вверх
отправить
поиск
админ
главная
|
Отправлено Рунков А.В. 09 Февраль 2007, 15:43
К нам обратился житель Казахстана с застарелым вывихом бедра. Травма год назад, вместо синтеза заднего края казахскими умельцами установлена клинковая пластина, через 6 мес удалена. Больной ходит с тростью,сгибание в т-б 90, разгибание 170, укорочение 5 см, боли не выражены, анальгетиками не пользуется. Настроен на эндопротезирование в клинике, где есть опыт подобных операций (возможно за рубежом).Наш план: аппарат таз-бедро, постепенное низведение бедра, "октопус" с пластикой. Но с такими большими дефектами мы не сталкивались.Есть вариант сначала аппарат, затем реконструкция впадины, протез обычный через 4-6 мес.Есть мнение не восстанавливать длину. Будем признательны за полезные советы. Было бы интересно посмотреть пример.
<
|
>
|
|
Ответить
|
Re: Застарелый вывих
Рашид Муртузалиевич Тихилов 10 Февраль 2007, 13:19
|
Уважаемый д-р Рунков,
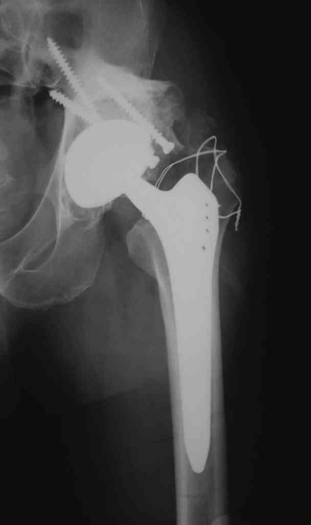
К сожалению, нередкая ситуация, мы предпочитаем выполнять операцию одномоментно - пластика задне-верхнего дефекта крыши ВВ собственной
головкой, установка вертлужного компонента бесцементной фиксации с обязательной дополнительной фиксацией винтами. Проблема будет в
восстановлении длины ноги, опыт показывает, что более 3-х см одномоментно восстановить очень сложно, и даже для этого потребуется широкая мобилизация бедра. В одном из номеров ж-ла Ортопедия травматология России мы опубликовали наш подход и р-ты лечения у больных с последствиями перелома ВВ.
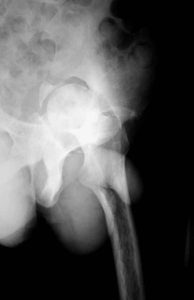
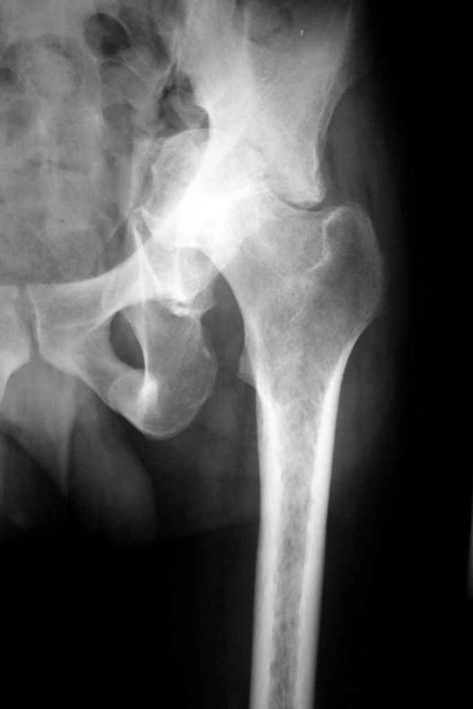
Прилагаю в качестве иллюстрации одну из последних операций.

С уважением, Р.Тихилов
|
[
Ответить ]
|
Re: Застарелый вывих
Отправитель: Рунков А.В. 12 Февраль 2007, 11:31
|
К сожалению не читал Вашу статью, журналы только в библиотеке, и там не все. Подскажите номер и год, может быть есть электронная версия.
С уважением Рунков А.В.
|
[
Ответить ]
|
|
Re: Застарелый вывих
Рашид Муртузалиевич Тихилов 10 Февраль 2007, 13:20
|

Еще одно наблюдение, неправильно сросшийся перелом заднего отдела ВВ с ввихом головки бедра 16-и летней давности.
С уважением, Р.Тихилов
|
[
Ответить ]
|
Re: Застарелый вывих
Отправитель: Рунков А.В. 12 Февраль 2007, 11:10
|
Большое спасибо за ответ, примеры впечатляют, особенно случай с переломом задней колонны. Интересно отличаются ли у Вас доступ при значительных проблемах в задних отделах от стандартного, всегда ли хватает головки или берете кость из других мест, отличается ли послеоперационное ведение у таких больных (когда нагрузка?).
С уважением Рунков А.В.
|
[
Ответить ]
|
Re: Застарелый вывих
Отправитель: Рашид Муртузалиевич Тихилов 13 Февраль 2007, 02:24
|
Уважаемый д-р Рунков А.В.(извиняюсь что не по имени-отчеству), Я всегда пользуюсь передним доступом на боку, но при этом обязательно
выполняю задний релиз - либо из этого же доступа после резекции головки, либо путем мобилизации сзади при внутренней ротации бедра. Критерием
достаточности является возможность свободно "оторвать" бедро в среднем ротационном положении. После такой мобилизации при сгибании бедра и
наружной ротации достаточно легко выполнить фиксацию головки в зону дефекта ВВ. Если это не удается - то это можно сделать сзади через
небольшие проколы м.тканей. Есть один нюанс - при застарелых переломо-вывихаха достаточно сложно найти ВВ, так отшлифовывается новая
ВВ, что создается полное впечатление об ее истинности, будьте предельно внимательны. Как только Вы нашли истинную ВВ, Вы ее начинаете
обрабатывать фрезами, слегка "подрываясь" вверх, таким образом, уменьшается размер дефекта, подлежащий пластике. Поэтому головки всегда
хватает. Плюс к этому то, что Вы "наскоблили". Ни разу не пользовались аллографтами, но нам проще - у нас свой банк. П/о ведение зависит от
степени покрытия чашки и прочности ее фиксации. Как правило, касание пола с первых дней, частичную нагрузку разрешаем через 6 недель, полную
- через 12 недель. Если есть сомнения, то полная нагрузка через 4 м-ца.
Есть другая опасность - при таком расширенном релизе у двоих б-х были вывихи бедра, поэтому надо быть предельно внимательным при обьяснении
режима движений. Только один раз выполняли предварительное низведение в аппарате, но там и смещение было около 7-8 см. Несколько раз
пользовались скелетным вытяжением перед операцией в течение 10-12 дней. Ни разу не разносили операцию на два этапа (имеется ввиду открытая
мобилизация, установка чашки, а уже бедро после вытяжения), хотя есть такие варианты и не факт, что этим не придется воспользоваться. Просто
реально представляешь моральное состояние б-х и риск осложнений при этих двух этапах.
Номер ж-ла вышлю обязательно.
С уважением, Р.Тихилов
|
[
Ответить ]
|
|
Re: Застарелый вывих
Елкин Д.В., Москва 11 Февраль 2007, 15:05
|
Уважаемый коллега!
Согласен с Р.М. Тихиловым: выполнение одномоментной операции эндопротезиования с пластикой впадины, по-моему, в данной ситуации вполне возможно. Лучше иметь во время операции выбор вертлужных компонентов, в т.ч. укрепляющих колец.
Кстати, судя по рентгенограммам и КТ истинная разница в длине ног не столь велика, укорочение, главным образом, за счет контрактур.
|
[
Ответить ]
|
Re: Застарелый вывих
Отправитель: Рунков А.В. 12 Февраль 2007, 11:23
|
Спасибо за отклик.
С уважением, Рунков А.В.
|
[
Ответить ]
|
|
Re: Застарелый вывих бедра
Anatoly Lazarev 12 Февраль 2007, 16:39
|
Двуэтапное протезирование с Октопусом. Первый этап установка вертлужного компонента с пластикой и мобилизацией проксимального отдела. Затем низведение хоть в аппарате, хоть на вытяжении - установка бедренного компонента.
или наоборот - низведение закрыто в аппарате, если не будет воспаления установка эндопротеза с октопусом. ЛАФ.
|
[
Ответить ]
|
Re: Застарелый вывих бедра
Дюйсенбек Рахимканов 24 Май 2010, 22:49
|
16 апреля 2009г. в областной клинике им. Калинина города Самары мне установлен эндопротез. Операцию проводил Куропаткин Г.В. Востановлена длина ноги.Спасибо врачам .
|
[
Ответить ]
|
( Ответить )
|
|