вверх
отправить
поиск
админ
главная
|
эндопротезирование или артродез |
 |
 |
 |
Отправлено Batal 20 Май 2007, 00:27
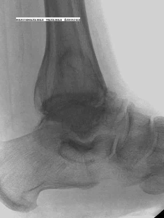
Эндопротезирование или артродезирование ?К нам обратился пациент 73 лет с жалобами на боли и деформацию в области левого голеностопного сустава. В анамнезе: в 1980 году перелом обеих лодыжек с вывихом стопы кнаружи. Лечился консервативно: одномоментная репозиция переломовывиха в левом голеностопном суставе с трансартикулярной фиксацией голеностопного сустава спицами Киршнера через пяточную, таранную, большеберцовую кости. Накладывалась гипсовая иммобилизация. Даная манипуляция осложнилась нагноением с развитием гнойного артрита. Были удалены спицы, сустав со слов больного, промывался растворами, но не вскрывался, получал антибиотики. Гнойный процесс был купирован, и рецидива с тех пор не было.Об-но: Левый голеностопный сустав деформирован за счет разрастания костной ткани и отечности мягких тканей. Левая стопа с вальгусной установкой, практически отсутствуют все своды левой стопы (стопа плоская). Полный объем движений в левом голеностопном суставе максимум достигает 15 гр, движения стопы в основном за счет подтарнного сустава. Пальпаторно область голеностопного сустава не столь болезненна, как болезненна область подтаранного сустава и область таранно-ладьевидного сустава.После изучения объективного статуса, анамнеза, рентгенснимков, больному предложен был трехсуставной артродез, так-как мы сочли это наиболее приемлемым в данном случае. Но больной отказывается от данной операции и настаивает на эндопротезировании левого голеностопного сустава. Во первых, наше отделение не имеет опыта в эндопротезиовании голеностопного сустава. Во вторых, нам кажется, что трехсуставное артродезирование в данном случае наиболее подходящее. Причиной тому, на наш взгляд, выраженная деформация левой таранной кости, как следствие аваскулярного некроза, и то что болит не голеностопный сустав в данном случае ( хотя в нем и ограничено движение), а подтранный и таранно-ладьевидный суставы и то что эндопротезирование одного голеностопного сустава не решит проблем в подтаранном, ладьевидно-таранном сочленениях. Наши доводы оказались безуспешными, а так как пациент является ученным, требовал доказательной базы наших умозаключений. Ваше мнение по данному случаю, и мы были бы благодарны, если у кого то есть материал по данной теме или есть ссылки. Заранее благодарны всем, кто примет участие в обсуждении данной темы.
<
|
>
|
|
Ответить
|
Re: эндопротезирование или артродез
Svjatenko Vladimir 21 Май 2007, 00:30
|
Уважаемый BATAL !
Беря во внимание жалобы больного и почтенный возраст, в нешей клинике произвели бы артродез (а другое и невозможно - в нашей клинике... ), а у Вас, как часто применяется эндопротезирование г/ с сустава (вообще) ?
С уважением, Владимир.
|
[
Ответить ]
|
Re: эндопротезирование или артродез
Отправитель: Batal 21 Май 2007, 18:07
|
у нас нет никокого опыта по эндопротезированию голеностопного сустава. У нас опыт только по эндопротезированию тазобедренного и коленного суставов (более 1000 операций за 10 лет). Мы данному больному и предложили трехсуставное артродезирование, от которого пока пациент воздерживается. В настоящее время больной собирет инфармацию, и анализирует (сам пациент юрист, профессор одного из юридических институтов,)
|
[
Ответить ]
|
|
Re: эндопротезирование или артродез
Helper 21 Май 2007, 01:53
|
Попробуйте обратиться к Емельянову В.Г. из института Вредена. Он занимается голеностопом, в том числе протезированием, может быть его точка зрения к тому или иному виду лечения будет основательна для Вашего пациента
|
[
Ответить ]
|
Re: эндопротезирование или артродез
Gleb Korobushkin 26 Май 2007, 12:03
|
По всем канонах хирургии стопы асептический некроз таранной кости - абсолютное противопоказание для эндопротезирования голеностопного сустава.
 L. H. Gill Challenges in Total Ankle Arthroplasty. Foot & Ankle International/Vol. 25, No. 4/April 2004 (Файл PDF, 296 Kb)
С уважением Глеб Коробушкин
|
[
Ответить ]
|
Re: эндопротезирование или артродез
Отправитель: Aharon Liberson 26 Май 2007, 12:07
|
AGREE
I would not take this one as an aseptic one! Which makes it more difficult 2 replace
AL
|
[
Ответить ]
|
|
( Ответить )
|
|