вверх
отправить
поиск
админ
главная
Предыдущее
|
Re: Застарелые повреждения голеностопного сустава
Антон Андрианов 15 Август 2007, 15:27
|
Дорогой Джолдас,
В том и разочарование у меня, что я пытался на столе удлинить наружную лодыжку, в обоих случаях была выполнена косая остеотомия, варусной гиперкоррекцией стопы создавал удлинение, но скорее всего недостаточное.По первому пациенту у меня вопросов нет, он пока удовлетворен результатом, ведь было много хуже.
по поводу дамы- возможная ли была репозиция фрагмента заднего края б-б кости без нанесения дополнительной травмы ему? И по поводу остеотомии-есть ли резон или уже через год-два дело придет к закономерному артродезу? Спасибо за советы.
|
|
|
Ответить
|
Re: Застарелые повреждения голеностопного сустава
Djoldas Kuldjanov, M.D. 17 Август 2007, 01:56
|
>возможна ли была репозиция фрагмента заднего края б-б кости без
>нанесения дополнительной травмы ему? И по поводу остеотомии-есть ли
>резон или уже через год-два дело придет к закономерному артродезу?
Согласен, если артродез неизбежен, то от попытки ничего не теряется.
Кто может дать гарантию, даже при отличном рентгеновском снимке у больной могут сохрантятся боли или наоборот... С самого начала мы за анатомичность в голеностопном суставе.
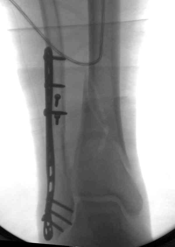
Для фиксации заднего края укладка больного в латеральном положении, конечность на подушке, доступ задне-латеральный, остеотомия заднего края. Опушенный на место фрагмент фиксируется butress пластиной.
Свежие случаи перкутанно, после репозиции временно спицами и через спицы 3.5 или 4.0 мм канюлированные шурупы. Направления шурупов не имеют значения, спереди назад или наоборот, главное, создание межфрагментарной компрессии.
Удлинение малоберцовой можно техникой вставления в зону остеотомии расширителя или инструментом из набора АО articulate tension device. Толкателем за счет проведенного в проксимальной части пластины
дополнительного шурупа. Пару снимков из этапов фиксации: мортизный снимок, техника фиксации
лодыжки, копии из книги

Djoldas Kuldjanov, MD
Department of Orthopedic Surgery
St. Louis University Medical Center
|
[
Ответить ]
|
Re: Застарелые повреждения голеностопного сустава
Отправитель: Антон Андрианов 17 Август 2007, 09:55
|
Буду говорить с больной-она на пару месяцев выпала из нашего региона. Этот дивайс у нас в отделении есть, мы им пользуемся для компрессии с пластинами AO DCP,может ли он работать с 1-3 трубчатыми, посмотрим.Возможно возьмем банальный роторасширитель из старых наборов перевязочных. Хотелось бы узнать Ваше мнение о надлодыжечной остеотомии в подобной ситуации. В аналогичных случаях на коленном суставе подобная операция дает неплохие результаты. Есть ли у кого опыт таких корригирующих остеотомий?
|
[
Ответить ]
|
Re: Застарелые повреждения голеностопного сустава
Отправитель: Djoldas Kuldjanov, M.D. 18 Август 2007, 00:02
|
>дивайс у нас в отделении есть, мы им пользуемся для компрессии с >пластинами AO DCP, может ли он работать с 1/3 трубчатыми,посмотрим.
>Возможно, возьмем банальный роторасширитель из старых наборовперевязочных.
Да, подойдет любой расширитель между шурупом и пластиной.
> Хотелось бы узнать Ваше мнение о надлодыжечной остеотомии в
> подобной ситуации. В аналогичных случаях на коленномсуставе
> подобная операция дает неплохие результаты.
В проксимальной части голени другое дело, там коллапс за счет мышелков, для создания нормального уровня сустава подравнивают мышелки паралельно к мышелкам бедра за счет проксимальной остеотомии.
Тогда исправленная ось конечности и нагрузочная поверхность сустава распространяет нагрузку на конечность равномерно.
Внизу, при переломах пилона похожая ситуация, переходящую в варус деформацию можно изменить с помощи коррекции. В лодыжечных переломах сустав большеберцовой кости ориентирован горизонтально, без нарушения оси конечности, только без латеральной поддержки.
Опушением малоберцовой фактически создается вилка, которая дает стабильность. Для стабильности голеностопа медиальная лодыжка менее важная, иногда при несращениях медиальную лодыжку можно удалить без потери стабильности сустава.
|
[
Ответить ]
|
Re: Застарелые повреждения голеностопного сустава
Отправитель: Антон Андрианов 18 Август 2007, 19:41
|
Спасибо за совет,
тяжело будет решиться на повторную операцию, но скорее всего придется произвести поперечную остеотомию малоберцовой кости, создать дефект и произвести его пластику аутокостью или тутопластом, чтобы были способны выдержать раннюю нагрузку, фиксацию АО 1-3 трубчатой пластиной, перепровести 1-2 3,5 мм блокирующих винта. Если в сентябре пациентка даст согласие, выложу новые снимки.
|
[
Ответить ]
|
Re: Застарелые повреждения голеностопного сустава
Отправитель: Saida 02 Сентябрь 2009, 20:40
|
Уважаемый Жолдас ,можете ли вы прокунсультировать по снимку мою ситуацию. Я сама врач. Хотелось бы знать ваше мнение. Заранее благодарю!!!
DSC02961.JPG
987KB (1011537 bytes)
|
[
Ответить ]
|
|
( Ответить )
|
|