вверх
отправить
поиск
админ
главная
Предыдущее
|
Re: Ведение огнестрельного перелома
Ивушкин Роман 05 Июнь 2007, 05:52
|
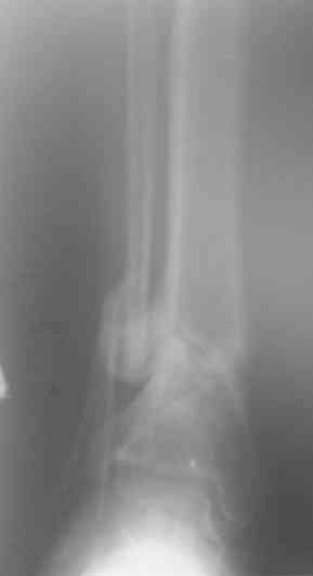
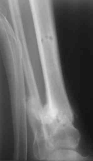
У меня сейчас лечится похожий пациент - ему стрельнули в упор из охотничьего ружья: открытый скозной перелом правой голени в н/3 с дефектом костной ткани до 6 см. При поступлении наложили ап.Илизарова. После отторжения всех некрозов и несмотря на сохраняющиеся раны (чтобы не терять время) мы провели повторную операцию - наростили аппарат Илизарова вверх на одно кольцо, под которым сделали поперечную остеотомию большеберцовой кости (в проксимальном метафизе) и теперь низводим образовавшийся промежуточный фрагмент по 1-2 мм в сутки при сохранении общей длины конечности. В месте остеотомии растет регенерат, который постоянно рентген-контролируем. Думаю что это самый лучший вариант для подобного рода травм. Если будет интересно могу показать снимки (как раз скоро очередной рентген-контроль).
|
|
|
Ответить
|
Re: Ведение огнестрельного перелома
Alexander Artemiev 05 Июнь 2007, 06:36
|
Снимки очень интересны.
Но думаю, что самый лучший вариант - т.н. острое укорочение.
Тем более при относительно небольшой величине дефекта.
Время сэкономите....
Кстати, не знаю, почему история метода пошла по пути низведения
фрагмента, а не по пути "острого укорочения". Видимо, первый, кто
замещал дефект, так решил...
С уважением Александр Артемьев
|
[
Ответить ]
|
Re: Ведение огнестрельного перелома
Отправитель: Никита Заднепровский 07 Июнь 2007, 00:46
|
Есть у меня результат такого метода. Тема обсуждалась. Как говорится - лечили всем форумом. Рана, правда, не огнестрельная - OFFтопик.
Больной случайно попал в поле зрения с переломом шейки бедра. Страдает хр. алкоголизмом. От когда-то предложенного удлиннения голени пациент отказался. После снятия аппарата он пропал как с белых яблонь дым ...

Укорочение конечности 3 см. Передвигался без дополнительной опоры с "нарощенной" подошвой на правой обуви. Ограничение тыльного и подошвенного сгибания - умеренные (всего примерно 50%, не измерял).
Всем большое спасибо за своевременно оказанную помощь по ведению такого случая.
С уважением, Заднепровский Никита Николаевич
|
[
Ответить ]
|
|
( Ответить )
|
|