ВХОД ДЛЯ ПАЦИЕНТОВ
вверх
поиск
админ
главная
исходное
|
Re: ложный сустав !!!
послал Djoldas Kuldjanov, MD 29 Апрель 2007, 13:23
|
Методов лечения ложного сустава много, и каждый метод оправдан при наличии необходимого инструментария и знания, поэтому надо выбрать метод, наиболее подходящий для ваших условий.
Бесспорно, закрытый метод лучше, меньше травматизации и небольшой риск вторичного инфицирования.
При отсутствия условий для закрытого штифтования с блокированием, можно рекомендовать открытый метод, который ещё позволит удостовериться в наличии инфицированного ложного сустава и исправить укорочение, ротацию.
Мостовидная (bridge plate) укладка пластины более адекватна, а добавленная костная пластика восстановит длину. Любая пластина Large Fragment Locking Compression Plate, установленная на бедро, позволит реабилитацию движения суставов с первого дня.
При наличии инфекции стандартная тактика - антибиотические бусы и наружный фиксатор - даст возможность позднего вторичного вмешательства.
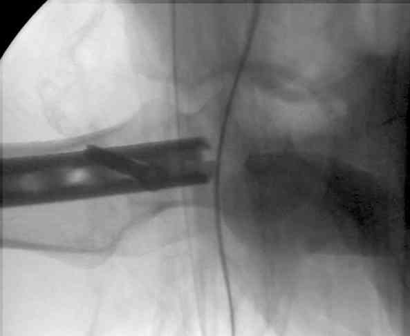
Если имеете доступ к trochanteric медуллярным штифтам TAN Smith Nephew или DePuy, где имеется offset на 8 градусов для удобства черезвертельного введения и профилактики нарушения кровеснабжения
головки (см. снимок) можно было применить штифт, в котором опороспособность достигается за счет блокирующих шурупов сверху и снизу.
На сегодня редко используются прямые piriformis штифты для антеградного введения. И универсальный Versanail от DePuy, выпускаемый для ретро-и антеградного применения с различными вариантами блокировки, в основном применяется для ретроградного введения.
Учитывая, что ложный сустав с укорочением, для восстановления необходимо применение дистракции (на кольцах или femoral distractor) или другой методикой, например после определения длины, штифт вводят в канал, не снимая Insertion tool, блокируется дистально шурупами и дальше штифт доводится до желаемого положения, затем через jig
производят блокировку проксимально
Костная масса, полученная в результате рассверливания канала, кстати, прекрасный пластический материал, можно использовать для лечения ложного сустава. Через любую трубку небольшого диаметра, без открытия фокуса, можно уложить на место дефекта. Блокирующие шурупы в 6.5 и 5.0 мм диаметра, и больной смело может передвигаться, потому что 12 мм штифт с одним дистальным и проксимальным блокирующими шурупами выдерживает вес в 75 кг.

Djoldas Kuldjanov, MD
Department of Orthopedic Surgery
St. Louis University Medical Center
|
| Послать ответ |
Обратите внимание: Поля с жирными названиями обязательны.
Старайтесь отвечать в рамках обсуждаемой темы, а не начинать новые обсуждения.
Указывайте адекватную тему сообщения, чтобы было ясно, о чем оно.
Не послайте сообщений не по теме (оффтопик), раздраженных, грубых или обидных комментариев. Здесь это неуместно.
|