Ответить
|
Re: перелом вертлужной впадины
Maxim Agalakov 31 Июль 2007, 06:24
|
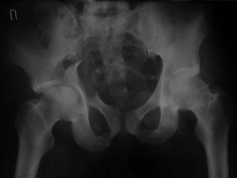
> Досылаю рентгенограмму
Бессмысленно заниматься лечением повреждений вертлужной впадины по такой рентгенограммам, попытайтесь вправить вывих и отправить в лечебное учреждение, где занимаются лечением подобных повреждений.
Поверьте, ни в коем разе не хочу Вас обидеть, но если нет возможности сделать качественные рентгенограммы в нескольких проекциях, то грамотное лечение таких повреждений практически невозможно.
|
[
Ответить ]
|
Re: перелом вертлужной впадины
Maxim Agalakov 01 Август 2007, 05:03
|
Дополнение, минимальный набор необходимых прекций, необходимых для лечения повреждений вертлужной впадины
Фас. Inlet
Подвздошная Запирательная 
|
[
Ответить ]
|
Re: перелом вертлужной впадины
Maxim Agalakov 01 Август 2007, 21:46
|
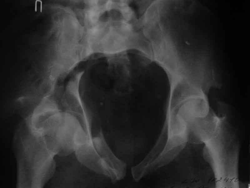
еще одно дополнение

|
[
Ответить ]
|
( Ответить )
|
|