских вариантов можно обсудить отдельно, главное - полноценное кровоснабжение.
Юрий Алексеевич Булахтин,
начальник травматологического отделения
Камчатского Военно-морского госпиталя
|
[
Ответить ]
|
Re: case tibial defect
Nikolaj Wolfson 31 Январь 2007, 10:02
|
Дорогие коллеги:
Спасибо всем за ваши мнения. Должен прояснить некоторые моменты:
Дмитрий Бондарь и Павел Иванов:
-->> дистальный фрагмент слишком короткий, меньше 2 см, нет места для интрамедуллярного штифта, в отличии от пациента Др. Иванова (прекрастный результат!).
Юрий Алексеевич Булахтин :
-->> Мышечная пластика уже произведена,6 недель тому назад, 2 недели после травмы, проблема усложнена, по моему мнению тем, что флап блокирует низведение проксимального фрагмента.
Игорь Редько:
-->> перфузия на 3-4 недели ?? не понял.
Alexander Kirienko:
-->> готов идти етим путем. ?: Как постумить с free muscle flap.Он то заполняет полость дефекта?
Спасибо,
Николай
|
[
Ответить ]
|
Re: case tibial defect
Отправитель: mark eidelman 31 Январь 2007, 18:12
|
Hi Niki,
Trudnyi case,
Pavel pokazal prekrasnyi case( bravo!)
Another choice is simply perform shortening + posterior angulation with Ilizarov or TSF , than gradual correction of the angulation.After all apply third ring on the proximal tibia and start lengthening.
We had recently similar case in 14 years old boy with 45 mm bone defect after open tibial fracture.Boy doing excellent .This technique is not new, Sasha Lerner did it in Rambam , Rozbruch wrote also.

Another advantage of this techniqe is relaxation of soft tissue and possibility for closure even large defects of the skin.In your case I will apply ring on the foot and mid diaphysis of the tibia ,removal of the fibular plate,sindesmotic wire, and after correction of angulation on the proximal tibia.
Mark.
|
[
Ответить ]
|
Re: case tibial defect
Отправитель: Alexaander Chelnokov 31 Январь 2007, 20:49
|
> Another choice is simply perform shortening + posterior angulation
> with Ilizarov or TSF , than gradual correction of the angulation.
Действительно, если есть длинная косая линия на проксимальном отломке, это жалко будет не использовать. Можно сделать коррекцию угла не обратным разведением фрагментов, а оставить их в контакте, и сделать кортикотомию проксимальнее на 2-3 см. Можно и сейчас отсечь такой фрагмент и транспортировать его с разворотом. Наверно, вариант с ангуляцией более технологичен.
> is not new, Sasha Lerner did it in Rambam , Rozbruch wrote also.
Было бы это подальше от сустава...
> will apply ring on the foot and mid diaphysis of the tibia ,removal of
> the fibular plate,sindesmotic wire, and after correction of angulation
Да, надо удалить все железо, сделать для ангуляции остеотомию малоберцовой на уровне дефеормации, а после восстановления оси сразу освободить стопу. То есть в дистальном отломке tibia надо побольше
спиц с упорами, а на диафизе только half-pins с передне-внутренней стороны, чтобы как можно меньше пострадала передняя группа мышц.
|
[
Ответить ]
|
Re: case tibial defect
Отправитель: Mark Eidelman 31 Январь 2007, 22:35
|
Sasha kuda delsya Lateral final snimok??
Ya poslal vse vPP presenttion.
Mark.
|
[
Ответить ]
|
Re: case tibial defect
Отправитель: Mark Eidelman 31 Январь 2007, 22:38
|
Sasha kuda delsya Lateral final snimok?
Mark
 Temporary Intentional Leg Shortening and Deformation to Facilitate Wound Closure Using the Ilizarov/Taylor Spatial Frame Shane J. Nho, MD, David L. Helfet, MD, and S. Robert Rozbruch, MD (PDF, 474 Kb)
|
[
Ответить ]
|
|
Re: case tibial defect
Юрий Алексеевич Булахтин 31 Январь 2007, 13:52
|
Уважаемый Николай!
То, что дефект мягких тканей восполнен кожно-мышечным лоскутом я вижу. Я имею в виду вот что. В исследованиях проводившихся в ЛИХТЕ и на кафедре травматологии Военно-медицинской академии было показано, что мышечные и любые другие, не включающие в себя надкостницу, лоскуты не обладают остеогенной активностью будучи пересажены в зону костного дефекта. Кроме этого, я согласен с Вами в том, что мышца будет мешать движению проксимального фрагмента при попытке выращивания регенерата по Илизарову. Поэтому предлагаю из другого доступа выполнить пересадку васкуляризованного лоскута с костью и надкостницей (остальные слои на Ваше усмотрение). Анатомически все реально - на голени анастомоз можно сформировать еще и не один. Поместите его в "ложе" под контролем зрения. Думаю, что такой вариант наиболее устойчив к инфекции и даст существенный выигрыш во времени. За время лечения по классической Илизаровской технологии девушка, уж точно, научиться пить и курить,а получит в итоге удовлетворительную рентгенограмму и проблемные мягкие ткани (стойкий отек голени + трофические нарушения).
Юрий Алексеевич Булахтин
|
[
Ответить ]
|
Re: case tibial defect
Александр Клоков 31 Январь 2007, 20:48
|
Здравствуйте, уважаемые коллеги!
Присоединяюсь к мнению коллег за свободную костную пластику на питающей ножке, быть может даже лучше блоком с кожей и мышечной тканью. Наиболее универсальным кажется тороко-дорзальный лоскут с ребром или гребнем лопатки. Как вариант малоберцовая или плюсневая со стопы.
Вот в плане фиксации, мне предпочтительнее видится аппаратная, хотя минусы её тоже известны.
С уважением,
Александр Е. Клоков
БСМП, г. Мурманск
|
[
Ответить ]
|
Re: case tibial defect
Djoldas Kuldjanov 31 Январь 2007, 21:24
|
Коля, привет,
Согласен с тобой, короткий дистальный фрагмент, нет места ни для штифта, ни Т-образной пластины, да и шурупы мешают.
Срок маленький, с преждевременным удалением шурупов можно потерять репозицию эпифиза.
Конечно, возможность костной пластики не снимается, хотя из-за огромного дефекта имеется опасность плохого приживления, поэтому рекомендую приподнять блокированную мышечную пластику,
сделать поперечную остеотомию диафиза, полость заполнить antibiotic beads и начать удлинение.
Из аппаратов предпочтительно циркулярный, на дистальном фрагменте можно увеличить количество спиц.
Медленно вытолкнутые Antibiotic Beads из полости дефекта можно удалить из малого доступа.
К тому времени потерявшая массу мышечная пластика (в течение 6 месяцев мышечная пластика теряет около 50% массы) создаст хорошие контуры голени.
Фиксацию Docking site по твоему усмотрению с добавлением BMP-2 или OP1.
Интересный случай, надо стараться сохранить сустав, любые осложнения грозят потерей части движений в суставе. При ведении сложных околосуставных дефектов не мешает предварительная моральная подготовка пациента к артродезу.

Здесь случай, хотя не тот уровень, но принцип "удлинения после заполнения дефекта Antibiotic Beads" сохранен, можно немного увеличить количество бус.
Джолдас
Djoldas Kuldjanov, MD
Department of Orthopedic Surgery
St. Louis University Medical Center
|
[
Ответить ]
|
Re: case tibial defect
Nikolaj Wolfson 01 Февраль 2007, 10:34
|
Дорогие Коллеги:
Мнения ваши интерстные , а некоторые даже, хотя и не оригинальны, но уж очень " на острие".
Джолдас:
Рад тебя слышать Согласен с твоим анализон ситуации и твоей тактики.
Есть мнение (Аршак Мирзоян) проигнорировать присутсвие мышечного флапа и погружать прокимальный фрагмент. Что-то в етом есть.
Будешь в Сан Диего?
Юрий Алексеевич Булахтин и Александр Е. Клоков:
Ваши предложения реальны, но похоже что пластики своэ дело сделали и ушли...
Александр Кириенко: Твое послание не могу прочитать?
Благодарю всех за участие,
Николай
|
[
Ответить ]
|
Re: case tibial defect
Отправитель: Alexander Kirienko 01 Февраль 2007, 22:58
|
Дорогой Николай.
Нисходяший фрагмент постепенно раздавит то что останется на его пути от флапа и без проблем приблизится и дистальному фрагменту.
Удачи.
Alexander Kirienko
|
[
Ответить ]
|
Re: case tibial defect
Отправитель: Djoldas Kuldjanov 01 Февраль 2007, 23:00
|
Привет Коля,
Навряд ли в этом году получится поехать на
академию, тем более летом на АСАМИ проверили, мы не нашли в Сан Диего хорошего русского ресторана.
Встретимся летом на АСАМИ в Чикаго.
Рад за тебя в ЛА и за показ интересных больных. Привет домашним.
Джолдас
|
[
Ответить ]
|
|
Re: case tibial defect
Arshak E. Mirzoyan 03 Февраль 2007, 10:12
|
Привет Николай!
По моему сам Бог велел тут билокальный компрессионно- дистракционный остеосинтез или bone transport. Адаптировать отломки в зоне кнтакта, думаю не понадобится, т. к. острые и крепкие концы диафиза, как правило, хорошо погружаются в метафиз и со сращением проблем быть не дложно. Тут не
переборщить с компрессией, чтоб не "попась" в г/с сустав.
Xоть и отмечаешь, что нет неврологического статуса, позволю переспросить, есть ли активная тыльная флексия стопы?
Oписание аналогичного случая есть на сайте нашего центра www.ycllr.org/sample cases/bone and soft tissue defect/
Удачи!
PS: Рад, что ты пребрался в LA, как давно? я там бываю, недеюсь наша встреча не за горами.
С уважением,
Аршак Мирзоян
Ереванский Центр Реконструкции и
Удлинения Конечностей
|
[
Ответить ]
|
Re: case tibial defect
Отправитель: Nikolaj Wolfson 03 Февраль 2007, 10:14
|
Arshak:
Great to her from you.
Hope to see you in LA.
Nikolaj
Nik
|
[
Ответить ]
|
Re: case tibial defect
Отправитель: Arshak Mirzoyan 03 Февраль 2007, 10:15
|
Nik!
I'll be also very glad to see you
Keep us informed how you dealing with this tibia defect.
Good luck,
Arshak
|
[
Ответить ]
|
|
Re: case tibial defect
Alexander Artemiev 09 Февраль 2007, 21:08
|
Приветствую всех, дорогие друзья.
Брошу и я свой пятак.
Тема интернациональная и, к сожалению, актуальная.
Первое впечатление после просмотра исходных картинок - это то, что краску клали на ржавчину. Внешне благообразно, а что будет дальше - не совсем понятно. Это типичная ситуация при лечении подобных травм в многопрофильных специализированных учреждениях. Каждый внес свой весомый вклад (кто-то косточку собрал, кто-то кожу закрыл), а в итоге нога имеет декоративный вид.
По существу:
1. Интересно было бы посмотреть исходные снимки и, если можно - фото. Кстати, из какого оружия произведен выстрел? Степень разрушения напрямую зависит от скорости ранящего снаряда и, соответственно, определяет объем хирургической обработки. Складывается впечатление, что хирургическая обработка произведена с одной стороны, слишком радикально (удалили все осколки), а с другой стороны - сохранили "сосульку" большеберцовой кости, что часто затрудняет дальнейшее лечение.
2. Как минимум две операции лишние - остеосинтез малоберцовой кости и закрытие мягких тканей. Их исход препятствует завершению лечения.
3. Из названных методов замещения дефекта каждый имеет определенные недостатки или, точнее,
сложности.
- Т.н. острое укорочение с различными осевыми вариациями. Идеально было бы применить его сразу - в остром периоде. Это облегчило бы закрытие раны, уменьшив и костный, и мягкотканый дефект. Малоберцовку можно было бы пустить внахлёст или, в крайнем случае - резецировать.
При правильно смонтированном аппарате после уверенности в жизнеспособности конечности - остеотомия большеберцовой кости в верхней трети и коррекция длины дистракцией. Сейчас же реализации этой методики мешает малоберцовая кость. Да и с "сосулькой" тоже особенно не разгуляешься в рубцах.
- Низведение фрагмента. Мне видятся сложности с адаптацией фрагментов. Если удалять острый конец большеберцовой кости, то идти придется через лоскут, да и дефект увеличится.
Вдавливать острый край проксимального отломка в дистальный - не проблема. Просто может не срастись - маленькая зона контакта в неблагоприятных для сращения условиях.
4. Никто не назвал методику, которая мне представляется наиболее удачной - тибиализация малоберцовой кости. Пластинку, конечно, придется убрать. Нужно наложить кольцевой Илизаров,
томировать малоберцовку на уровне дефекта, закрыто пересечь большеберцовую кость у основания острого края проксимального отломка - и подтянуть фрагмент малоберцовой кости в зону дефекта большеберцовой спицами с упорными площадками. Не обязательно при этом выводить строго в центр, достаточно сращения при боковом касании отломков - малоберцовая кость оттеснит как раз "сосульку" в сторону, и томированные края берцовых костей срастутся между собой. Есть еще ряд нюансов - готов расписать со схемами в случае, если будет принято решение в пользу этой методики.
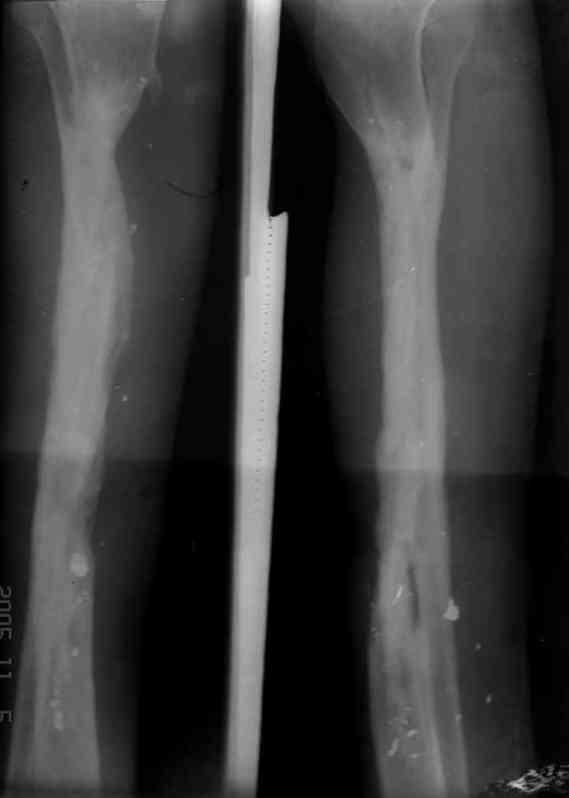
5. Ну и чтобы не быть голословным. Молодой человек подорвался на фугасе (Чечня, 2005 год). Свежие рентгенограммы:

Соответственно ожоги и дефект мягких тканей, переломы костей стопы и пр. Наложили аппарат
Илизарова (как придется), хирургически обработали и героически заживляли мягкие ткани с многочисленными кожными пластиками. В итоге через полгода я принял его вот таким:

Реализовал описанную выше методику, и в итоге вот что получилось. Высылаю лишь прямые проекции,
в боковых тоже всё в тему.

Очень пригодились карбоновые кольца (Джолдас -огромное спасибо, я твой должник!!!), поскольку остеопороз дистального отломка был просто невероятный. На цифровом рентгене с трудом угадывались контуры.

Рентген в процессе перемещения - внизу карбоновые кольца, тракция фрагмента спицами с упором.

внешний вид в аппарате - не завершающем этапе, сначала стопа тоже была фиксирована в аппарате.
Сейчас аппарат сняли, но случай ещё не завершенный.
Признаюсь честно, не совсем уверен в прочности консолидации на стыке косточек. Кроме того, укорочение в районе 6 см. Сейчас реабилитация - ходит опираясь на ногу с одним костылем.
Продолжение, видимо, будет... Возможно, будем удлинять.
С уважением Александр Артемьев
|
[
Ответить ]
|
Re: case tibial defect
Отправитель: Djoldas Kuldjanov 13 Февраль 2007, 01:24
|
Александр привет,
> Джолдас -огромное спасибо, я твой должник!
Да не стоит благодарности. Спасибо за выставленный случай.
Я думал, что в нижнем отделе голени без мягкотканнего покрытия будет сложно проведения тибиализацию, но твой пример показывает - метод работает даже в таких трудных условиях.
Кстати, как метод использования малоберцовой при дефектах на более высоком отделе большеберцовой, недавно с моим партнерем опубликовали в главе по замещению дефектов в книжке Роберта Росбруха и Светланы Илизаровой по Наружным Фиксаторам.

Глава из книги, 420 Кб.
Правда те мои случаи были сделаны давно, еще в Латинской Америке, и конечно качество исполнения отстает от идеалов, но, несмотря на отсутствие нормальных спиц с упором, метод сработал в свое время.
Приходилось встречать замещенные дефекты малоберцовой костью без применения метода Идизарова, и при соблюдении осторожности хрупкая малоберцовая за короткое время под вождействием нагрузки утолщались в диаметре.
Djoldas Kuldjanov, MD
Department of Orthopedic Surgery
St. Louis University Medical Center
|
[
Ответить ]
|
|
( Ответить )
|
|