ВХОД ДЛЯ ПАЦИЕНТОВ
вверх
поиск
админ
главная
исходное
|
Re: Застарелый вывих
послал Рашид Муртузалиевич Тихилов 10 Февраль 2007, 13:20
|

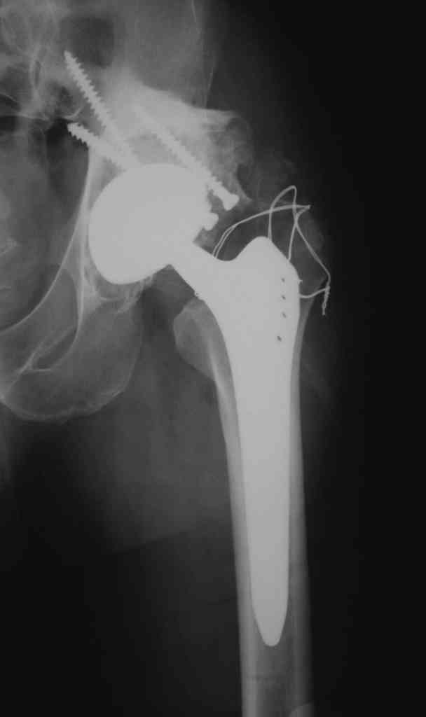
Еще одно наблюдение, неправильно сросшийся перелом заднего отдела ВВ с ввихом головки бедра 16-и летней давности.
С уважением, Р.Тихилов
|
| Послать ответ |
Обратите внимание: Поля с жирными названиями обязательны.
Старайтесь отвечать в рамках обсуждаемой темы, а не начинать новые обсуждения.
Указывайте адекватную тему сообщения, чтобы было ясно, о чем оно.
Не послайте сообщений не по теме (оффтопик), раздраженных, грубых или обидных комментариев. Здесь это неуместно.
|