вверх
отправить
поиск
админ
главная
|
Застарелые повреждения голеностопного сустава |
 |
 |
 |
Отправлено Антон Андрианов 13 Август 2007, 19:20
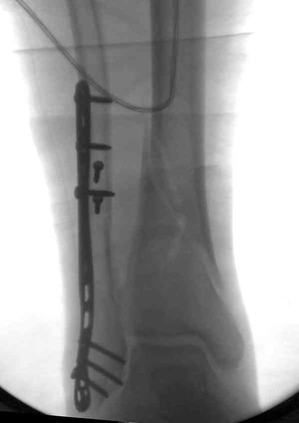
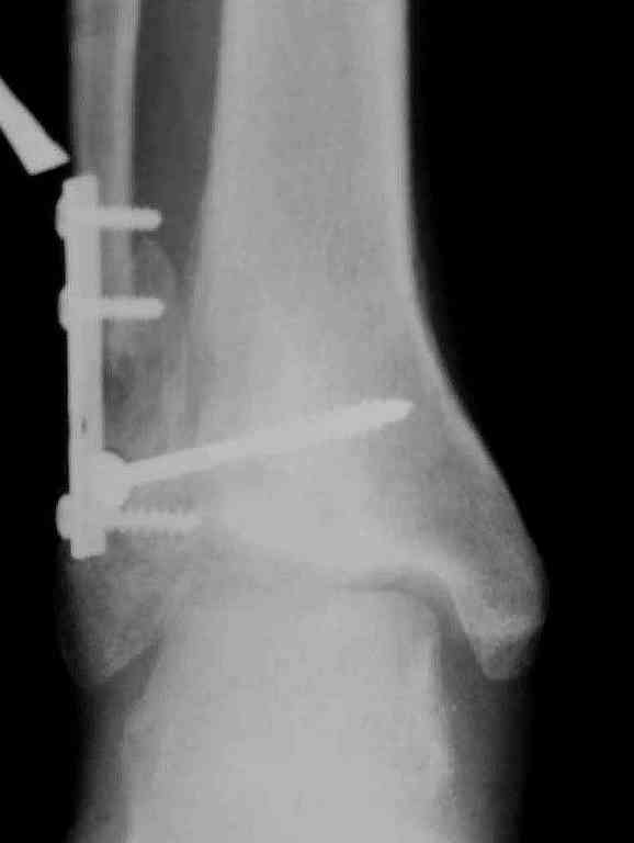
Уже 15 лет в отделении мы активно оперируем свежие переломы ГСС по принципам АО и вполне удовлетворены результатами лечения свежей травмы. В случаях же операций при позднем поступлении или реконструкции после неудачных вмешательств в ряде случаев сохраняется нестабильность ГСС, тенденция к вальгусной деформации. В свежих случаях никогда не приходилось производить шов дельтовидной связки, пластики тоже ни разу не выполнялись. Два примера на снимках.Первый - врач 38 лет, неудачно оперированный в своей больнице с двухлодыжечным переломом, разрывом МБС был повторно оперирован через 8 месяцев. Пытались восстановить длину наружной лодыжки остеотомией, освежили МБС, два месяца функционального лечения без нагрузки на стопу.Сейчас ходит с легкой хромотой, устает к обеду, вальгусное отклонение стопы корригировано супинатором. На Рграммах видны дистрофические изменения латерального эпифиза большеберцовой кости. Первый снимок через 6 месяцев после травмы, операции остеосинтеза болтом-стяжкой, удаленной по причине нестабильности и наличия свища над металлом. Второй снимок через 3 месяца после реконструктивной операции.
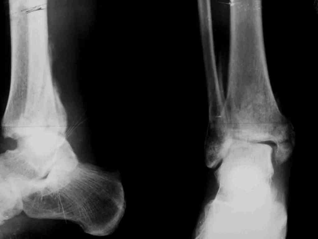
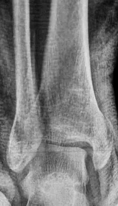
Вторая пациентка 34 лет, перелом получала в Испании, где от операции отказалась, дома по приезду сняла скотчкаст и лечилась у костоправов, нагрузка с 3 недели. Операция через 3 мес после травмы. Остеотомия м-б кости, фиксация пластиной, восстановление МБС. Так как медиальная лодыжка подтянулась, суставная щель на ЭОП контроле нормализовалась ограничились латеральным доступом. Реконструкцию заднего края не пытались сделать тк там уже прослеживалась консолидация, а сминать эпиметафиз не хотелось. В настоящее время ходит с тростью \три месяца после операции\, сустав нестабилен-слабость дельтовидной связки. Супинатор и плотные кроссовки дают возможность длительно ходить. Первый снимок сделан в Испании после репозиции, второй через 2 месяца после травмы перед операцией, третий-через 3 мес после операции.
У меня вопрос о тактике дальнейшего ведения этих больных. Если с коллегой еще ясно-походит еще ряд лет до развития ДОА и артродез сустава, как финал. То с молодой дамой не все ясно, может ли ей помочь пластика дельтовидной связки ? На сентябрь планируем удаление позиционного винта, можно ли совместить? Где найти методику пластики по Гурьеву? В чем причина дистрофии латерального эпифиза б-б кости-первичная травма с последующим аваскулярным некрозом или следствие нагрузки ходьбой с неустраненными смещениями стопы?
С уважением Антон Андрианов, Казахстан
<
|
>
|
|
Ответить
|
Re: Застарелые повреждения голеностопного сустава
Alexey Semenisty 14 Август 2007, 02:28
|
> В свежих случаях никогда не
> приходилось производить шов дельтовидной связки, пластики тоже ни разу
> не выполнялись.
И правильно делали!
> .....У меня вопрос о тактике...... . То с молодой дамой не все ясно, может ли ей помочь пластика дельтовидной связки? ....В чем причина дистрофии латерального эпифиза б-б кости - первичная травма с последующим аваскулярным некрозом или следствие нагрузки ходьбой с неустраненными смещениями стопы?
Глубокоуважаемый Антон, мне кажется в обоих наблюдениях не была достигнута цель операции: Восстановление длины малоберцовой кости и и фиксация ее в анатомичном положении. Отсюда все последующие проблемы, а не от дельтовидной связки.
Что значит через 3 или 8 или Х месяцев восстанвили МБС? Как?, Чем?, Зачем?
В чем причина дистрофии латерального....?
Конечно в сроках и травматичности репозиции с одной стороны, с другой - в неанатомичной репозиции и комперессии синдесмоза СТЯГИВАЮЩИМ, а не ПОЗИЦИОННЫМ винтом.
На сентябрь планируем удаление
позиционного винта, можно ли совместить? ....
Можноно, но нужно ли? Никакая пластика дельтовидной связки не даст результата при смещенной кверху, вместе с наружным краем tibia, наружной лодыжке
С уважением, А.Семенистый.
ГКБ № 13, Москва.
|
[
Ответить ]
|
Re: Застарелые повреждения голеностопного сустава
Отправитель: Виктор 14 Август 2007, 05:51
|
Известно, что укорочение наружной лодыжки при ее переломе можно лучше всего оценить тщательно измеряя и сопоставляя talocrural угол на пострадавшей и здоровой стороне. Различие, более чем в 2 ° указывает на то, что вилка сустава не восстановиться для нормального функционирования сустава. Измерение и восстановление talocrural угла основано на факте, что fibula является ключом голеностопного сустава. Ротационное и продольное смещение отломков fibula должно быть точно устранено для того, чтобы восстановить конфигурацию вилки. Talocrural угол сформирован пересечением двух линий: первая - проведена параллельно суставной поверхности большеберцовой кости; вторая - через вершины лодыжек. Этот угол в норме варьирует от 8 до 15 градусов.

|
[
Ответить ]
|
|
Re: Застарелые повреждения голеностопного сустава
Антон Андрианов 14 Август 2007, 20:02
|
Виктор,
Спасибо за вложенную схему , ранее она нам не попадалась.Согласен с Алексеем, что в обоих случаях не удалось восстановить длину фибулы.По вопросу о МБС, в первом случае после 8 месяцев синдесмоз был выполнен плотной рубцовой тканью, которую необходимо было убрать для репозиции фибулы в вырезку и винт действительно был введен с компрессией, во втором случае МБС не открывался и компресии не задавлось.Может дистрофия эпифиза все же следствие 5 месячной нагрузки с нестабильным суставом и компрессии тараном, тк вес пациента достаточно высок. По второму наблюдению необходимо определиться с тактикой, при пронации стопы отчетливо определяется слабость дельтовидной связки-перерастянута ходьбой в нестабильном суставе? Показана ли надлодыжечная варизующая остеотомия?
|
[
Ответить ]
|
Re: Застарелые повреждения голеностопного сустава
Djoldas Kuldjanov, M.D. 14 Август 2007, 23:06
|
Для восстановления голеностопного сустава, кроме стандартных ренгенограмм, прямой и боковой, еще необходимо мортизный - полукосой вид, который дает возможность оценки взаимоотношения костей в суставе.
Преоперационные сравнительные снимки с другой стороны уточнят истинное укорочение малоберцовой, только после чего можно запланировать методику фиксацию.
Неисправленные ротации, укорочение малоберцовой и потеря взаимотношении в суставе, особенно у молодых активных больных, в короткий срок приведет к образованию артроза.
При переломах лодыжки "где латеральная лодыжка там и таран", мощные латеральные связки тянут за собой таран и приводят стопу к вальгусу. При свежих случаях восстановленная длина малоберцовой устанавливает на место таранную кость, также приближая медиальную связку и восстанавливает медиальную суставную щель. После такой установки
отпадает необходимость восстановить медиальную связку оперативно.
О наличии повреждения дельтовидной связки и необходимости фиксации синдесмоза можно узнать стрессовыми снимками во время операции.
Оставленные без фиксации перелом заднего края с 15% и большим вовлечением суставной поверхности, опасны нестабильностью голеностопного сустава, особенно при спусках с лестницы вниз, поэтому
трехлодыжечные переломы с большими вовлечениями суставной поверхности нуждаются в операции.
>В чем причина дистрофии латерального эпифиза б-б кости-первичная >травма с последующим аваскулярным некрозом или следствие нагрузки >ходьбой с неустраненными смещениями стопы?"
Трудно сказать? за счет чего, возможно? из-за травмы, обычно "дистрофия" у молодых просто не происходит. Переломы со вторичным смещением дают примерно такую картину и Компьютерная Томография
установит происхождение проблемы.
Как отметили коллеги, в обоих наблюдениях не были достигнуты цели восстановления, игнорирован основной принцип, длина малоберцовой, без которой всякие попытки обрешены на провал.
По снимкам в первом случае, укорочение малоберцовой приблизительно около 8-10 мм. Удовлетворительным восстановлением длины малоберцовой считается, когда на снимке суставная щель равны со всех сторон.
Несмотря на прошедшее время с момента травмы и попытки восстановления, мы бы рекомендовали повторить процедуру по сохранению сустава. Для этого очищается синдесмоз от фиброза, удлиняется малоберцовая на мортизной ренгенограмме засчет проксимальной поперечной остеотомии вставлением расширящего инструмента (lamina spreader).
Сравнительно свежие (8-12 недельные) случаи удлиняются за счет косых остеотомий, обычно по линии перелома, затем производят фиксацию
синдесмоза. Фиксацию синдесмоза рекомендуем не менее чем двумя паралельными кортикальными шурупами через 3 или 4 кортикальные слоя.
Латеральная пластина усилит конструкцию.
Djoldas Kuldjanov, MD
Department of Orthopedic Surgery
St. Louis University Medical Center
|
[
Ответить ]
|
Re: Застарелые повреждения голеностопного сустава
Отправитель: Виктор 15 Август 2007, 07:09
|
Djoldas! Спасибо за всегда толковые комментарии. Приятно читать.
Виктор.
|
[
Ответить ]
|
|
Re: Застарелые повреждения голеностопного сустава
Антон Андрианов 15 Август 2007, 15:27
|
Дорогой Джолдас,
В том и разочарование у меня, что я пытался на столе удлинить наружную лодыжку, в обоих случаях была выполнена косая остеотомия, варусной гиперкоррекцией стопы создавал удлинение, но скорее всего недостаточное.По первому пациенту у меня вопросов нет, он пока удовлетворен результатом, ведь было много хуже.
по поводу дамы- возможная ли была репозиция фрагмента заднего края б-б кости без нанесения дополнительной травмы ему? И по поводу остеотомии-есть ли резон или уже через год-два дело придет к закономерному артродезу? Спасибо за советы.
|
[
Ответить ]
|
Re: Застарелые повреждения голеностопного сустава
Отправитель: Djoldas Kuldjanov, M.D. 17 Август 2007, 01:56
|
>возможна ли была репозиция фрагмента заднего края б-б кости без
>нанесения дополнительной травмы ему? И по поводу остеотомии-есть ли
>резон или уже через год-два дело придет к закономерному артродезу?
Согласен, если артродез неизбежен, то от попытки ничего не теряется.
Кто может дать гарантию, даже при отличном рентгеновском снимке у больной могут сохрантятся боли или наоборот... С самого начала мы за анатомичность в голеностопном суставе.
Для фиксации заднего края укладка больного в латеральном положении, конечность на подушке, доступ задне-латеральный, остеотомия заднего края. Опушенный на место фрагмент фиксируется butress пластиной.
Свежие случаи перкутанно, после репозиции временно спицами и через спицы 3.5 или 4.0 мм канюлированные шурупы. Направления шурупов не имеют значения, спереди назад или наоборот, главное, создание межфрагментарной компрессии.
Удлинение малоберцовой можно техникой вставления в зону остеотомии расширителя или инструментом из набора АО articulate tension device. Толкателем за счет проведенного в проксимальной части пластины
дополнительного шурупа. Пару снимков из этапов фиксации: мортизный снимок, техника фиксации
лодыжки, копии из книги

Djoldas Kuldjanov, MD
Department of Orthopedic Surgery
St. Louis University Medical Center
|
[
Ответить ]
|
Re: Застарелые повреждения голеностопного сустава
Отправитель: Антон Андрианов 17 Август 2007, 09:55
|
Буду говорить с больной-она на пару месяцев выпала из нашего региона. Этот дивайс у нас в отделении есть, мы им пользуемся для компрессии с пластинами AO DCP,может ли он работать с 1-3 трубчатыми, посмотрим.Возможно возьмем банальный роторасширитель из старых наборов перевязочных. Хотелось бы узнать Ваше мнение о надлодыжечной остеотомии в подобной ситуации. В аналогичных случаях на коленном суставе подобная операция дает неплохие результаты. Есть ли у кого опыт таких корригирующих остеотомий?
|
[
Ответить ]
|
Re: Застарелые повреждения голеностопного сустава
Отправитель: Djoldas Kuldjanov, M.D. 18 Август 2007, 00:02
|
>дивайс у нас в отделении есть, мы им пользуемся для компрессии с >пластинами AO DCP, может ли он работать с 1/3 трубчатыми,посмотрим.
>Возможно, возьмем банальный роторасширитель из старых наборовперевязочных.
Да, подойдет любой расширитель между шурупом и пластиной.
> Хотелось бы узнать Ваше мнение о надлодыжечной остеотомии в
> подобной ситуации. В аналогичных случаях на коленномсуставе
> подобная операция дает неплохие результаты.
В проксимальной части голени другое дело, там коллапс за счет мышелков, для создания нормального уровня сустава подравнивают мышелки паралельно к мышелкам бедра за счет проксимальной остеотомии.
Тогда исправленная ось конечности и нагрузочная поверхность сустава распространяет нагрузку на конечность равномерно.
Внизу, при переломах пилона похожая ситуация, переходящую в варус деформацию можно изменить с помощи коррекции. В лодыжечных переломах сустав большеберцовой кости ориентирован горизонтально, без нарушения оси конечности, только без латеральной поддержки.
Опушением малоберцовой фактически создается вилка, которая дает стабильность. Для стабильности голеностопа медиальная лодыжка менее важная, иногда при несращениях медиальную лодыжку можно удалить без потери стабильности сустава.
|
[
Ответить ]
|
Re: Застарелые повреждения голеностопного сустава
Отправитель: Антон Андрианов 18 Август 2007, 19:41
|
Спасибо за совет,
тяжело будет решиться на повторную операцию, но скорее всего придется произвести поперечную остеотомию малоберцовой кости, создать дефект и произвести его пластику аутокостью или тутопластом, чтобы были способны выдержать раннюю нагрузку, фиксацию АО 1-3 трубчатой пластиной, перепровести 1-2 3,5 мм блокирующих винта. Если в сентябре пациентка даст согласие, выложу новые снимки.
|
[
Ответить ]
|
Re: Застарелые повреждения голеностопного сустава
Отправитель: Saida 02 Сентябрь 2009, 20:40
|
Уважаемый Жолдас ,можете ли вы прокунсультировать по снимку мою ситуацию. Я сама врач. Хотелось бы знать ваше мнение. Заранее благодарю!!!
DSC02961.JPG
987KB (1011537 bytes)
|
[
Ответить ]
|
|
( Ответить )
|
|