Ответить
|
Re: ложный сустав !!!
Алексей Семенистый 18 Апрель 2007, 09:21
|
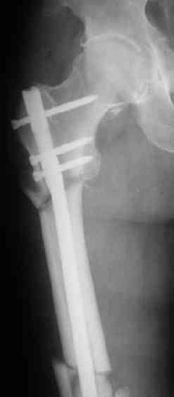
> денамизация - февраль 2006. ( 3 и 4 снимки) на сегодняшний день (снимок 5) беспокоит боли в тбс...
Уважаемый Ашраф!
Однозначно: удалить, рассверлить, перештифтовать более толстым гвоздем. ЭТОТ 9 мм будет? Возьмите 12-14.
Дистально обязательно два винта! Проксимально можно один динамический. Больной будет счастлив на следующий же день!
Учитывая точку введения - верхушка б\вертела - что бы исправить варус взял бы соответствующий гвоздь: длинную Гамму или PFN или Recon
С уважением, А.Семенистый.
ГКБ 13, Москва.
|
[
Ответить ]
|
Re: ложный сустав !!!
Отправитель: Castro 18 Апрель 2007, 16:00
|
Drogoi Alexei!
A s ukoracheniem chto delat'? Mene kazitsa, chto 2.5 cm. ukorochenia vse ravno ostanetsa, esli ni bolshe, chto s itim delat'? Ni luche prefiksirovat' perelom by Ex. Fix, chto bi proezvodit' Korreksio i udlenenia odnovremenno?
Dr. Castro
Amman
|
[
Ответить ]
|
Re: ложный сустав !!!
Отправитель: Alexander Chelnokov 18 Апрель 2007, 22:47
|
> P.S. Учитывая точку введения - верхушка б\вертела
Это, похоже, и есть источник проблемы.
> - что бы исправить варус взял бы соответствующий гвоздь: длинную
> Гамму или или PFN или Recon
Судя по уровню перелома, винты в шейку избыточны, подойдет и диафизарный гвоздь. Все, что нужно, это тиски и труба. Загнуть сразу ниже отверстий градусов на 8-10, и вся недолга. Последние годы у нас это рутинная практика. Предызогнутые еще с завода гвозди неудобны тем, что они уже правый-левый.
Согласен, что 3,5 см укорочение этим снимкам не соответствует, за счет перелома и деформации - 1,5 см от силы. То есть либо ошибка измерения, либо приводящая контрактура, либо укорочение за счет другого отдела.
Согласен, что закрытый реостеосинтез с рассверливанием и коррекцией оси - это то, что надо. Мы бы ввели в центральный отломок статических 2-3 винта, и один динамический винт в дистальном отломке.
|
[
Ответить ]
|
Re: ложный сустав !!!
Отправитель: Сувалян Микаэл 18 Апрель 2007, 23:57
|
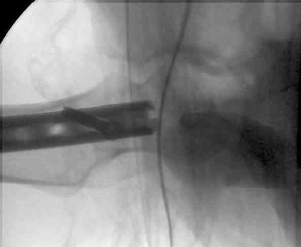
"Судя по уровню перелома, винты в шейку избыточны, подойдет и диафизарный гвоздь. Все, что нужно, это тиски и труба. Загнуть сразу ниже отверстий градусов на 8-10, и вся недолга. Последние годы у нас это рутинная практика. Предызогнутые еще с завода гвозди неудобны тем, что они уже правый-левый."
Александр, как всегда, очень интересная мысль от Вас! Что, реально изогнуть титановый гвоздь не сломав его? Если имеются под рукой Р-снимки, продемонстрируйте, плиз.
|
[
Ответить ]
|
Re: ложный сустав !!!
Отправитель: Alexander Chelnokov 19 Апрель 2007, 02:39
|
СМ> Что, реально изогнуть титановый гвоздь, не сломав его?
Конечно. Чтобы не сломать, лучше проложить в тиски сразу ниже отверстий полоску металла, чтобы там создалась концентрация напряжений при изгибе, а не на уровне отверстия.
СМ> Если имеются под рукой Р-снимки, продемонстрируйте, плиз.
Вот несколько. С тисками и трубой на днях сделаем.
|
[
Ответить ]
|
Re: ложный сустав !!!
Отправитель: Сувалян Микаэл 19 Апрель 2007, 21:39
|
Преклоняюсь...
без каких-либо шуток.
|
[
Ответить ]
|
Re: ложный сустав !!!
Отправитель: Alexander Chelnokov 19 Апрель 2007, 23:07
|
Простите, не понял, что именно вызывает такие экстремальные эмоции?
Гвозди с латерализованным проксимальным концом сейчас становится мэйнстримом, поскольку трохантерная точка входа во всех отношениях
благоприятнее f. piriformis.
Моделирование титановых заготовок, в том числе трубой в тисках, при остеосинтезе по Звереву-Ключевскому - тоже широко распространенная
практика, и бедренные гвозди там тоже достаточно мощные...
|
[
Ответить ]
|
Re: ложный сустав !!!
Отправитель: Коваленко А.Н. 21 Апрель 2007, 00:04
|
Я не знал, что при историческом моменте присутствовал, воочию наблюдая,как теперь оказалось, святая святых: Александр Николаевич сам ДЕЛАЕТ ЭТО - гнет штифт!!! Знал бы, эх, сфотографировался бы на фоне тисков, трубы и гнутого стержня:(
|
[
Ответить ]
|
Re: ложный сустав !!!
Отправитель: Алексей Семенистый 19 Апрель 2007, 22:05
|
> Вот несколько. С тисками и трубой на днях сделаем.
Саша, последний штифт, пожалуй, перегнули?
Штучное производство, ювелирная работа! Боюсь, для наших пациентов дороговато выйдет, не потянут.
С уважением, А.Семенистый.
ГКБ 13, Москва.
|
[
Ответить ]
|
Re: ложный сустав !!!
Отправитель: Alexander Chelnokov 19 Апрель 2007, 22:15
|
> Саша, последний штифт, пожалуй перегнули?
Там заход сделан как для прямого штифта, не через вертел.
Штучное призводство, ювелирная работа! Боюсь, для наших пациентов
> дороговато выйдет, не потянут.
Может, еще договоримся? Торг уместен ;-)
|
[
Ответить ]
|
Re: ложный сустав !!!
Отправитель: Алексей Семенистый 19 Апрель 2007, 22:17
|
Там заход сделан как для прямого штифта, не через вертел.
И правда, не через вертел. Тогда зачем гнули?
С уважением, А.Семенистый.
ГКБ 13, Москва.
|
[
Ответить ]
|
Re: ложный сустав !!!
Отправитель: Алексей Семенистый 19 Апрель 2007, 00:45
|
> ниже отверстий градусов на 8-10, и вся недолга. Послещние годы у нас
> это рутинная практика.
У нас такие переделки не рутина, но встречаются. Завтра пойду куплю тиски! :)
С уважением, А.Семенистый.
ГКБ 13, Москва.
|
[
Ответить ]
|
Re: ложный сустав !!!
Отправитель: Alexander Chelnokov 19 Апрель 2007, 01:08
|
АС> У нас такие переделки не рутина, но встречаются. Завтра пойду куплю тиски! :)
Сразу лучше в комплекте брать верстак, наждак, сверлильный станок. Малый гаражно-ортопедический набор ;-)
|
[
Ответить ]
|
Re: ложный сустав !!!
Отправитель: Алексей Семенистый 19 Апрель 2007, 02:30
|
Малый?... А что же тогда - БОЛЬШЛЙ???
С уважением, А.Семенистый.
ГКБ 13, Москва.
|
[
Ответить ]
|
Re: ложный сустав !!!
Отправитель: Alexander Chelnokov 19 Апрель 2007, 02:31
|
Газовая горелка (нагретый титановый штифт гнется двумя пальцами), фрезерный и токарный станки...
|
[
Ответить ]
|
Re: ложный сустав !!!
Отправитель: Michael Berenstein 19 Апрель 2007, 02:32
|
А как с оксидами которые образуются на поверхности металла при нагревании?
Они безвредны?
Вообще-то уважаемые фирмы напыляют специальные покрытия на титановые штучки.
Я все понимаю про обеспеченность инструментами , но может стоит об этом поговорить?
Всегда ли вы уверены что гвоздь поставленный вами сделан из материала который безвреден.
С уважением М.Беренштейн
|
[
Ответить ]
|
Re: ложный сустав !!!
Отправитель: Alexander Chelnokov 19 Апрель 2007, 02:35
|
BM> А как с оксидами которые образуются на поверхности металла при нагревании?
BM> Они безвредны?
Титан в этом отношении замечательный материал. Как раз его оксиды и делают его одним из самых биологически инертных. Нагревание может сыграть другую неприятную роль, могут создаться при охлаждении внутренние напряжения в металле. Вроде проблем из-за этого мы не видели, но... Предпочитаю гнуть трубой в холодном виде, хотя газовая горелка рядом с тисками.
BM> Вообще-то уважаемые фирмы напыляют специальные покрытия на титановые штучки.
И продают каждый фиксатор в трех версиях - сталь, титан, анодированный титан... Сколько тут маркетинга, а сколько реальной пользы для пациента (и в чем конкретно она выражается) - не уверен, что легко ответить.
BM> Я все понимаю про обеспеченность инструментами , но может стоит об этом
BM> поговорить?
Конечно, это интересная тема, о которой не прочитаешь в журналах.
BM> Всегда ли вы уверены что гвоздь поставленный вами сделан из материала
BM> который безвреден.
Ни разу не доводилось слышать о каких-то проблемах с пациентами, обусловленных вредностью этого материала. Так что, видимо, не более вреден, чем другие массово применяемые индустриальные фиксаторы.
Давайте вспомним ярославских коллег, 10-15 лет назад разработавших стройную систему эластичного стабильного интрамедуллярного остеосинтеза для всех сегментов. Основа системы - то, что фиксаторы для каждого пациента изготовливаются из полуфабрикатной заготовки хирургом перед операцией (наждак, тиски, молоток...). Материал -
промышленные(!) титановые сплавы, по старому ВТ-5, ВТ-15 и другие из этой серии. В начале 90-х уже было у них много сотен пациентов. Мы до сих пор пользуемся этим подходом для штифтования плеча и предплечья.
Ни свои пациенты, ни литература не давали пока оснований вспоминать о (без)вредности материала. При том, что мы удаляем 7-8% гвоздей.
|
[
Ответить ]
|
Малый гаражно-ортопедический набор
Отправитель: Michael Berenstein 19 Апрель 2007, 22:35
|
Александр привет!
В мире полном адвокатов принято проверять казалось бы мелочи.
В свое время я не смог внедрить никилид титана из-за недостаточности информации о влиянии никеля.
Все чаще ичаще говорят о неизвестных последствиях применения протезов металл-металл т.к. находят некоторое увеличение ионов железа и скоплении микрочастиц металла. Пока ни кто не болеет, но ещё ни кто не знает что может случится в будущем. Вроде мелочи.
Каждый больной считает своим долгом выяснить из какого материала сделан имплантат и потом идет проверят в интернете. Если у вас этого ещё нет? то тоже скоро будет.
Вообще несколоко вопросов по материаловеденью есть на экзаменах у резидентов, хотя по моему недостаточно.
Кстати, может увидимся на страйкеровской конференции в СПб?
М.Беренштейн
|
[
Ответить ]
|
Re: Малый гаражно-ортопедический набор
Отправитель: Alexander Chelnokov 19 Апрель 2007, 22:52
|
Dear Михаил,
> В мире полном адвокатов принято проверять казалось бы мелочи.
> В свое время я не смог внедрить никилид титана из-за недостаточности
> информации о влиянии никеля.
Вряд ли отдельному врачу в любой стране удастся самому внедрить в государственном масштабе новый материал, даже если он самый супер-пупер хороший и безопасный. Максимум, что он может сделать - создать некоторые для этого основания, проведя эксперимент, или потом на ограниченной серии пациентов. Пусть внедрением со всеми согласованиями, испытаниями, рецензиями и разрешениями занимается индустрия.
С титаном в xUSSR счастливая ситуация, что его здесь не надо внедрять, даже его технические сплавы уже давно внедрена в медицинскую практику.
Которая за послелние лет уже 20 не показала наличие обсуждаемой проблемы. Возможно, когда-нибудь их "вынедрят", но для этого надо специальные усилия.
> Все чаще ичаще говорят о неизвестных последствиях применения протезов
> металл-металл т.к. находят некоторое увеличение ионов железа и скоплении
Да, не раз про гипотетический вред слышал от активных сторонников удаления фиксаторов. Но - есть работы, показывающие, что вред от удаления бессимптомных конструкций не туманно-перспективный, а реальный сегодняшний.
> имплантат и потом идет проверят в интернете. Если у вас этого ещё нет то
> тоже скоро будет.
Нам бы ваши заботы ;-)
> Вообще несколmко вопросов по материаловеденью есть на экзаменах у
> резидентов, хотя по моему недостаточно.
Согласен, представление о свойствах материалов и сплавов врачу полезно иметь.
> Кстати, может увидимся на страйкеровской конференции в СПб?
Постараюсь быть.
|
[
Ответить ]
|
|
Re: ложный сустав !!!
Сувалян Микаэл 18 Апрель 2007, 16:24
|
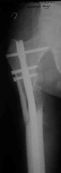
Не очень понятно, за счет чего имеется такое значительное (3,5 см) укорочение конечности.
Какие ориентиры берутся при измерении бедра?
П.с.: или в анамнезе были другие травмы этой конечности?
|
[
Ответить ]
|
Re: ложный сустав !!!
Усольцев Анатолий 18 Апрель 2007, 22:03
|
Уважаемый ,Ашраф! Считаю в настоящее время основная задача достичь консолидации перелома. Для этого необходимо удалить оставшийся стабилизирующий винт в проксимальном отделе бедра и дать полную нагрузку. Имеющее укорочение на этом периоде компенсировать подбором ортопедической стельки. После курса реабилитации возможно отпадет необходимость восстанавливать длину конечности. С уважением Анатолий.
|
[
Ответить ]
|
Re: ложный сустав !!!
Отправитель: Алексей Семенистый 20 Апрель 2007, 15:49
|
Оставшийся, наполовину выкрутившийся винт уже мало что стабилизирует. Что полезного в одном только удалении этого винта? Что даст полная нагрузка через боль в условиях нестабильной во всех плоскостях фиксации? На знании каких законов биологии и механики основано Ваше убеждение, что от предложенных мер перелом срастется?
С уважением, А.Семенистый.
ГКБ 13, Москва.
|
[
Ответить ]
|
|
Re: ложный сустав !!!
А.Усольцев 21 Апрель 2007, 21:47
|
Действительно, стабилизирующая функция оставшегося винта в проксимальном отделе бедра исчерпана и в настоящий момент он является препятствием для сближения отломков. Стержень не даст сместиться отломкам по ширине . Осевая нагрузка позволит <раздавить> фиброз в месте перелома , достичь сближения и консолидации отломков.
С уважением А.Усольцев
|
[
Ответить ]
|
Re: ложный сустав !!!
Отправитель: Алексей Семенистый 23 Апрель 2007, 08:43
|
> Действительно, стабилизирующая функция оставшегося винта в >проксимальном отделе бедра исчерпана и в
> настоящий момент он является >препятствием для сближения отломков.
Препятствием является не это винт, а недостаточная стабильность, которая ни как не улучшиться от его удаления.
<> >Стержень не даст сместиться отломкам по ширине .
Данный стержень у данного пациента позволяет смещаться отломкам по длине, ширине, на варус и вокруг вертикальной оси.
>Осевая нагрузка позволит раздавить фиброз в месте перелома , достичь >сближения и консолидации отломков.
Чтож он до сих пор не "раздавился"?
Вы действительно считаете, что данному перелому нужна только динамизация, которой препятствует ничего не стабилизирующий, наполовину выкрутившийся проксимальный винт?
С уважением, А.Семенистый.
ГКБ 13, Москва.
|
[
Ответить ]
|
Re: Ложный сустав!!!
Отправитель: usolcev_anatolii @mail.ru 24 Апрель 2007, 23:18
|
Уважаемый ,Алексей!
Позвольте с Вами не согласиться. В данном случае мы имеем дело не со <свежей>
травмой, поэтому о тех смещениях, которые Вы говорите, произойти не должно.
Внимательно посмотрите на последний снимок. При казалось бы малом размере стержня, резорбции кости вокруг него не отмечается, что говорит о определенной стабильности его в костномозговом канале.
< Что он до сих пор не <раздавился> ?
А то и не раздавился - что проксимальный фрагмент < висит> на этом винте.
Безусловно, если рассматривать проблему глобально, с коррекцией длины конечности, подход должен быть другим. Но для достижения консолидации перелома думаю, что такой вариант приемлем.
С уважением А.Усольцев
Иркутск.
|
[
Ответить ]
|
|
Re: ложный сустав !!!
Djoldas Kuldjanov, MD 29 Апрель 2007, 13:23
|
Методов лечения ложного сустава много, и каждый метод оправдан при наличии необходимого инструментария и знания, поэтому надо выбрать метод, наиболее подходящий для ваших условий.
Бесспорно, закрытый метод лучше, меньше травматизации и небольшой риск вторичного инфицирования.
При отсутствия условий для закрытого штифтования с блокированием, можно рекомендовать открытый метод, который ещё позволит удостовериться в наличии инфицированного ложного сустава и исправить укорочение, ротацию.
Мостовидная (bridge plate) укладка пластины более адекватна, а добавленная костная пластика восстановит длину. Любая пластина Large Fragment Locking Compression Plate, установленная на бедро, позволит реабилитацию движения суставов с первого дня.
При наличии инфекции стандартная тактика - антибиотические бусы и наружный фиксатор - даст возможность позднего вторичного вмешательства.
Если имеете доступ к trochanteric медуллярным штифтам TAN Smith Nephew или DePuy, где имеется offset на 8 градусов для удобства черезвертельного введения и профилактики нарушения кровеснабжения
головки (см. снимок) можно было применить штифт, в котором опороспособность достигается за счет блокирующих шурупов сверху и снизу.
На сегодня редко используются прямые piriformis штифты для антеградного введения. И универсальный Versanail от DePuy, выпускаемый для ретро-и антеградного применения с различными вариантами блокировки, в основном применяется для ретроградного введения.
Учитывая, что ложный сустав с укорочением, для восстановления необходимо применение дистракции (на кольцах или femoral distractor) или другой методикой, например после определения длины, штифт вводят в канал, не снимая Insertion tool, блокируется дистально шурупами и дальше штифт доводится до желаемого положения, затем через jig
производят блокировку проксимально
Костная масса, полученная в результате рассверливания канала, кстати, прекрасный пластический материал, можно использовать для лечения ложного сустава. Через любую трубку небольшого диаметра, без открытия фокуса, можно уложить на место дефекта. Блокирующие шурупы в 6.5 и 5.0 мм диаметра, и больной смело может передвигаться, потому что 12 мм штифт с одним дистальным и проксимальным блокирующими шурупами выдерживает вес в 75 кг.

Djoldas Kuldjanov, MD
Department of Orthopedic Surgery
St. Louis University Medical Center
|
[
Ответить ]
|
( Ответить )
|
|